Basel 3BA FS/ Diffuser Alveolarschaden

Diagnose
Diffuser Alveolarschaden
Diagnose Gruppe
Entzündung / Reparatur
Differenzialdiagnose
  • - Akute interstitielle Pneumonie- Chronische organisierende Pneumonie- Pneumocystis carinii Pneumonie
Topographie Gruppe
Lunge, Mediastinum mit Thymus
Topographie
Lunge
Einleitung
Ätiologie:
Der diffuse Alveolarschaden (Syn. diffuse alveolar damage DAD, fibrosierende Alveolitis, Schocklunge) stellt ein histopathologisches Reaktionsmuster einer akuten progressiven Lungenschädigung dar, welche durch zahlreiche Noxen ausgelöst werden kann. Der diffuse Alveolarschaden ist das morphologische Korrelat des klinisch definierten Acute Respiratory Distress Syndrome (ARDS). Die Schädigung des Lungenparenchyms mündet oft in eine fulminante hypoxämische respiratorische Insuffizienz. Häufigste Auslöser für ein ARDS sind: Pneumonien (v.a. virale), Sepsis (v.a. gram negative), Schockzustände (v.a. septisch und traumatisch) und Aspiration von Mageninhalt. Diese verursachen zusammen rund 85% der Fälle von ARDS. Seltenere Auslöser sind Ertrinken, Urämie, Inhalation von Toxinen, Lungenkontusion, Polytrauma, Fettembolien, massive Bluttransfusion, Pankreatitis, Bestrahlung, hohe Sauerstoffkonzentration und Drogen (Heroin, Methadon, Barbiturate, Salicylate, Chemotherapie). Falls kein Auslöser eruierbar ist, wird das Krankheitsbild als akute interstitielle Pneumonie bezeichnet. Die Histologie lässt meist keine Rückschlüsse auf die auslösende Noxe zu.

Makroskopie und Mikroskopie:
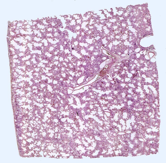
Makroskopisch sind die Lungen schwer, luftarm und fest (Hundeohrkonsistenz). Die Bezeichnung "diffus" bezieht sich nicht auf die makroskopische Verteilung der Veränderungen in der Lunge sondern auf die Beteiligung aller Komponenten des Alveolus (Epithel, Endothel, interstitieller Raum). Entsprechend involviert der DAD die Lunge makroskopisch nicht immer diffus sondern gelegentlich auch lokalisiert. Je nach Schadensursache betrifft die Schädigung mehr das Endothel (zB Sepsis) oder das Alveolarepithel (zB Magensaftaspiration).
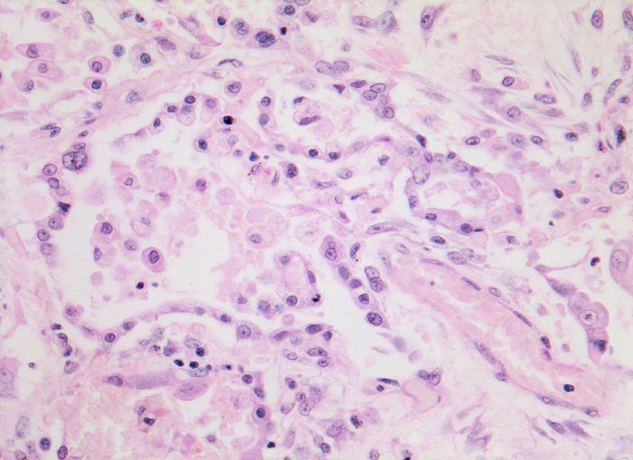
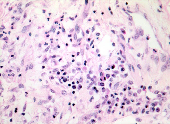
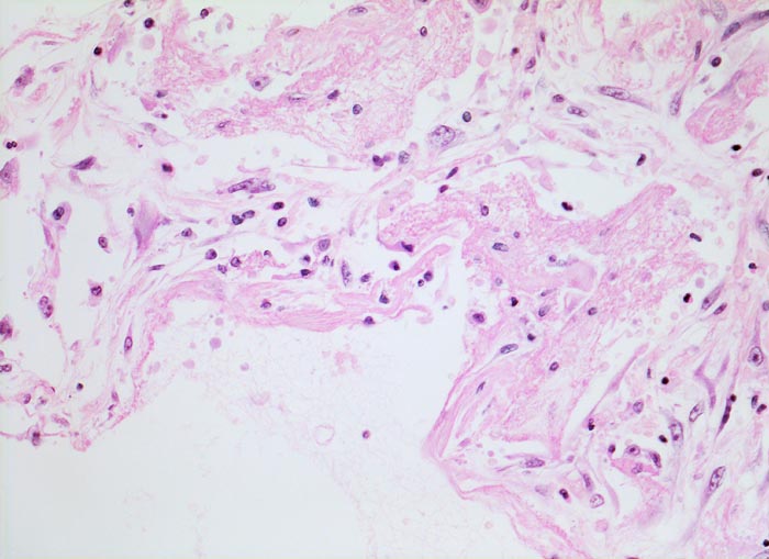
Der diffuse Alveolarschaden läuft stadienhaft ab. Man unterscheidet ein frühes exsudatives, ein subakutes fibroproliferatives (organisierendes) und ein spätes fibrotisches Stadium, wobei sich die Stadien gegenseitig überlagern. Morphologische Veränderungen des akuten und organisierenden Stadiums können deshalb in derselben Biopsie oft nebeneinander beobachtet werden, insbesondere bei repetitiver oder anhaltender Schadenseinwirkung. Die Veränderungen verlaufen nicht notwendigerweise progredient sondern können jederzeit stoppen. Die initiale etwa bis eine Woche andauernde exsudative Phase mit Schädigung von Endothel und Typ 1 Pneumozyten ist charakterisiert durch ein interstitielles und intraalveoläres Ödem gefolgt von der Ausbildung hyaliner Membranen (> 107). Die eosinophilen hyalinen Membranen bestehen aus proteinreicher Ödemflüssigkeit, Surfactant, Fibrin und Bestandteilen abgestorbener Zellen, welche sich entlang der Alveolargänge und -wände ablagern. Hyaline Membranen sind am prominentesten zwischen Tag 3 bis 7 nach Schadenseinwirkung. Überlappend mit der exsudativen Phase folgt nach ein bis zwei oder mehr Wochen die Phase der Organisation (fibropliferative Phase). Sie ist charakterisiert durch (Myo-) Fibroblastenproliferate in einer myxoiden Matrix innerhalb verdickter Alveolarsepten, Entzündungszellen, Proliferation von prominenten Typ II Pneumozyten und Auflösung der hyalinen Membranen. Ausgeprägte reaktive Atypien hyperplastischer Typ II Pneumozyten und eine ausgedehnte Plattenepithelmetaplasie der Bronchialepithelien können zu einer falsch positiven zytologischen Diagnose oder der Verwechslung der Metaplasie mit einem Plattenepithelkarzinom führen. Schon 3 bis 4 Wochen nach Einwirkung der Noxe kann es zu einem architektonischen Remodelling des Lungenparenchyms mit erweiterten Lufträumen umgeben von Fibrose (Lungenfibrose/Wabenlunge) kommen. Fibrinthromben in kleinen Arterien als Zeichen der Endothelschädigung sind in jedem Stadium des DAD möglich.
Klinik
Vorkommen:
Das ARDS tritt häufiger bei Erwachsenen auf, kann aber auch Kinder betreffen.

