Einleitung
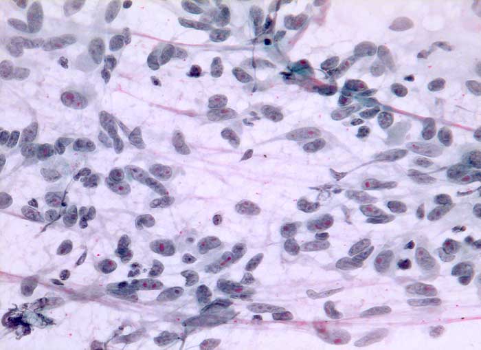
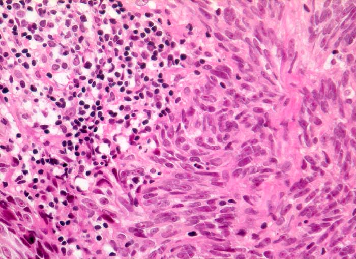
Melanome metastasieren häufig in die Lymphknoten. Sie können morphologisch sehr unterschiedlich aussehen. Melanome erscheinen zytologisch teils wie ein Sarkom, teils wie ein Karzinom. Die Tumorzellen können Pseudoverbände ähnlich einem Karzinom bilden. In zellreichen Aspiraten erkennt man oft Kapillarachsen, denen die Tumorzellen in mehreren sich gegen peripher auflockernden Schichten anliegen, so dass ein garbenartiges Muster entsteht, wie man es auch bei Sarkomen beobachten kann. Prominente Nukleolen und intranukleäre Vakuolen sind oft vorhanden. Melanotische Metastasen sind aufgrund des Melaninpigmentes leicht diagnostizierbar. Bei amelanotischen Metastasen kann eine immunzytochemische Untersuchung mit S-100 und/oder HMB-45 weiterhelfen.