Basel 3BA HS/ Prostatakarzinom: Knochenmetastase

Diagnose
Prostatakarzinom: Knochenmetastase
Diagnose Gruppe
maligner Tumor
Differenzialdiagnose
Topographie Gruppe
Knochen, Knorpel, Gelenke
Topographie
Knochen, Wirbelsäule
Einleitung
Vorkommen:
Über 80% der Knochenmetastasen entfallen auf folgende Primärtumoren:
  • Mammakarzinom
  • Prostatakarzinom
  • Bronchialkarzinom
  • Nierenzellkarzinom
  • Schilddrüsenkarzinom
Prinzipiell können jedoch alle malignen Neoplasien in den Knochen metastasieren. Dabei kann die Knochenmetastase vor dem Primärtumor entdeckt werden, was als CUP-Syndrom (Cancer of unknown primary) bezeichnet wird. In einigen Fällen gelingt es trotz intensiver Diagnostik nicht, den verantwortlichen Primärtumor zu lokalisieren. Die bioptische Untersuchung einer Knochenmetastase (histomorphologische, immunhistochemische und ev. molekulargenetische Befunde) kann oftmals die Primärtumorsuche erleichtern. Bei Patienten mit klinisch bekanntem Prostatakarzinom können autoptisch in 65% der Fälle hämatogene Metastasen nachgewiesen werden. Lymphogene Metastasen finden sich am häufigsten in paraaortalen gefolgt von pelvinen Lymphknoten. Hämatogene Metastasen lassen sich in nahezu allen Organen nachweisen. 90% der Patienten mit hämatogenen Metastasen haben einen Knochenbefall vorwiegend der lumbalen Wirbelsäule. Metastasen sind ausserdem häufig in Lunge (45%), Leber (25%), Pleura (21%) und Nebennieren (12%). Wenig differenzierte und lokal weit fortgeschrittene Tumoren metastasieren besonders oft.

Morphologie:
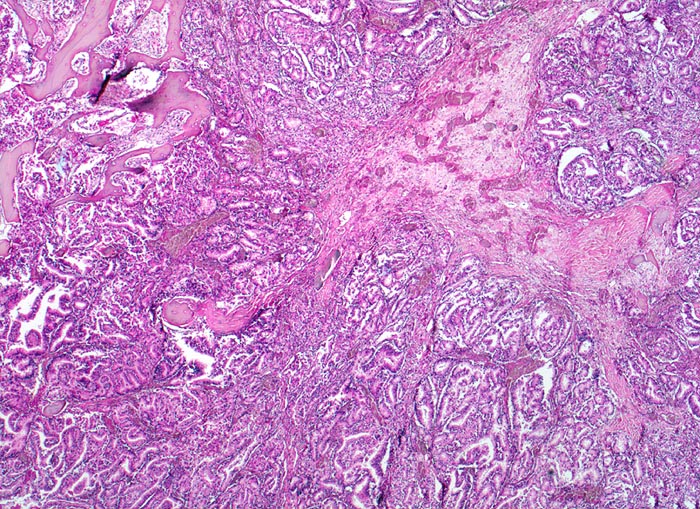
Da Adenokarzinome neben der Prostata in fast allen Organen vorkommenen, ist die Differentialdiagnose im HE Schnitt bei Nachweis einer Knochenmetastase eines Adenokarzinoms sehr breit. Die immunhistochemische Positivität der Tumorzellen für prostataspezifisches Antigen (PSA) spricht für eine Primärtumorherkunft aus der Prostata. Prostatakarzinome bilden typischerweise osteoplastische Knochenmetastasen. Die Knochenbildung erfolgt via Cytokine und Wachstumsfaktoren, die von den Tumorzellen gebildet werden (z.B. TGF-beta), durch Stimulation der Osteoblasten, wahrscheinlich bei gleichzeitiger lokaler Reduktion der Osteoklastenaktivität (RANK/RANKL/OPG-System). Die Stimulation von Osteoblasten führt zu einer vermehrten appositionellen Osteoidneubildung entlang vorhandener Trabekel mit nachfolgender Mineralisierung. Durch fortgeschrittene Knochenneubildung kommt es zu einer vollständigen Ummauerung grösserer Tumorareale, welche durch die verminderte Blutzufuhr nekrotisch werden. Vielfach lassen sich histologisch osteoplastische und osteolytische Anteile nachweisen. Immunhistochemisch lässt sich in den Metastasen oft Prostata spezifisches Antigen nachweisen (> 5342).