Diagnostik:
Das ARDS stellt die schwerste Form der akuten Lungenschädigung dar. Es ist definiert als akute Erkrankung charakterisiert durch bilaterale Lungeninfiltrate und schwere Hypoxämie nach Ausschluss eines kardialen Lungenödems. Klinische Untersuchungsbefunde sind die eines Lungenödems mit Tachydyspnoe, Zyanose, Tachykardie, Hyperventilation, Rasselgeräuschen und Agitation gefolgt von Lethargie. Der wichtigste Laborparameter ist die arterielle Blutgasanalyse zur Dokumentation der Hypoxämie (Verhältnis von Sauerstoffpartialdruck im arteriellen Blut des Patienten zum Sauerstoffgehalt in der eingeatmeten Luft PaO2/FiO2 bei ARDS weniger als 200, bei akuter Lungenerkrankung weniger als 300). Im Thoraxröntgenbild kann nach einer gewissen Zeit eine diffuse Transparenzminderung mit konfluierenden Infiltraten und positivem Bronchoaerogramm (weisse Lunge) nachgewiesen werden.

Therapie:
Früher Therapiebeginn ist entscheidend für die Prognose. Im Vordergrund steht die Behandlung der zugrundeliegenden Erkrankung sowie ein dem Stadium angepasstes Beatmungs- und Flüssigkeitsmanagement. Ziele der mechanischen Beatmung sind eine adäquate Oxygenierung bei gleichzeitiger Vermeidung der Sauerstofftoxizität. Die häufig vorhandenen Infekte müssen gesucht und antibiotisch behandelt werden.

Prognose:
Die Mortalität beträgt zwischen 30-40%. Die Patienten versterben meist an der Sepsis oder am Multiorganversagen. Überlebende haben meist eine gute Prognose mit minimalen persistierenden pulmonalen Symptomen oder Zeichen einer restriktiven Lungenerkrankung als Folge der Fibrose.
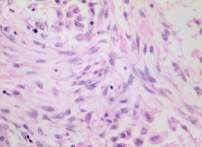
Morphologie
Morphologische Merkmale:
  • Überlappende Befunde von exsudativer und proliferativer Phase.
  • Exsudative Phase: hyaline Membranen tapezieren die Alveolarsepten aus.
  • Proliferative Phase: Proliferation von Typ II Pneumozyten (polygonale Zellen mit reaktiven Atypien) im Alveolarlumen und von (Myo)-Fibroblasten (Spindelzellen) in den Alveolarsepten.
  • Organisation der hyalinen Membranen auf den Alveolarsepten durch ein lockeres Granulationsgewebe. Dadurch starke Verbreiterung der Alveolarsepten.
  • Schaumzellansammlungen und Erythrozytenextravasate in den Alveolen.
  • Partiell organisierter Thrombembolus in einem Lungenarterienast.
Das sollte der Kliniker dem Pathologen mitteilen:
  • Zeitpunkt des Erkrankungsbeginns.
  • Herdbefund oder diffuse Lungenveränderungen.
  • Radiologischer Befund.
  • Vermutete Ätiologie des ARDS Bsp. Aspiration, Urämie, Pankreatitis, Schock…
  • Zeitpunkt und Zeitdauer einer Beatmungstherapie.
  • Erregernachweis.
Praxis-Tipp:
  • Bei offener Biopsie von interstitiellen Lungenerkrankungen nicht nur das Zentrum der Veränderung (meist unspezifisches Endstadium), sondern auch Randbereich (aktive Läsion) und Normalgewebe (Referenz) biopsieren.
  • Die genaue Klassifikation einer interstitiellen Lungenerkrankung erfordert interdisziplinäres Vorgehen (Einbezug von Radiologen und Pathologen).
Befund
Pathologischer Befund
Normalbefund
Datum
Ersteintrag: 10.07.2019
Update: 04.02.2024