Einleitung
Definition:
Bei der aktinischen (=solare) Keratose handelt es sich um eine nicht-invasive Vorstufe des Plattenepithelkarzinoms in chronisch UV geschädigter Haut (aktinische Präkanzerose ohne Metastasierungspotenz). Die UVB Strahlung verursacht DNA Schäden in den Keratinozyten der Epidermis (Photokarzinogenese). Das Tumorsuppressorgen p53 kann in Keratinozyten mit DNA Schäden den Zellzyklusarrest und die DNA Reparatur induzieren oder triggert in stark geschädigten Zellen die Apoptose. Wenn das p53 Gen als Folge der UV Exposition mutiert, entgehen Keratinozyten mit DNA Schäden der apoptotischen Kontrolle und können weitere DNA Schäden mit potentiell neoplastischem Potential erwerben. Das UV wirkt ausserdem immunsuppressiv und limitiert die Elimination mutierter proliferierender Zellen durch das Immunsystem.
Morphologie:
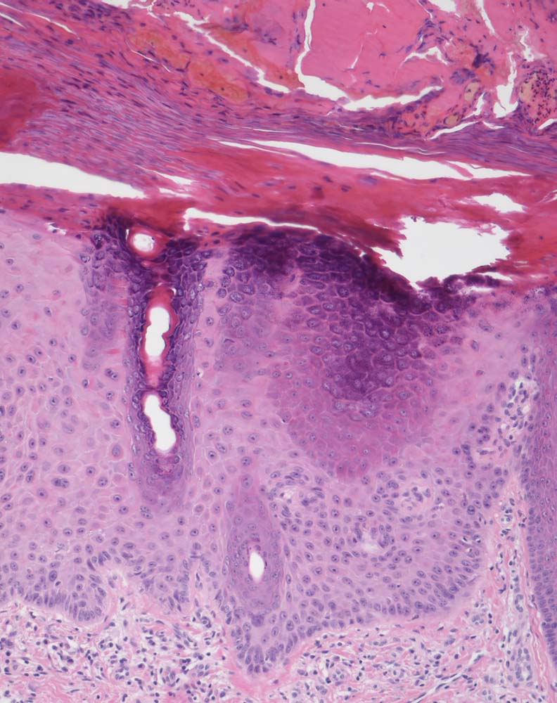
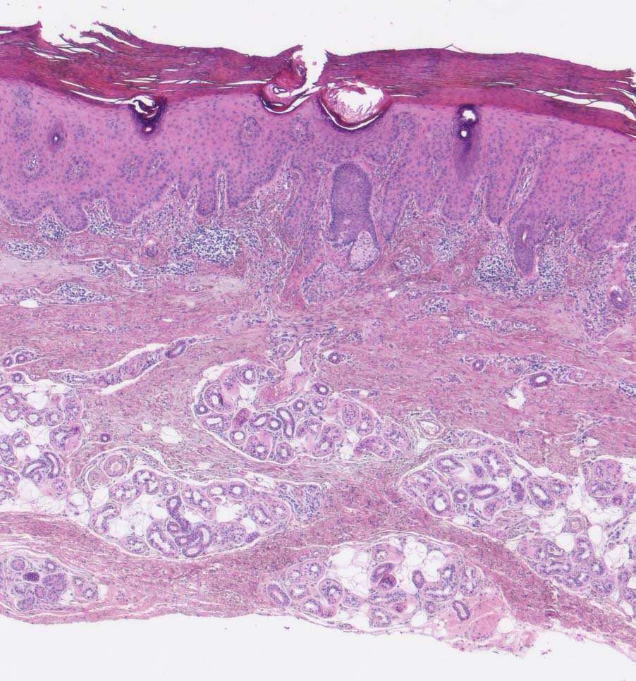
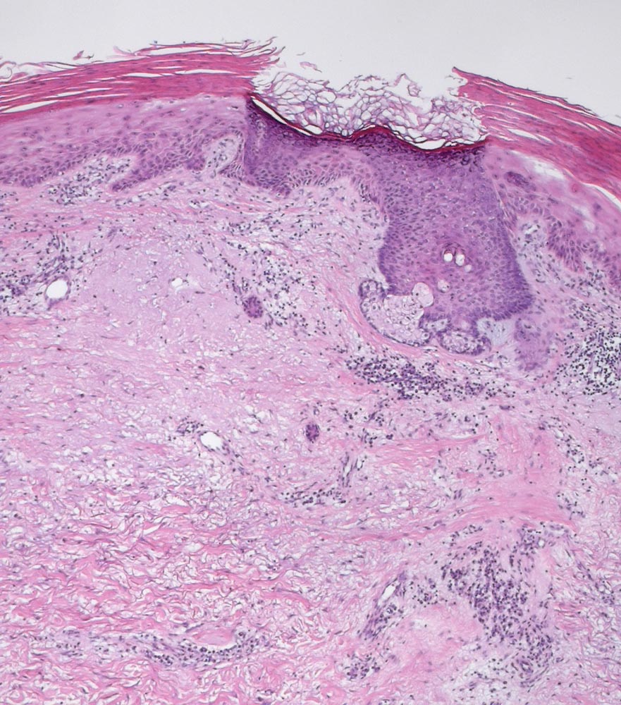
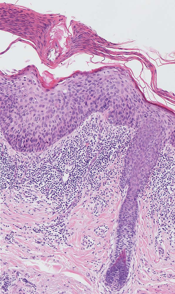
Die Epidermis zeigt obligat dysplastische Veränderungen. Die Dysplasie kann sich auf das untereste Epitheldrittel beschränken (leichte Dysplasie) oder die gesamte Epithelbreite betreffen (=bowenoide aktinische Keratose bzw. Carcinoma in situ). In der Dermis findet sich als Zeichen der chronischen UV Schädigung der Haut immer eine ausgeprägte solare Elastose. Das histologische Bild ist abgesehen von diesen zwei obligaten Befunden sehr variabel. Dyskeratotische Zellen und Mitosen finden sich häufig. Charakteristisch ist auch das Vorliegen einer alternierenden Para- und Orthokeratose, die unterschiedlich stark ausgeprägt ist. Manchmal findet man eine Atrophie der Epidermis mit schmalem Stratum corneum oder umgekehrt eine massive Hyperkeratose wie beim Cornu cutaneum. Akrosyringium und innere Abschnitte der Haarfollikel sind von den dysplastischen Veränderungen ausgespart. Die Epidermis zeigt häufig eine unregelmäßige Hyperplasie mit in das Stratum papillare reichenden Knospen. Bei Ausdehnung der Dysplasie entlang von Haarfollikeln in die Tiefe, können sich bei zu oberflächlicher Abtragung der Läsion Lokalredzidive ausbilden.
