AP/ Vorhofmyxom

Diagnose
Vorhofmyxom
Diagnose Gruppe
benigner Tumor
Differenzialdiagnose
Topographie Gruppe
Kardiovaskuläres System
Topographie
Herz Vorhof
Einleitung
-
Klinik
-
Normalbefund
Morphologie
-
Makroskopie
Virtuelles Präparat
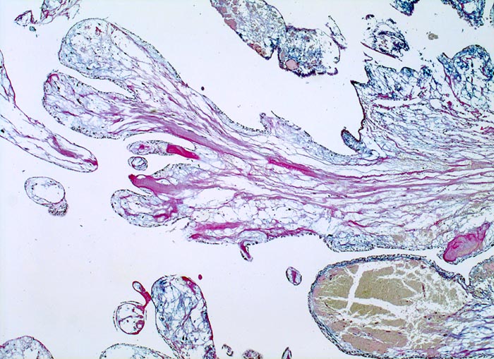
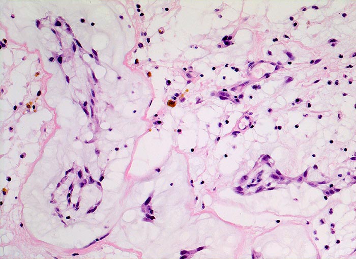
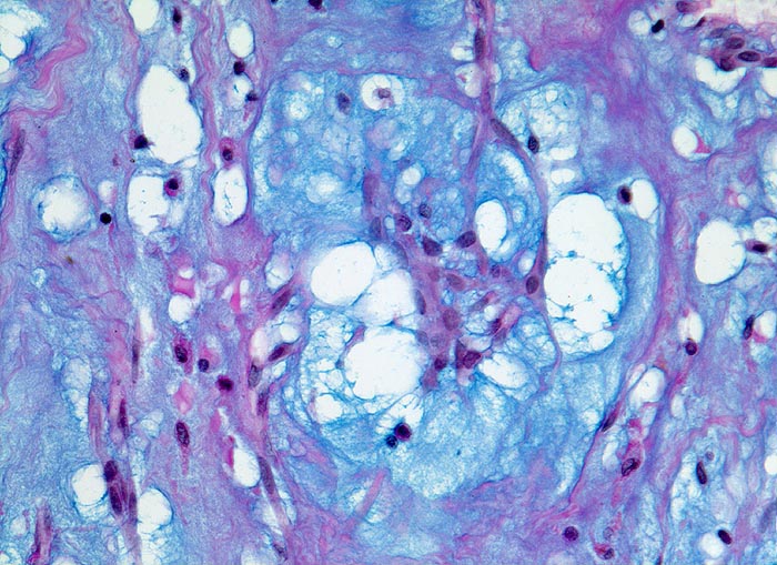
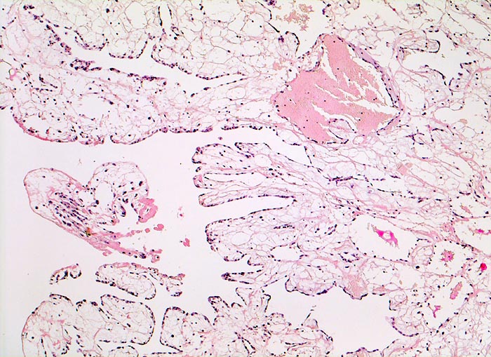
Befund
Pathologischer Befund
Normalbefund
Literatur
Datum
Ersteintrag: 05.02.2008
Update: 04.02.2024