Basel 3BA HS/ Chronische Bursitis

Diagnose
Chronische Bursitis
Diagnose Gruppe
Entzündung / Reparatur
Topographie Gruppe
Weichteile
Topographie
Synovialis
Einleitung
Vorkommen:
Orte besonderer Druckbelastung sind durch Bursen geschützt, deren sehr dünne Wand und Innenauskleidung der artikulären Synovialmembran gleicht. Neben den 156 Bursen, die jeder Mensch hat, können sich im Laufe des Lebens akzessorische Bursen über druckbelasteten Knochenvorsprüngen bilden.

Aetiologie:
Traumen bzw. Scherkräfte führen zu rezidivierenden Blutungen, deren Organisation zu einer Vernarbung der Bursenwand führt.

Morphologie:
Als Folge frischer Schädigungen findet sich der inneren Oberfläche aufgelagertes Fibrin, das von Granulationsgewebe organisiert wird. Die operativ entfernten Bursen zeigen meist Veränderungen einer chronischen Bursopathie.
Klinik
Lokalisation:
Von einer chronischen Bursitis sind überwiegend die Bursa praepatellaris und die Bursa olecrani von Männern im mittleren Lebensalter betroffen.

Symptomatik:
Die betroffenen Bursen sind ödematös geschwollen. Es bestehen lokale Entzündungszeichen und Druckschmerz, aber keine Allgmeinerscheinungen.

Therapie:
Die Bursitis kann behandelt werden durch Vermeiden der Druckbelastung und antiphlogistische Medikation oder durch Resektion der Bursa.

Komplikation:
Vor allem bei der Bursa olecrani kann es zur Hautnekrose über der Bursa oder zur Fistelbildung kommen mit der Gefahr einer bakteriellen Infektion.

Anmerkung:
Bei Bergleuten, Putzfrauen, Parkettlegern etc. kann die chronische Bursitis eine Berufskrankheit darstellen.
Normalbefund
Morphologie
Morphologische Merkmale:
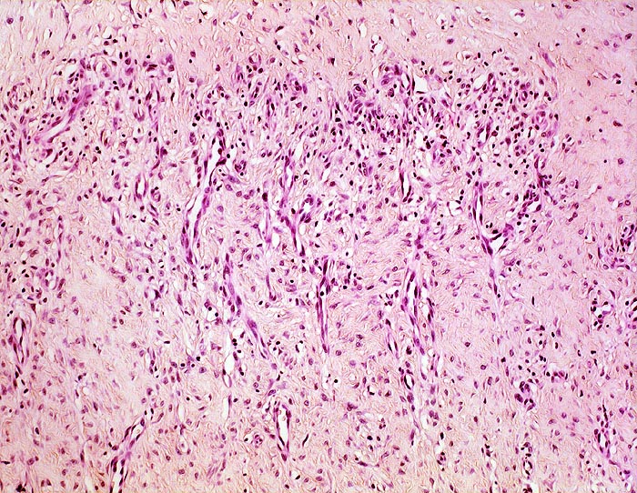
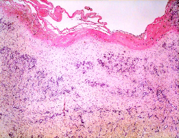
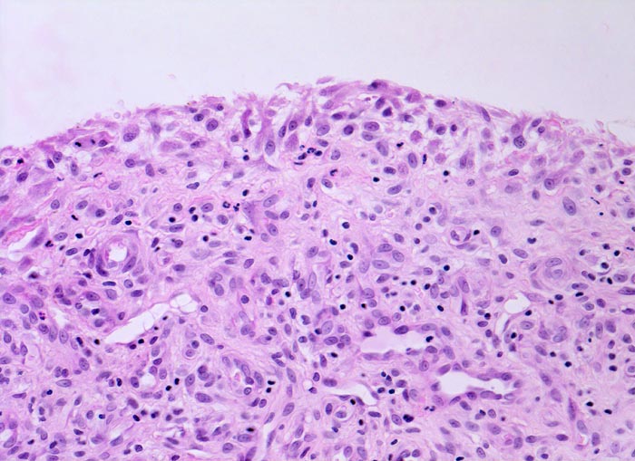
  • Eröffnete Bursa mit plumpen Zotten mit kompakten Auflagerungen von hypereosinophilem Fibrin.
  • Innenauskleidung durch eine Schicht flacher Synoviozyten.
  • Daran angrenzend gefässreiches Granulationsgewebe mit lumennahen Erythrozytenextravasaten und Narbengewebe.
  • Weiter aussen folgt Fettgewebe mit breiten Bindegewebssepten.
Makroskopie
Virtuelles Präparat
Befund
Pathologischer Befund
Normalbefund
Datum
Ersteintrag: 14.03.2019
Update: 04.02.2024