Basel 3BA FS/ Abortmaterial Frühschwangerschaft (Kurettage)

Diagnose
Abortmaterial Frühschwangerschaft (Kurettage)
Diagnose Gruppe
angeboren /genetisch/Missbildung
Differenzialdiagnose
Topographie Gruppe
Paidopathologie
Topographie
Plazenta
Einleitung
Aetiologie:
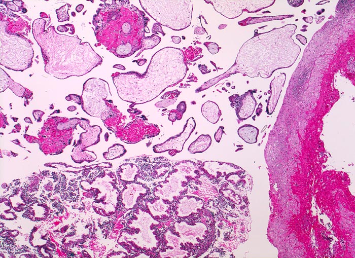
Nach Art der Histologie von Fruchtsack und Chorionzotten unterscheidet der Pathologe Plazentabildungsstörungen (Windei, Embryonalmole), Durchblutungsstörungen, Implantationsstörungen, Entzündung und Retentionszeichen. Plazentabildungsstörungen sind für rund 50% aller Spontanaborte in der 5. bis 14. Schwangerschaftswoche verantwortlich. Die häufigsten Abortursachen sind chromosomale Aberrationen (meist Trisomien), Infektionen, Koagulopathien, und pathologische Immunphänomene. Die relative Häufigkeit einer Abortursache hängt vom Schwangerschaftsalter ab. In der frühesten Schwangerschaftsphase bis zur 6. Woche überwiegen die chromosomalen Aberrationen, wohingegen im späteren Verlauf, nach der 11. Schwangerschaftswoche, vor allem Infektionen zum Abort führen.

Morphologie:
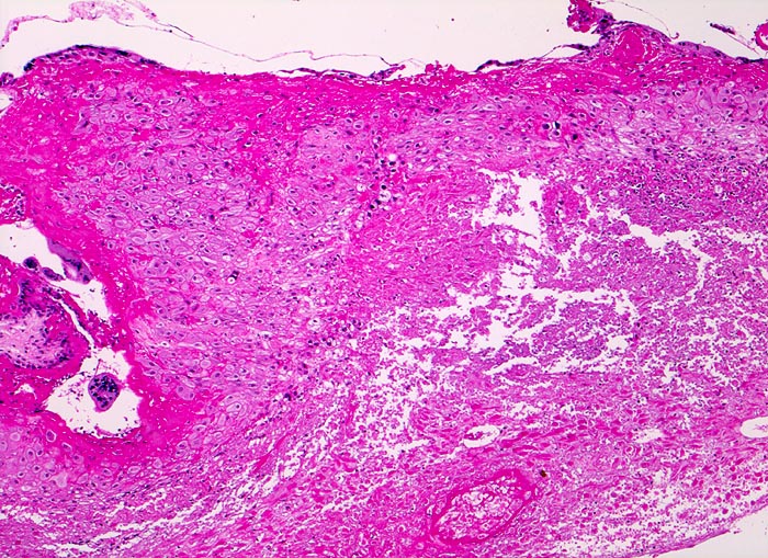
Chromosomenaberrationen verursachen nicht nur beim Feten, sondern auch an der Chorionzotte morphologisch fassbare Entwicklungsstörungen: mangelnde Verzweigungen, wandernde Trophoblastzellen im Stroma, mangelhafte Vaskularisation, hydropische Alteration des Stromas und herdförmige Atrophie oder auch Hyperplasie des Trophoblasten sind typische Befunde bei einer Chromosomenaberration. Aborte mit Triploidie zeigen in der grossen Mehrzahl das Bild einer Partialmole. Eine Tetraploidie kann das Bild einer Windmole (=Windei), einer Embryonalmole oder seltener einer Partialmole verursachen. Autosomale Trisomien können ebenfalls als Windmole oder als Embryonalmole imponieren. In nur etwa 25% aller Spontanaborte sind bei der pathomorphologischen Untersuchung ein Embryo, Embryofragmente oder ein Nabelschnuranteil nachweisbar. Die morphologische Untersuchung des Abortmaterials stellt eine wichtige Ergänzung zu den klinischen Befunden dar.

