AP/ Sekundäre Frakturheilung

Diagnose
Sekundäre Frakturheilung
Diagnose Gruppe
Trauma / mechanischer Schaden
Differenzialdiagnose
Topographie Gruppe
Knochen, Knorpel, Gelenke
Topographie
Knochen, Rippe
Einleitung
Aetiologie:
Knochenbrüche infolge einer plötzlichen äußeren Gewalteinwirkung werden als traumatische Frakturen bezeichnet. Bei chronischen oder wiederholten Mikrotraumen können Ermüdungsfrakturen auch ohne äußere Gewalteinwirkung auftreten. Von pathologischen Frakturen spricht man bei spontanen Knochenbrüchen, die in einem primär pathologisch veränderten Knochen bei inadäquatem Trauma entstehen, z.B. bei Osteoporose, Knochenzysten, primären Knochentumoren oder Knochenmetastasen.
Vorkommen:
Die primäre Knochenheilung findet ohne Kallusbildung statt, meist bei sehr kleinen Knochendefekten bzw. schmalen Frakturspalten. Bei bestehendem Frakturspalt oder ungenügender Fixation der Frakturenden kommt es zur sekundären Frakturheilung.

Verlauf:
eim Frakturvorgang reissen periostale, intrakortikale und endostale Blutgefässe ein. Es bildet sich ein Frakturhämatom. Innert 7-14 Tagen wird das Hämatom durch einsprossendes Granulationsgewebe organisiert. Je nach Stabilität der Frakturenden kommt es zur desmalen Verknöcherung des Bindegewebes bzw. zur metaplastischen Knorpelbildung, die sekundär in Knochen umgewandelt wird. Nach 4-6 Wochen ist der Kallus vollständig knöchern umgewandelt. Anschliessend wird das überschüssige Kallusgewebe resorbiert und der Kallus in lamelläres Knochengewebe umgewandelt. Eine Wiederherstellung der normalen Kortikalisdichte setzt nach 6 Wochen ein.
Klinik
Diagnostik:
Klinische Befunde bei einer Fraktur sind Achsenfehlstellungen, Hämatom, Druckschmerz, Stauuchungsschmerz, Bewegungsschmerz oder hörbare Krepitation. Arterieller und venöser Gefässstatus, neurologische Ausfälle und Weichteilverletzungen sollten bei jeder Fraktur beachtet werden.

Therapie:
Mit der operativen Frakturversorgung (Osteosynthese) wird die primäre Knochenheilung angestrebt. Hierbei werden mittels Metallplatten und Schrauben (Druckplattenosteosynthese) oder intramedullärer Nägel die Frakturteile unter Druck exakt adaptiert und optimal stabilisiert.

