l/
CD20
Einleitung
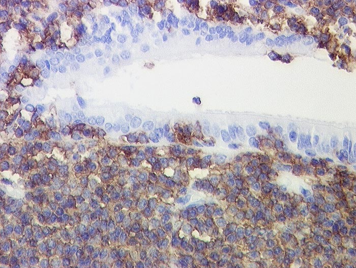
CD20
- Anfärbung:
- Zellmembran
- Reaktion im Normalgewebe:
- Pan B-Zell Marker positiv in allen B Lymphozyten, negativ in Plasmazellen.
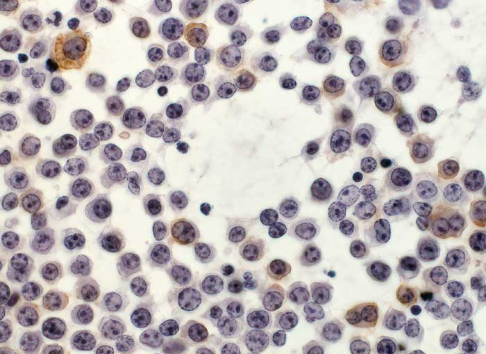
- Reaktion in Neoplasien:
- Die meisten B-Zell Lymphome, etwa 50% der B Zell lymphoblastischen Lymphome und einige Myelome reagieren positiv.
- Diagnostischer Nutzen:
- Unterscheidung von reaktiven und neoplastischen Infiltraten zusammen mit CD3. Reaktive Infiltrate bestehen meist aus einem Gemisch von B und T Lymphozyten mit Überwiegen der T Lymphozyten. In B-Zell Lymphomen überwiegen CD20 positive B-Zellen.
Unterscheidung von B- und T-Zell Lymphomen.
Befund
Pathologischer Befund
Normalbefund
Datum
Ersteintrag: 13.04.2003
Update: 04.02.2024