l/ Östrogenrezeptor

Diagnose
Östrogenrezeptor
Diagnose Gruppe
Differenzialdiagnose
Topographie Gruppe
Topographie
Einleitung
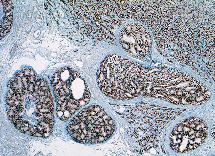
Östrogenrezeptor
Anfärbung:
Zellkern. Zytoplasmafärbung ist unspezifisch.
Reaktion im Normalgewebe:
Epithel und Stromazellen von Vulva und Vagina. Endometrium. Mammaepithelien.
Reaktion in Neoplasien:
Folgende Tumoren können Östrogen- und/oder Progesteronrezeptoren exprimieren:
  • Mammakarzinom
  • Zervixkarzinom
  • Ovarialtumoren (serös, muzinös)
  • Endometriumkarzinom, endometriales Stromasarkom
  • Fibroepitheliale Polypen, Nervenscheidentumoren und glattmuskuläre Tumoren der Vulva
  • Vaginales Angiomyofibroblastom
  • Aggressives Angiomyxom
  • Desmoidtumor (abdominale Fibromatose)
  • Schweissdrüsentumoren
  • Schilddrüsentumoren
  • Meningeom
  • Melanom
  • neuroendokrine Tumoren
Folgende Tumoren exprimieren nie Östrogenrezeptoren:
  • Kolorektales Adenokarzinom
  • Nicht-kleinzelliges Bronchuskarzinom
  • Hepatozelluläres Karzinom
Diagnostischer Nutzen:
Identifikation von Mammakarzinomen, die möglicherweise auf eine Hormontherapie ansprechen.
Klinik
-
Normalbefund
Morphologie
Makroskopie
Virtuelles Präparat
Befund
Pathologischer Befund
Normalbefund
Literatur
Datum
Ersteintrag: 01.04.2003
Update: 04.02.2024