l/
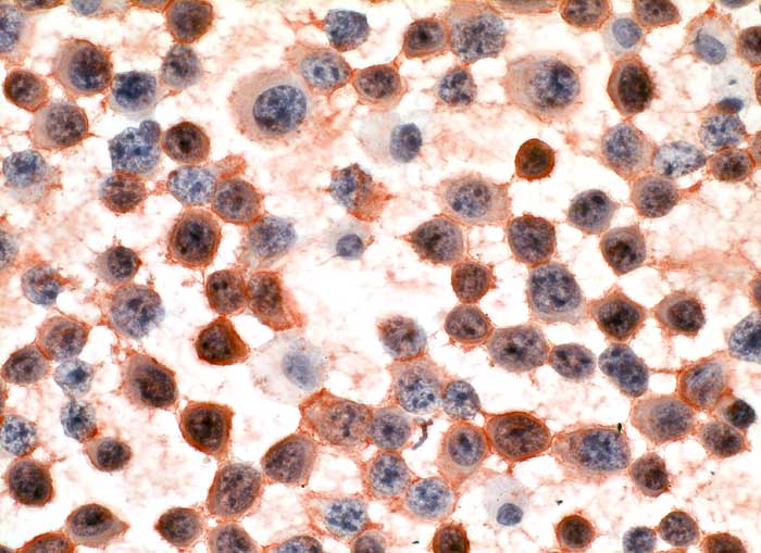
CD138
Einleitung
CD138
- Anfärbung:
- Zellmembran
- Reaktion im Normalgewebe:
- Plasmazellen sind positiv.
- Reaktion in Neoplasien:
- Neoplastische Plasmazellen reagieren positiv.
- Diagnostischer Nutzen:
- Diagnose des multiplen Myeloms. Identifikation von Plasmazellen.
Befund
Pathologischer Befund
Normalbefund
Datum
Ersteintrag: 01.04.2003
Update: 04.02.2024