p/
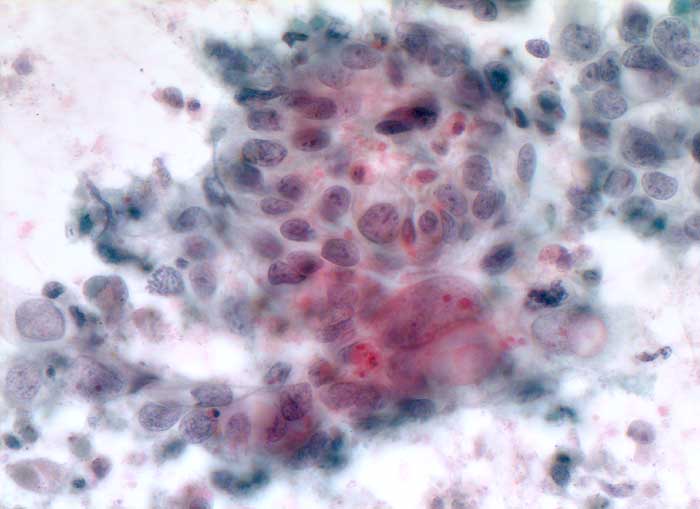
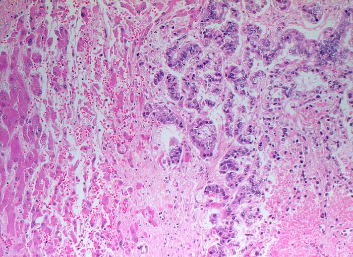
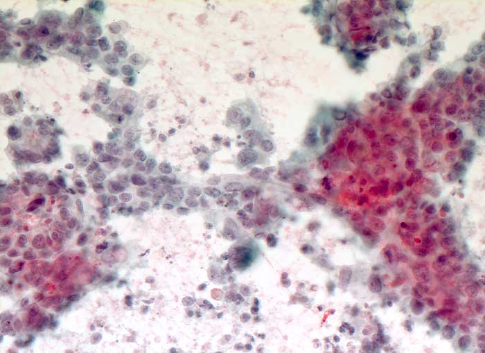
Lebermetastase eines Adenokarzinoms (Magen)
Diagnose
Lebermetastase eines Adenokarzinoms (Magen)
Diagnose Gruppe
maligner Tumor
Topographie Gruppe
Leber, Gallenwege, Pankreas
Einleitung
Die Abgrenzung einer Metastase eines wenig differenzierten Adenokarzinoms von einem wenig differenzierten hepatozellulären Karzinom kann schwierig sein. Als wichtige Kriterien für ein HCC gelten monomorphe polygonale Zellen mit zentralen Kernen, Kapillarendothelien und Einschlüsse von Gallepigment. Zur Klärung der Herkunft des Primärtumors können immunzytochemische Untersuchungen weiterhelfen.
Befund
Pathologischer Befund
Normalbefund
Datum
Ersteintrag: 01.04.2003
Update: 04.02.2024