n/ Plattenepithelkarzinom der Harnblase

Diagnose
Plattenepithelkarzinom der Harnblase
Diagnose Gruppe
maligner Tumor
Differenzialdiagnose
Topographie Gruppe
Niere, Harnwege
Topographie
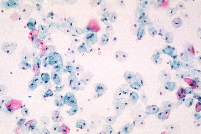
Urin spontan
Einleitung
Der zytologische Befund entspricht dem der Plattenepithelkarzinome an anderen Orten. Allerdings finden sich oft auffallend wenig Tumorzellen, die überdies oft nur geringe Atypien aufweisen.
Klinik
-
Normalbefund
Morphologie
Makroskopie
Virtuelles Präparat
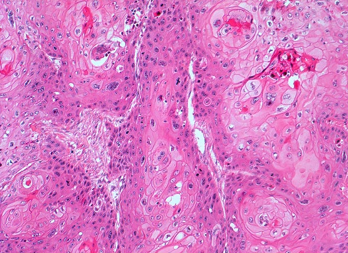
Befund
Pathologischer Befund
Normalbefund
Literatur
Datum
Ersteintrag: 13.04.2003
Update: 04.02.2024