Einleitung
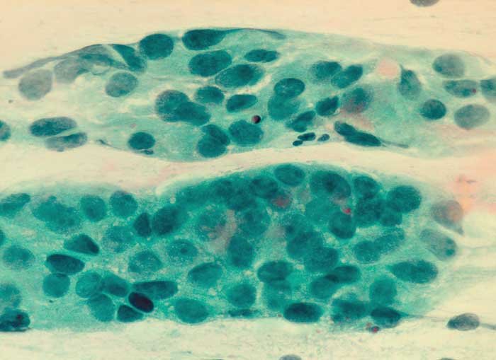
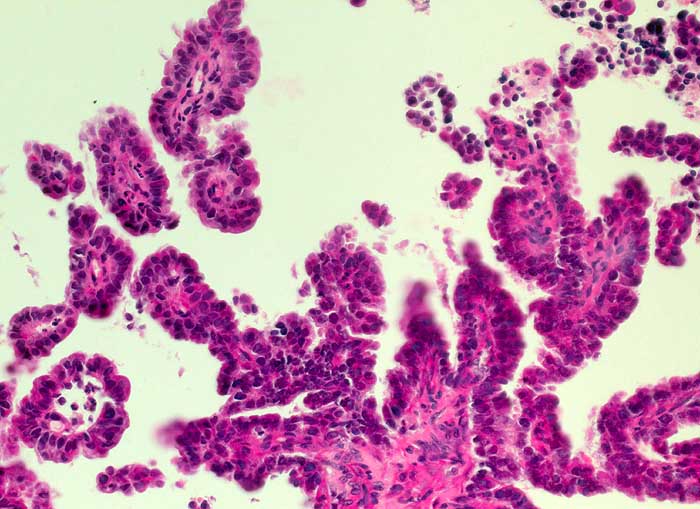
Die Zellkerne der serösen Adenokarzinome sind in den meisten Fällen hochgradig atypisch. Das Zellbild gleicht entsprechend demjenigen eines wenig differenzierten endometrioiden Adenokarzinoms. Da das seröse Karzinom anders als das endometrioide Karzinom nicht Folge eines Hyperöstrogenismus ist, zeigen die meist postmenopausalen Patientinnen keinen hohen Aufbau des Vaginalepithels im PC-Abstrich.