ETHZ spez/ Chronische myeloische Leukämie (CML)

Diagnose
Chronische myeloische Leukämie (CML)
Diagnose Gruppe
maligner Tumor
Differenzialdiagnose
Topographie Gruppe
Lymphatische Gewebe, KM, Milz
Topographie
Knochenmark, Beckenkamm
Einleitung
Histogenese:
Die chronisch myeloische Leukämie gehört zu den myeloproliferativen Neoplasien (MPN).

Genetik:
Der CML liegt eine monoklonale Stammzellproliferation zu Grunde, die in >95% der Fälle mit einer Translokation t(9;22) vergesellschaftet ist (sogenanntes Philadelphia-Chromosom): dabei kommt es zu einer Fusion des bcr-Gens auf Chromosom 22 mit dem abl-Gen auf Chromosom 9 und damit zur Aktivierung eines Protoonkogens. Die restlichen Fälle weisen eine Variantentranslokalisation auf.

Verlauf:
Die CML verläuft in drei Phasen (chronischePhase, akzelerierte Phase, Blastenschub mit Übergang in eine akute Leukämie). Während der chronischen Phase reifendie leukämischen Zellen aus und die Proliferation der Tumorzellen findet hauptsächlich im Blut, im Knochenmark, in der Milz und der Leber statt. Im Blastenschub können die neoplastischen Zellen auch in Lymphknoten, Haut, Weichteilen und ZNS nachgewiesen werden.

Morphologie:
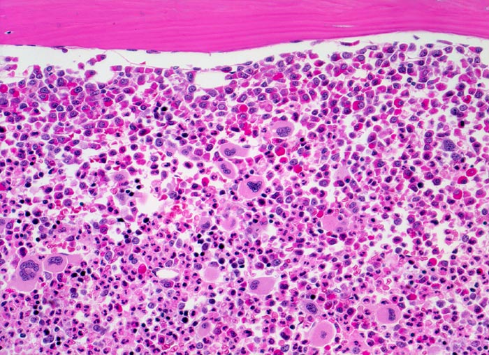
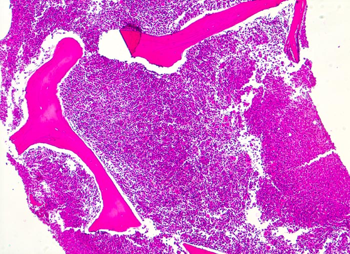
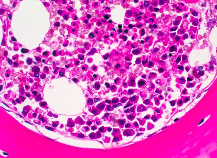
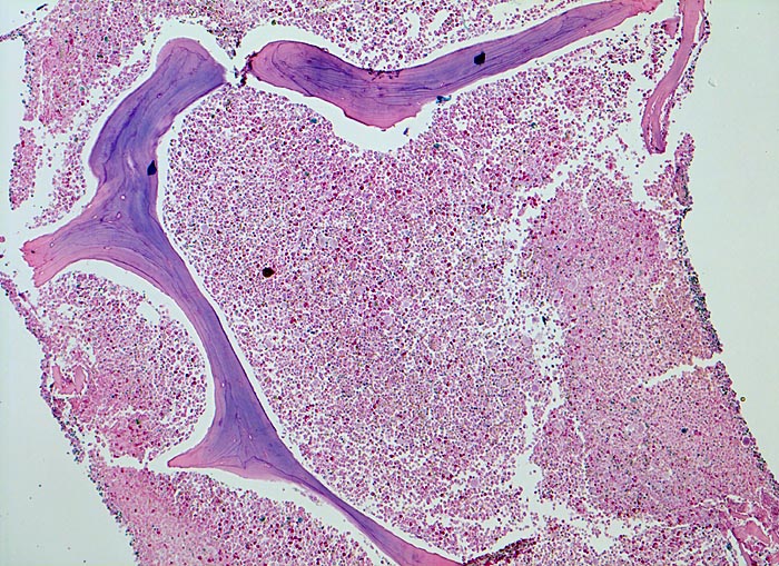
In der chronischen Phase zeigt das Knochenmark eine Hyperzellularität, welche auf eine Vermehrung der neutrophilen Granulozyten und deren Vorläufer zurückzuführen ist. Der paratrabekuläre Streifen unreifer Granulozyten kann verbreitert sein von normal 2-3 Zellschichten auf 5-10 Zellschichten. Blasten machen weniger als 5% der Knochenmarkzellen aus. Eine Blastenzahl von mehr als 10% deutet auf eine Transformation in ein akzeleriertes Stadium und von mehr als 20% entspricht einer Blastenkrise mit Transformation in eine akute Leukämie. Die Megakaryozyten sind typischerweise kleiner als normal, haben hypolobierte Kerne und sind bei 40-50% der Patienten vermehrt. Der Prozentanteil der erythroiden Vorstufen ist gewöhnlich vermindert (G:E Ratio >5:1. Die initiale Knochenmarkbiopsie zeigt bei 40% der Patienten eine Vermehrung von Reticulinfasern assoziiert mit einer erhöhten Anzahl Megakaryozyten. Das Ziel der histologischen Untersuchung des Knochenmarks besteht darin, den Anteil an Blasten im Knochenmark und damit das Stadium der Erkrankung festzulegen. Bis zu einem Blastengehalt von weniger als 10% der kernhaltigen Zellen spricht man von einer chronischen Phase, zwischen 10 und 20% von einer akzelerierten Phase und bei über 20% liegt eine akute Leukämie vor.