Unterschieden werden mehrere histologische Subtypen der aktinischen Keratose: hypertropher, atropher, bowenoider, akantholytischer und pigmentierter Typ. Beim gleichen Patienten können unterschiedliche Subtypen vorkommen.
Der Übergang in ein frühinvasives malignes Plattenepithelkarzinom mit Metastasierungspotential ist histologisch nicht immer einfach erkennbar. Einzelzellinfiltrate, welche die Basalmembran durchbrochen haben, eine Stromadesmoplasie oder Zellnester innerhalb der retikulären Dermis werden als Merkmale für invasives Wachstum gewertet.
update 1. September 2018
Klinik
Vorkommen:
Wichtigster Risikofaktor ist die lebenslange kumulative Sonnenexposition insbesondere bei hellen Hauttypen. Aktinische Keratosen treten deshalb bevorzugt bei alten hellhäutigen Patienten in lichtexponierten Arealen wie Stirn, Nase, Wange, Ohren oder Handrücken auf. Die Prävalenz der aktinischen Keratose bei der hellhäutigen Bevölkerung in Australien (Queensland) liegt in der Altersgruppe von 30-70 Jahren bei 55 Prozent der Männer und bei 37 Prozent der Frauen.
Klinische Befunde und Diagnostik:
Makulae, Papeln oder Plaques von weisslich bis rötlich-brauner Farbe mit feinlamellöser Schuppung, Erosionen und Krustenbildungen. Aufgrund er Schuppung ist die Haut in den betroffenen Arealen aufgeraut (Palpation!). Bei ausgeprägter Hyperkeratose und Papillomatose klinisches Bild eines Cornu cutaneum. Aktinische Keratosen treten nahezu ausschließlich in UV-exponierten Hautarealen auf, insbesondere an Kopf und Hals, Dekolleté, Armen, Handrücken, sowie am Lippenrot der Unterlippe (Cheilitis actinica). Aktinische Keratosen treten oft multipel und konfluierend in größeren Arealen auf wie auf der unbehaarten Kopfhaut bei androgener Alopezie (Glatze) oder im Decolleté. Die klinische Unterscheidung zwischen aktinischen Keratosen, dem M. Bowen und dem invasiven Plattenepithelkarzinom ist oft schwierig, insbesondere bei hyperkeratotischen Läsionen.
