Basel 2BA/ Verruca vulgaris

Diagnose
Verruca vulgaris
Diagnose Gruppe
Entzündung infektiös
Differenzialdiagnose
Topographie Gruppe
Haut
Topographie
Haut, Hand palmar, Finger
Einleitung
Aetiologie:
Die Verruca vulgaris wird verursacht durch eine Infektion mit den Typen 1, 2, 4 und 7 des Humanen Papillomavirus (HPV).

Morphologie und Lokalisation:
Verrucae vulgares bilden Papeln mit verruköser hyperkeratotischer Oberfläche. Sie treten einzeln oder in Gruppen auf. Lokalisiert sind sie am Fingerrücken oder am Handrücken. An der Fussohle oder an der Handfläche heissen sie Mosaikwarzen. Selten treten sie auch in der Mundhöhle auf.
Klinik
Vorkommen:
Verrucae vulgares treten vor allem bei Kindern auf. Bei Erwachsenen kommen Warzen eher selten vor. Am ehesten sind Immunsupprimierte oder Personen betroffen, die als Kinder keine Warzen hatten und daher keine Immunität ausbilden konnten.

Symptomatik:
Verschiedene Typen der humanen Papillomviren verursachen verschiedene klinische Bilder: Verruca vulgaris, Verruca plana, palmoplantare Warzen, Condyloma acuminatum, Bowenoide Papulose, Metzgerwarzen, Epidermodysplasia verruciformis, Larynxkarzinom, Riesenkondylome Buschke Löwenstein, zervikale, vulväre und vaginale Dysplasien/Neoplasien. Bestimmte Gruppen von HPV Typen verursachen ein bestimmtes klinisches Bild. Die Assoziation von bestimmten HPV Typen mit einer spezifischen Warzenart ist aber nicht absolut. HPV-1 konnte beispielsweise sowohl in Verrucae vulgares als auch in Condylomata acuminata nachgewiesen werden.

Diagnostik:
Die HPV Typen können durch DNA in situ Hybridisierung, mittels PCR und teilweise immunhistochemisch typisiert werden.

Therapie:
Verrucae vulgares müssen nicht therapiert werden. Für störende Warzen gibt es verschiedene therapeutische Optionen: Lokaltherapie (Acetylsalicylsäure-haltige Lösungen, 5-Fluorouracil), Vereisung mit flüssigem Stickstoff, Abtragung mit elektrischer Schlinge, Laser oder scharfem Löffel.

Verlauf:
Die Infektion ist häufig selbstlimitierend. Wenn sich eine Immunität etabliert hat, verschwinden die Warzen nach Monaten oder auch Jahren. Wie lange die Warzen bestehen werden, kann man nicht voraussagen.
Normalbefund
Morphologie
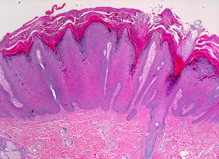
Morphologische Merkmale:
  • Hyperkeratose, Akanthose (Verdickung des Stratum spinosum) und Papillomatose (Ausziehung der Reteleisten).
  • Säulenförmige Parakeratose (Horn mit Kernresten) über den Papillenspitzen.
  • Die Papillen sind radiär nach innen Richtung Zentrum der Läsion ausgerichtet.
  • Im oberen Teil der Epidermis Gruppen von Koilozyten mit kleinen pyknotischen Kernen umgeben von einem Halo.
  • Basophile Hypergranulose mit verplumpten Keratohyalingranula.
  • Vermehrte ektatische blutgefüllte Kapillaren in der papillären Dermis der Papillenspitzen.
  • Oberflächlich dermales perivaskuläres lymphozytäres Entzündungsinfiltrat.
Das sollte der Kliniker dem Pathologen mitteilen:
  • Lokalisation der Warze.
  • Immunsuppression.
Makroskopie
Virtuelles Präparat
Befund
Pathologischer Befund
Normalbefund
Datum
Ersteintrag: 14.03.2019
Update: 04.02.2024