update 30. August 2012
Klinik
Vorkommen:
Die CML ist die häufigste myeloproliferative Neoplasie und macht 15-20% aller Leukämien aus. Die weltweite Inzidenz liegt bei 1-1.5 Fälle pro 100'000 Einwohner pro Jahr. Die Erkrankung kann in jedem Alter auftreten. Am häufigsten ist sie in der fünften und sechsten Dekade.

Symptomatik:
Die CML wird meist in der chronischen Phase diagnostiziert. Die Symptome beginnen schleichend. 20-40% der Patienten sind bei Diagnosestellung asymptomatisch und die Diagnose basiert auf einer zufällig entdeckten Leukozytose. In der chronischen Phase können die Patienten Allgemeinsymptome wie Müdigkeit und Gewichtsverlust oder Symptome durch die Splenomegalie aufweisen. Die Splenomegalie beruht auf einer Infiltration der roten Pulpa durch Granulozyten in verschiedenen Reifungsstadien. Solche Infiltrate finden sich auch in den Lebersinusoiden und in den Portalfeldern. Im fortgeschrittenen Stadium treten Fieber, Gewichtsverlust, Knochenschmerzen, Blutungen, Thrombosen oder Infektionen hinzu. Selten wird die Diagnose erst im terminalen Blastenschub gestellt, wenn die Patienten an schwerer Anämie, Thrombozytopenie oder ausgeprägter Splenomegalie leiden.

Diagnostik:
Im peripheren Blut findet sich während der chronischen Phase eine Leukozytose, eine absolute Basophilie, oft eine Eosinophilie und meist eine leichte Anämie. Der Nachweis des Philadelphia Chromosoms zusammen mit den klinischen Manifestationen einer chronischen myeloischen Leukämie gilt als diagnostisch. Die histopathologische Untersuchung des Knochenmarks ist für die Diagnosestellung nicht erfoderlich, dient aber der Stadieneinteilung in chronische, akzelerierte oder akute Phase mit Übergang in eine akute Leukämie.

Therapie:
Die Behandlung sollte wenn immer möglich im Rahmen einer Studie erfolgen. Bisher einzige kurative Option ist die allogene Stammzelltransplantation. Für Patienten in der chronischen Phase ist die Therapie mit einem spezifisch gegen BCR-ABL gerichteten Protein-Tyrosinkinase Inhibitor (z.B. Imatinib, Nilotinib, Dasatinib) die beste primäre Therapie mit hoher und lang andauernder Remissionsrate.

update 30. August 2012
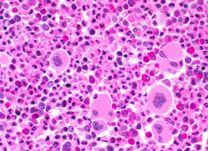
Morphologie
Morphologische Merkmale:
  • Fast 100% Zellularität des blutbildenden Marks (praktisch keine Fettzellen, sogenanntes "packed marrow").
  • Stark vermehrte, ausreifende Myelopoese.
  • Der paratrabekuläre Saum unreifer myeloischer Zellen ist verdickt auf 5 bis 6 Zellen.
  • Verdrängung der Erythropoese.
  • In Gruppen liegende vermehrte nacktkernige (= kein Zytoplasma) verkleinerte Mikromegakaryozyten mit hypolobierten Kernen.
Das sollte der Kliniker dem Pathologen mitteilen:
  • Befund der Aspirationszytologie.
  • Blutbild und Blastengehalt im Blut.
  • Zytogenetik (Philadelphia Chromosom t(9;22)(q34;q11))
  • Erstbiopsie oder Verlaufsbiopsie (Therapie).
Makroskopie
Befund
Pathologischer Befund
Normalbefund
Datum
Ersteintrag: 14.03.2019
Update: 04.02.2024