Aktinische Keratosen bedürfen keiner histologischen Diagnostik, wenn ein typischer klinischer Befund vorliegt. Bei Therapieresistenz und klinisch unklarem Befund oder Verdacht auf ein Carcinoma in situ (M. Bowen) oder Plattenepithelkarzinom soll eine Gewebeprobe gewonnen werden. Probebiopsien sollten die dermoepidermale Junktionszone miterfassen, damit der chronische UV Schaden (solare Elastose) und eine allfällige Invasion der Dermis (invasives Plattenepithelkarzinom) histologisch nachgewiesen werden kann. Oberflächliche Shave Biopsien bei hyperkeratotisch verhornten Läsionen umfassen oft nur die verdickte Hornschicht und erlauben keine Diagnosestellung.
Therapie:
Bei der Wahl für die optimale Therapie im Einzelfall spielen folgende Faktoren eine Rolle: Bestehen von Risikofaktoren für eine Progression in ein Plattenepithelkarzinom (v.a. Immunsuppression, positive Hautkrebsanamnese), Bestandsdauer und Verlauf der Erkrankung, Lokalisation und Ausdehnung der Läsionen, Alter, Komorbidität, Leidensdruck und Compliance des Patienten. Bei ausgedehntem Befall benötigen die Patienten neben einem konsequenten UV-Schutz eine kontinuierliche Therapie der betroffenen Areale.
Die läsionsorientierte Therapie fokussiert sich auf die Entfernung einzelner aktinischer Keratosen mittels Exzision oder Kryochirurgie mit flüssigem Stickstoff. Die Exzision mit histologischer Untersuchung ist indiziert für Läsionen mit Therapieresistenz und bei klinisch unklarem oder karzinomverdächtigem Befund. Neben der Exzision und der Kürettage gibt es eine Vielzahl weiterer anerkannter Therapieverfahren. Zu diesen gehören die Kryotherapie mit flüssigem Stickstoff, die Lasertherapie und die sogenannte photodynamischen Therapie. Darüber hinaus haben verschiedene pharmazeutische Wirkstoffe ihre Wirksamkeit in der lokalen Anwendung bewiesen (Diclofenac, Fluorouracil, Imiquimod, Retinoide...).
Die Feldtherapie mit lokal aufgetragenen zytotoxischen Substanzen, Immunmodulatoren oder photodynamischer Therapie bei grossflächigem Befall bezieht neben den sichtbaren Hautveränderungen auch klinisch unauffällige aber chronisch UV-geschädigte Hautareale zwischen den einzelnen Läsionen mit in die Therapie ein.
Prognose:
Lediglich 0.025-1% aller aktinischen Keratosen gehen pro Jahr über in ein invasives Plattenepithelkarzinom. Eine prognostische Relevanz für die verschiedenen histologischen Subtypen und den Schweregrad der Dysplasie konnte bisher nicht nachgewiesen werden. Als gesichert gilt eine erhöhte Progressionsrate bei Risikofaktoren (v.a. Immunsuppression) und bei anhaltender chronischer UV Exposition. Verlässliche Biomarker für die Einschätzung des Progressionsrisikos der aktinischen Keratosen sind nicht verfügbar. Solche Marker wären hilfreich für die Therapieplanung bei Patienten mit zahlreichen und ausgedehnten Läsionen. Aktuell wird deshalb empfohlen, alle aktinischen Keratosen bzw. das gesamte betroffene Areal (Feldtherapie) zu behandeln.
Prophylaxe:
Zu jedem dermatologischen Hautkrebsscreening (sekundäre Prophylaxe) gehört eine Beratung bezüglich UV-Schutzmassnahmen (primäre Prophylaxe): Mittagssonne von 11-16 Uhr meiden, Hut und langarmige Kleidung tragen, Sonnencrème vor der Exposition mit Schutzfaktor 50+ (mit UVA und UVB Filter) an UV-exponierten Stellen reichlich und bei Bedarf wiederholt auftragen. Vitamin D Supplementation. Durch konsequenten UV-Schutz kann die Progression bestehender Läsionen und die Entwicklung neuer aktinischer Keratosen deutlich reduziert werden.
update 1. September 2019