n/ Maligner Aszites: duktales Pankreaskarzinom

Diagnose
Maligner Aszites: duktales Pankreaskarzinom
Diagnose Gruppe
maligner Tumor
Differenzialdiagnose
Topographie Gruppe
Körperhöhlen, Serosa
Topographie
Aszites
Einleitung
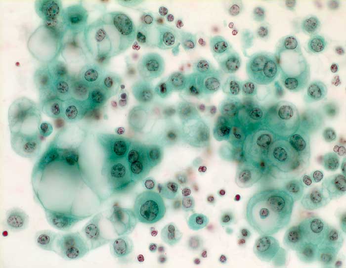
Pankreaskarzinome bilden in Ergüssen kleine Verbände oder liegen einzeln und sind dann schwer von Mesothelien oder Makrophagen unterscheidbar. Ähnlich wie beim Ovarialkarzinom besteht ein gewisser Dimorphismus mit einzelliegenden grossen Zellen mit grob vakuolisiertem Zytoplasma neben kleinen Zellen. Die Tumorzellkerne sind deutlich polymorph bei geringer Grössenschwankung, die atypischen Nukleolen sind gut sichtbar.
Klinik
-
Normalbefund
Morphologie
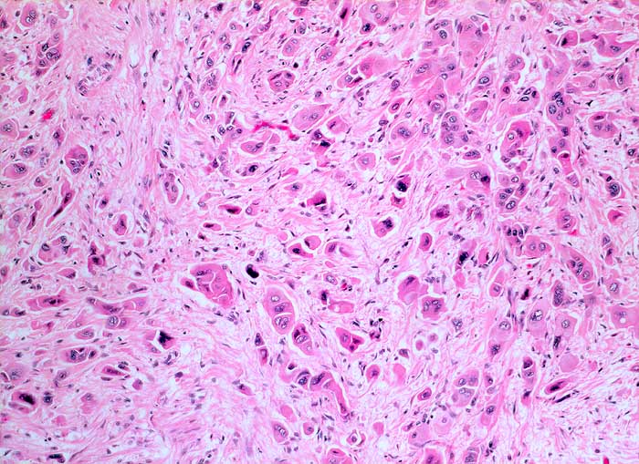
Makroskopie
Virtuelles Präparat
Befund
Pathologischer Befund
Normalbefund
Literatur
Datum
Ersteintrag: 13.04.2003
Update: 04.02.2024