n/ Becherzellhyperplasie

Diagnose
Becherzellhyperplasie
Diagnose Gruppe
Hyperplasie / Hypertrophie
Differenzialdiagnose
Topographie Gruppe
Lunge, Mediastinum mit Thymus
Topographie
Bronchialbürste, Zytologie
Einleitung
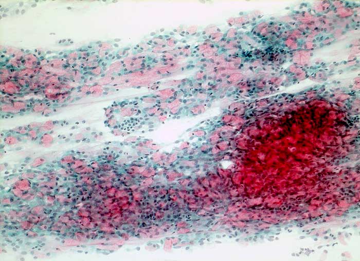
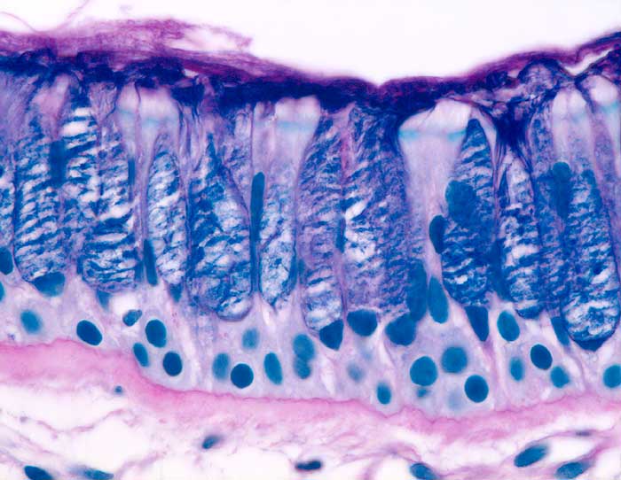
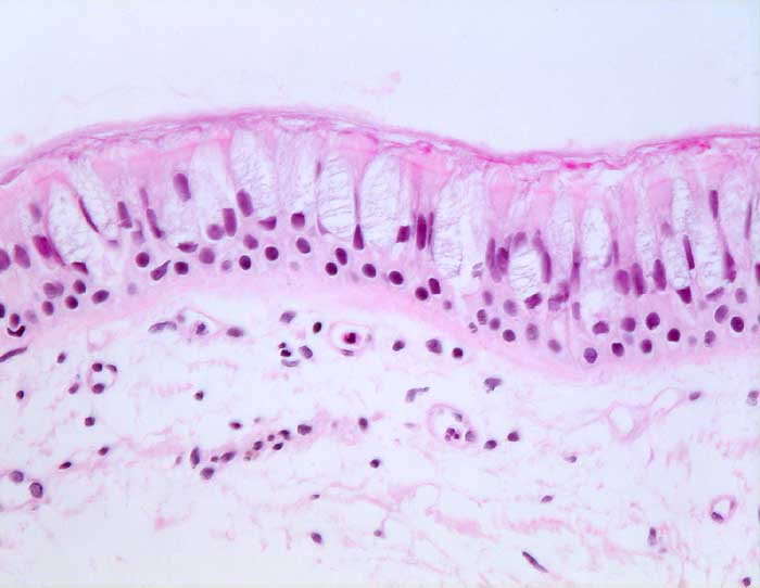
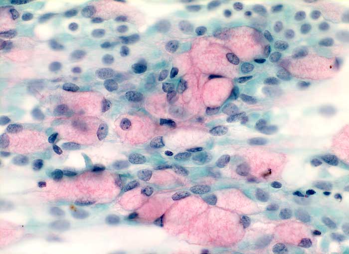
Becherzellen lassen sich vor allem in Bronchialsekret oder Bronchialbürsten identifizieren. Sie treten oft in Gruppen zusammen mit Flimmerepithelzellen auf, wobei das normale Verhältnis von Becherzellen zu Flimmerzellen etwa 1:5 bis 1:10 beträgt. Da Becherzellen rasch degenerieren sind Nacktkerne häufig. Becherzellen sind vermehrt bei Asthma, chronischer Bronchitis und Bronchiektasen. Bei sehr zahlreichem Auftreten muss differentialdiagnostisch an das Vorliegen eines muzinösen bronchioloalveolären Karzinoms gedacht werden.
Klinik
-
Normalbefund
Morphologie
Makroskopie
Virtuelles Präparat
Befund
Pathologischer Befund
Normalbefund
Literatur
Datum
Ersteintrag: 24.03.2003
Update: 04.02.2024