n/ Astrozytom WHO Grad II

Diagnose
Astrozytom WHO Grad II
Diagnose Gruppe
maligner Tumor
Differenzialdiagnose
Topographie Gruppe
Nervensystem
Topographie
Hirn temporal
Einleitung
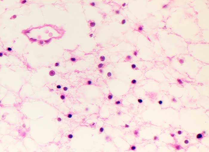
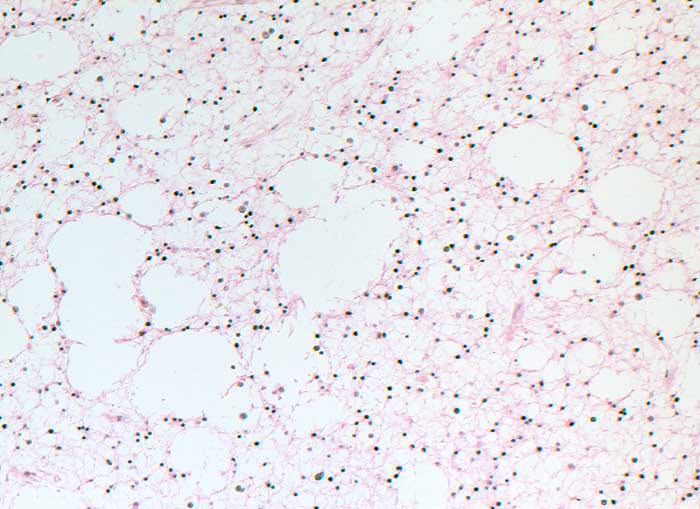
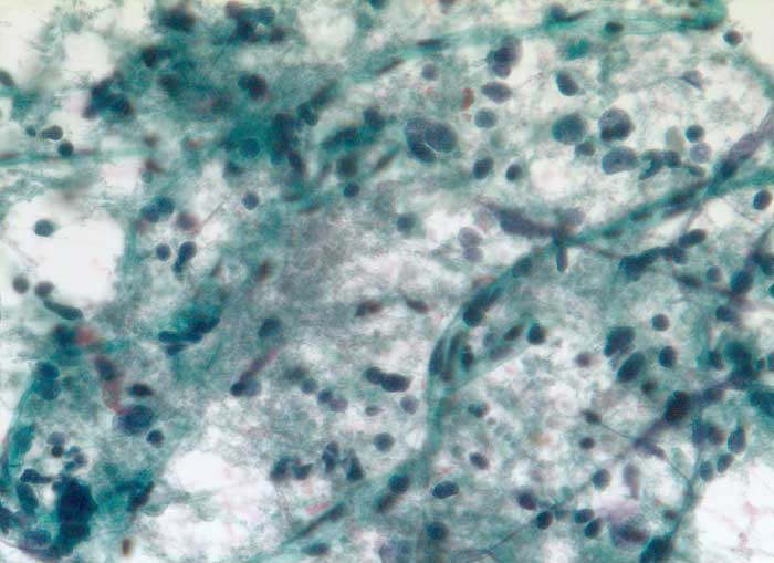
Die Waschflüssigkeit ist eher zellarm. Die Ausstriche erscheinen sauber. Den Hintergrund bildet eine feinfasrige Matrix vermischt mit Nervenzellen, normalen und reaktiven Gliazellen. Die astrozytären Tumorzellen sitzen typischerweise Kapillarachsen auf. Endothelhyperplasie und Kapillarproliferate sind im Ausstrich gut zu sehen. Das Zytoplasma ist unscharf und bildet feine fasrige Fortsätze. Die Tumorzellkerne sind rund bis oval oder angedeutet spindelig, das Chromatin feingranulär. Zellgrösse, Polymorphie und Kernatypie nehmen mit abnehmender Differenzierung zu.
Klinik
-
Normalbefund
Morphologie
Makroskopie
Virtuelles Präparat
Befund
Pathologischer Befund
Normalbefund
Literatur
Datum
Ersteintrag: 13.04.2003
Update: 04.02.2024