Diagnose
Reichlich Helicobacter pylori
Diagnose Gruppe
Entzündung infektiös
Topographie Gruppe
Oesophagus, Magen
Beschreibung
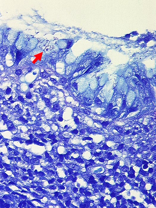
Dem gastrischen Epithel sind zahlreiche kommaförmige ► Stäbchenbakterien aufgelagert.
Zusatzbefund
Schwere chronische, teils follikuläre, geringgradig aktive Gastritis.
Datum
Ersteintrag: 28.11.2001
Update: 04.02.2024