Pathopic
HiPaKu
ZyPaKu
PathoBasic
PathoBasic Cytology
Quizzes
Projektinfos
PathoPic - Projekt- und Copyright-Infos
About
Pathopic
HiPaKu
ZyPaKu
PathoBasic
PathoBasic Cytology
Quizzes
PathoPic – image database
/
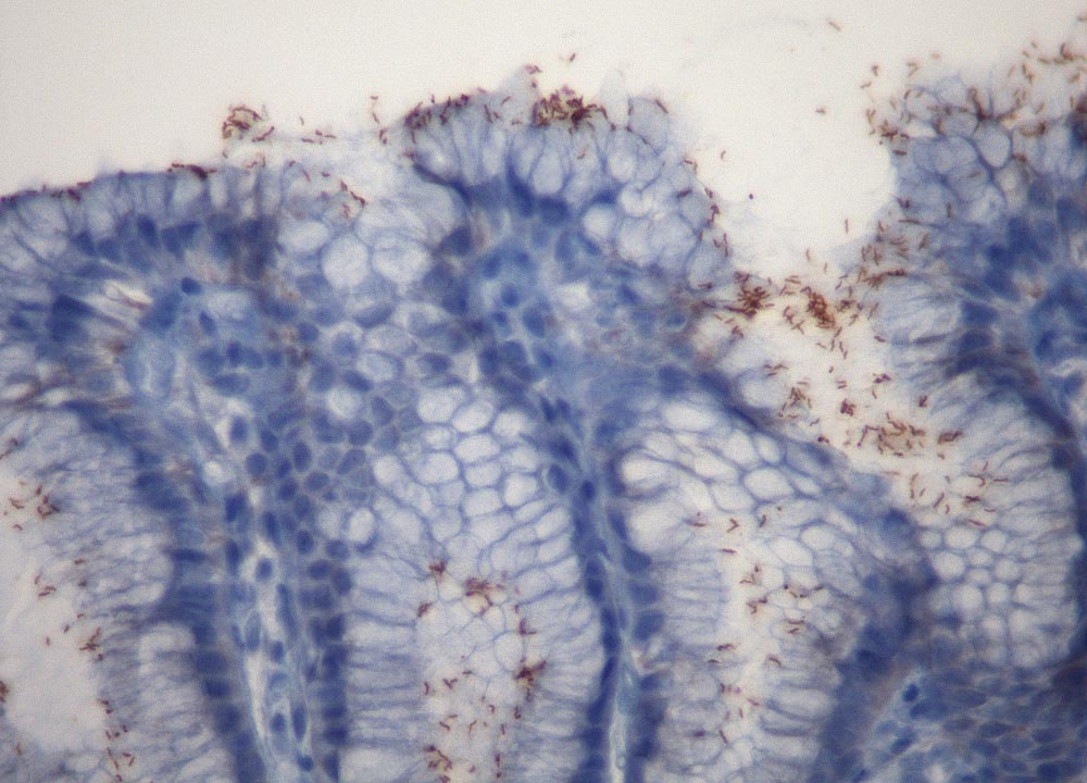
PathoPic ID 9968 - Helicobacter pylori
de
Diagnose
Helicobacter pylori
Diagnose Gruppe
Entzündung infektiös
Topographie
Magenantrum
Topographie Gruppe
Oesophagus, Magen
Beschreibung
An typischer Lokalisation an der Oberfläche der Magenschleimhaut in Schleim eingebettet liegen zahlreiche feine leicht gekrümmte Stäbchenbakterien, die sich mit einem spezifischen Antikörper braun anfärben.
Klinik
Gastritis
Bilder Typ
Histologie
Immunhistochemie
Helicobacter pylori
Geschlecht
weiblich
Datum
Ersteintrag: 01.04.2008
Update: 04.02.2024
CPS
·
©
2024 Institut für Pathologie Basel
/
Dr. med. Katharina Glatz-Krieger
.
·
v2.1