update 20. August 2017
Klinik
Therapie:
Die initiale Standardtherapie bei Nachweis von Fernmetastasen ist die Hormontherapie. Ziel ist die Senkung der körpereigenen Androgenproduktion oder deren Blockade, um den proliferationsfördernden Einfluß der Androgene auf Prostatakarzinomzellen zu unterbinden. Die Hormontherapie sollte nach Nachweis von Metastasen auch beim asymptomatischen Patienten begonnen werden. Ein primäres Ansprechen auf Hormontherapie kann bei 80 bis 90 % der Patienten mit Fernmetastasen erwartet werden. Die Dauer des Ansprechens variiert zwischen 12 und 24 Monaten. Für die Hormontherapie stehen die Orchiektomie und verschiedene medikamentöse Verfahren zur Verfügung. Die Gabe von Analgetika sollte im Rahmen eines Stufenplans erfolgen. Obwohl beim Prosatakarzinom überwiegend osteoplastische Knochenmetastasen vorliegen, können Bisphosphonate (Osteoklastenhemmung) zur Schmerztherapie erfolgreich eingesetzt werden, da sie wahrscheinlich einen antiproliferativen und Apoptose-induzierenden Effekt auf die Tumorzellen haben. Chirurgische Maßnahmen werden bei stabilitätsgefährdenden Knochenmetastasen oder pathologischen Frakturen angewandt. Bei drohender oder akuter Querschnittslähmung ist die sofortige Laminektomie indiziert. Die Indikation zur Strahlentherapie wird gestellt bei schmerzhaften Knochenmetastasen oder Frakturgefahr. 70 - 90% der Patienten sprechen auf die Strahlentherapie mit einer Schmerzreduktion bis zur Schmerzfreiheit an. Diese hält in ca 50% bis zum Lebensende an. Von besonderer Bedeutung ist die Strahlentherapie bei frisch auftretendem Querschnittssyndrom durch Metastasen.

update 20. August 2017
Morphologie
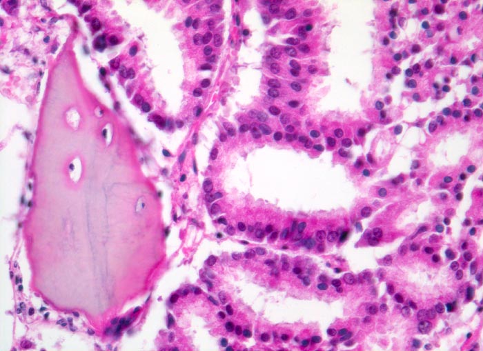
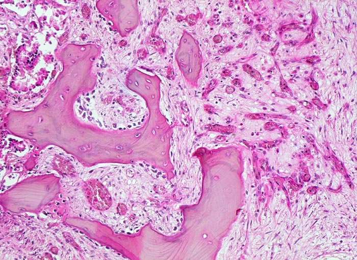
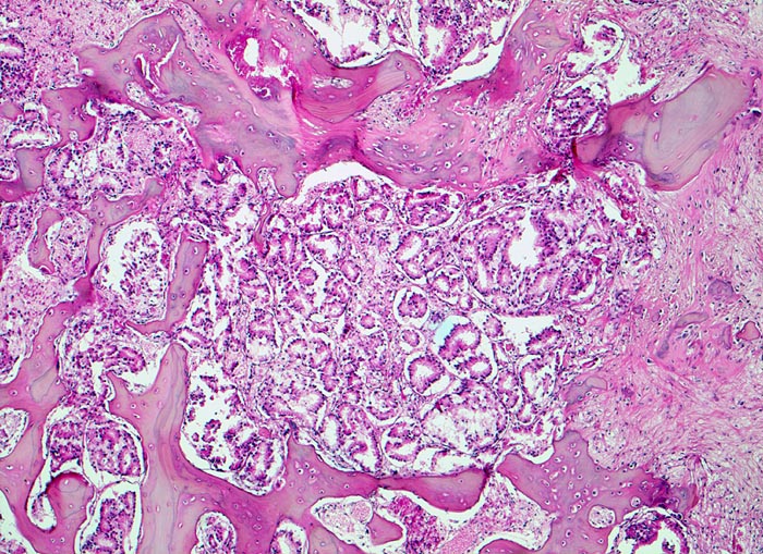
Morphologische Merkmale:
  • Fehlen von blutbildendem Knochenmark.
  • Infiltration des Knochemarks durch kleine dichtgepackte, kribriforme Strukturen ausbildende Karzinomdrüsen.
  • Osteplastische Metastase: Faserknochenneubildung zwischen vorbestehenden Trabekeln.
  • Anhand der Histologie kann lediglich die Diagnose einer Metastase eines Adenokarzinoms gestellt werden. Kleine, solide Verbände bildende Tumordrüsen und grosse Nukleolen sind typisch für ein Prostatakarzinom. Die Diagnose muss aber durch den Vergleich mit der Morphologie des Primärtumors oder eine Immunhistochemische Untersuchung (PSA, PSAP) bestätigt werden.
Das sollte der Kliniker dem Pathologen mitteilen:
  • Vermuteter Primärtumorsitz (gezielte immunhistochemische Untersuchungen).
  • Vorausgegangene Therapie.
Makroskopie
Befund
Pathologischer Befund
Normalbefund
Datum
Ersteintrag: 10.07.2019
Update: 04.02.2024