Pathopic
HiPaKu
ZyPaKu
PathoBasic
PathoBasic Cytology
Quizzes
Projektinfos
PathoPic - Projekt- und Copyright-Infos
About
Pathopic
HiPaKu
ZyPaKu
PathoBasic
PathoBasic Cytology
Quizzes
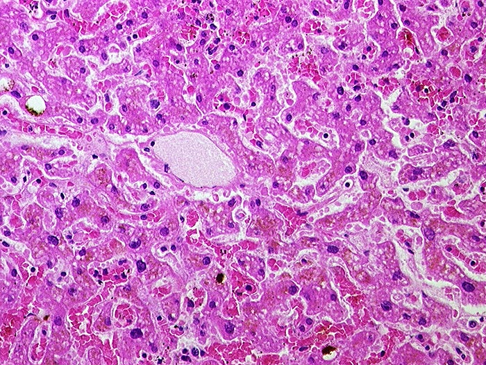
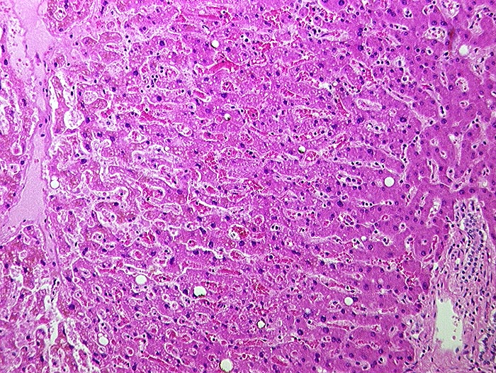
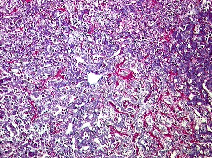
AP/ Subakute Stauung der Leber
Diagnose
Subakute Stauung der Leber
Diagnose Gruppe
vaskulär / Durchblutungsstörung
Differenzialdiagnose
Topographie Gruppe
Leber, Gallenwege, Pankreas
Topographie
Leber
Einleitung
-
Klinik
-
Normalbefund
Leber HE
Morphologie
-
Makroskopie
Virtuelles Präparat
Befund
Pathologischer Befund
Normalbefund
Literatur
Datum
Ersteintrag: 14.01.2010
Update: 04.02.2024
CPS
·
©
2024 Institut für Pathologie Basel
/
Dr. med. Katharina Glatz-Krieger
.
·
v2.1