Komplikationen:
Die Frakturheilung ist mit zahlreichen möglichen Komplikationen behaftet. Knochennekrosen im Anschluß an eine Fraktur entstehen aufgrund traumatischer Gefäßzerstörungen. Sie können zu erheblichen Störungen der primären oder sekundären Frakturheilung führen. Atrophie und Demineralisierung der Knochen nach Frakturen entstehen meist bei verlängerter Immobilisierung oder als Folge gesteigerter resorptiver Vorgänge (Sudeck-Atrophie). Die sekundäre Osteomyelitis stellt die Hauptkomplikation nach offenen oder operativ versorgten Frakturen dar. Eine ungenügende Kallusbildung beispielsweise unter Kortikosteroidtherapie führt zur verzögerten Stabilisierung. Bei einer überschiessenden Kallusbildung mit Knochenbildung in den angrenzenden Weichteilen wird ein statisch minderwertiger Kallus gebildet. Bei ungenügender knöcherner Überbrückung des Frakturspaltes und vorzeitiger Belastung bildet sich im Frakturbereich ein Gelenk an falscher Stelle aus (Pseudarthrose). Frakturen, die die Wachstumsfuge betreffen, haben eine Reduktion des Längenwachstums zur Folge. Achsenfehlstellungen werden im Kindesalter im Verlauf des nachfolgenden Längenwachstums ausgeglichen. Beim Erwachsenen müssen Fehlstellungen unter Umständen mit einer Osteotomie korrigiert werden. Frakturen im Bereich der Gelenkflächen ziehen als Spätkomplikation eine sekundäre Arthrose nach sich. Besonders bei älteren Patienten ist eine Verzögerung der Mobilisierung mit einer erhöhten Morbidität und Mortalität verbunden (Pneumonie, Venenthrombosen und Lungenembolien, Muskelatrophie, Inaktivitätsatrophie der Knochen, Dekubitus, Harnwegsinfekte). Eine möglichst rasche Mobilisierung ist deshalb anzustreben.
Morphologie
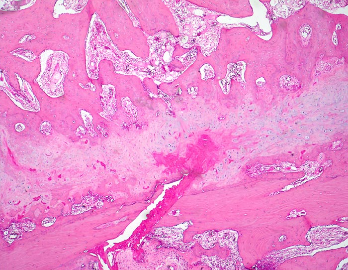
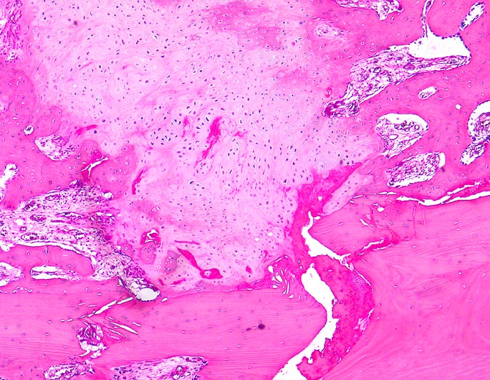
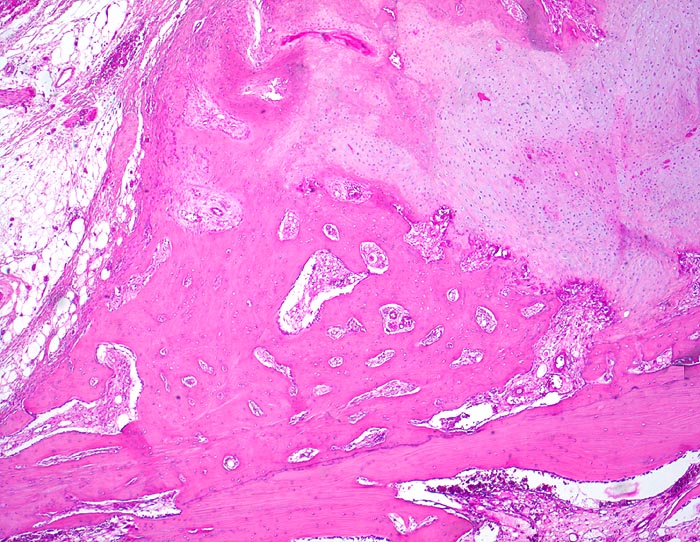
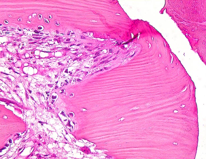
Morphologische Merkmale:
  • Verschiebung der Bruchstücke gegeneinander.
  • Über dem Frakturspalt senkrecht auf die Frakturlinie ausgerichtete Faserknochenbälkchen mit Osteoblastensaum und ausgedehnte Bezirke von neugebildetem Knorpel.
  • Devitalisierter ortsständiger Knochen mit leeren Osteozytenhöhlen angrenzend an den Frakturspalt.
  • Knochenmark zu beiden Seiten der Frakturlinie mit Markfibrose.
  • Fibrinablagerung und Knorpelneubildung im Frakturspalt.
  • Enchondrale Ossifiktation des neugebildeten Knorpels.
  • Auch entfernt von der Bruchlinie Neubildung von Knochenbälkchen im Markraum.
Das sollte der Kliniker dem Pathologen mitteilen:
  • Datum und Therapie der Fraktur.
Makroskopie
Befund
Pathologischer Befund
Normalbefund
Datum
Ersteintrag: 10.07.2019
Update: 04.02.2024