g/ Adenocarcinoma in situ der Zervix uteri

Diagnose
Adenocarcinoma in situ der Zervix uteri
Diagnose Gruppe
Präneoplasie/ Atypie/ Dignität?
Differenzialdiagnose
Topographie Gruppe
Mamma
Topographie
Portio
Einleitung
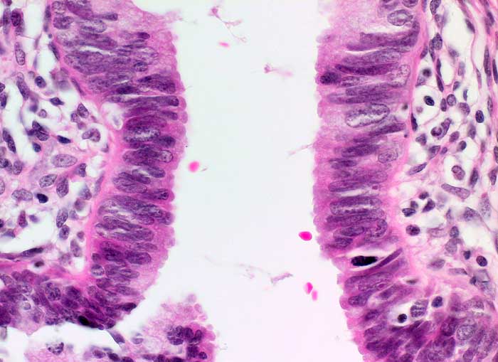
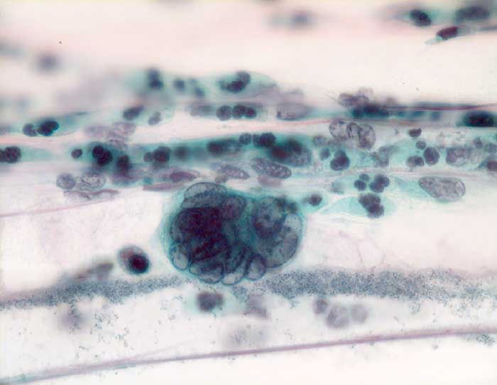
Die Ausstriche des ACIS sind zellreich und enthalten atypische Zylinderzellen mit grossen Kernen. Diese bilden flache Verbände, die in der Aufsicht ein Honigwabenmuster, bei seitlicher Betrachtung ein Palisadenmuster und eine Pseudostratifikation der Kerne erkennen lassen. Die Kerne sind im Vergleich zum normalen Zylinderepithel deutlich grösser und enthalten einen vergrösserten Nukleolus. Eine Hyperchromasie ist nicht immer vorhanden und das granuläre Chromatin ist regelmässig verteilt. Der zytologische Nachweis von atypischen Zylinderepithelien sollte histologisch weiter abgeklärt werden.
Klinik
-
Normalbefund
Morphologie
Makroskopie
Virtuelles Präparat
Befund
Pathologischer Befund
Normalbefund
Literatur
Datum
Ersteintrag: 01.04.2003
Update: 04.02.2024