p/ Lymphknotenmetastase: Plattenepithelkarzinom

Diagnose
Lymphknotenmetastase: Plattenepithelkarzinom
Diagnose Gruppe
maligner Tumor
Differenzialdiagnose
Topographie Gruppe
Lymphatische Gewebe, KM, Milz
Topographie
Lymphknoten, Kopf-cervikal
Einleitung
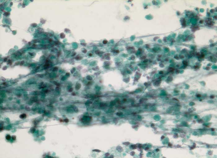
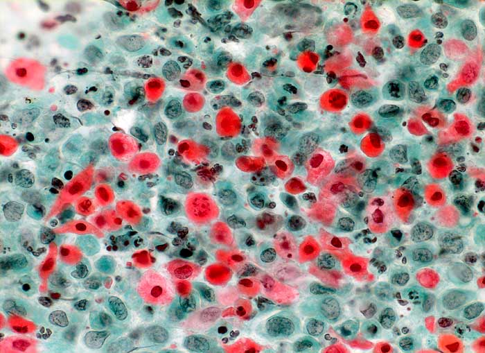
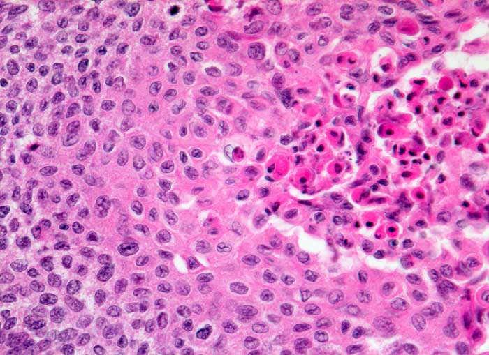
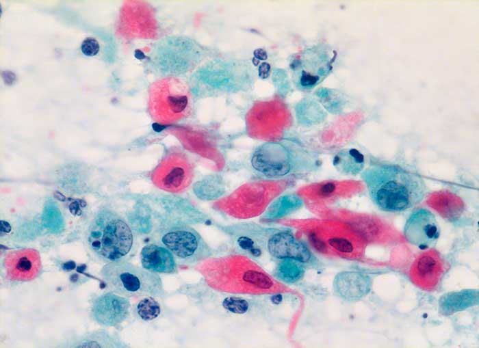
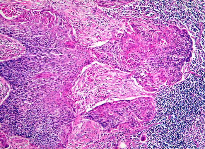
Zervikale Lymphknotenmetastasen eines Plattenepithelkarzinoms stammen oft von Primärtumoren aus dem HNO Bereich. Diese sind im Unterschied zu den Plattenepithelkarzinomen der Lunge, die ebenfalls in die Halslymphknoten metastasieren, meist hoch differenziert, stark verhornend und ausgedehnt nekrotisch.
Klinik
-
Normalbefund
Morphologie
Makroskopie
Virtuelles Präparat
Befund
Pathologischer Befund
Normalbefund
Literatur
Datum
Ersteintrag: 01.04.2003
Update: 04.02.2024