Anmerkung:
Beim ersten Abort sollte auf histologische Zeichen einer Chromosomenaberration geachtet werden. Positivenfalls sollten bei einem erneuten Abort die Weichen für eine zytogenetische Untersuchung gestellt werden. Die Wahrscheinlichkeit eines chromosomal abnormen Abortes steigt um das Doppelte, wenn bereits eine Fehlgeburt mit einer Trisomie oder Aneuploidie vorausgegangen ist und nach einem Abort mit einer Trisomie, gleichgültig welches Chromosom betroffen ist, liegt das Risiko für die Geburt eines lebenden Kindes mit Trisomie 21 zehnmal höher als in der Allgemeinbevölkerung. Aborte mit normalem Chromosomensatz zeigen meist auch im Wiederholungsfall einen normalen Chromosomensatz. Die histologische Untersuchung des Abortmaterials hilft deshalb bei der gezielten Indikationsstellung für weitergehende aufwändige zytogenetische Abklärungen bei den Eltern bzw. am Abortmaterial. Eine Abgrenzung der Partialmole ist klinisch von Bedeutung, da die Partialmole, wenn auch selten (ca. 5%), in eine invasive Mole, eine metastasierende Mole oder in ein Chorionkarzinom (Einzelfälle) übergehen kann. Eine Verlaufsbeobachtung der beta-HCG Werte ist deshalb nicht nur bei einer kompletten Mole, sondern auch bei einer Partialmole angezeigt.
Klinik
Vorkommen:
Nur etwa 50% der befruchteten Zygoten überleben, und sind durch hochsensitive Schwangerschaftstests als solche überhaupt detektierbar. Von diesen implantieren lediglich weitere 50%, und von den tatsächlich implantierten Schwangerschaften enden wiederum 15% im Abort. Einteilung:
Da die kritische Entwicklungsphase des Embryos bereits nach der 8. Entwicklungswoche (10. SSW) abgeschlossen ist, unterscheidet man Frühaborte bis 10. Schwangerschaftswoche und Spätaborte nach der 10. Schwangerschaftswoche. Fetale Aborte bezeichnen Fehlgeburten ab der 15. Schwangerschaftswoche, wobei das Gewicht des intrauterin abgestorbenen Feten unter 500 Gramm liegt.
Klinisch unterscheidet man den drohenden Abort (Abortus imminens), den beginnenden Abort (Abortus incipiens), den inkompletten Abort (Abortus incompletus), den kompletten Abort (Abortus completus) und den verhaltenen Abort (missed abortion) bei nicht mehr entwicklungsfähiger oder schon abgestorbener und regressiv veränderter Schwangerschaft. Die Retention kann dabei Wochen bis Monate, selten Jahre dauern.

Diagnostik:
Aufgabe der histologischen Untersuchung des Abortmaterials ist zum einen die Bestätigung der intrauterinen Lage der Schwangerschaft zum Ausschluss einer Extrauteringravidität. Zum anderen soll die histopathologische Untersuchung soweit als möglich zur Klärung der eigentlichen Abortursache beitragen. Vor allem müssen die therapeutisch relevanten Partialmolen und kompletten Blasenmolen histologisch diagnostiziert werden. Zwar kann die histologische Untersuchung den Verdacht auf eine chromosomale Aberration erwecken, doch ist zu deren Bestätigung eine Flowzytometrie, eine Karyotypisierung, Comparative Genomische Hypridisierung oder Fluoreszenz in Situ Hybridisierung erforderlich und sinnvoll. Der Verdacht auf eine Koagulopathie soll zur Abklärung der mütterlichen Gerinnungsparameter führen. Am Paraffinmaterial ist der gezielte Nachweis einer Mutation möglich, z.B. von Faktor V Leiden.
Normalbefund
Morphologie
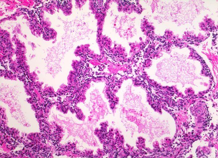
Morphologische Merkmale:
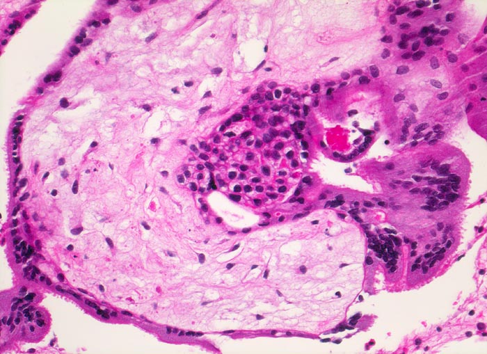
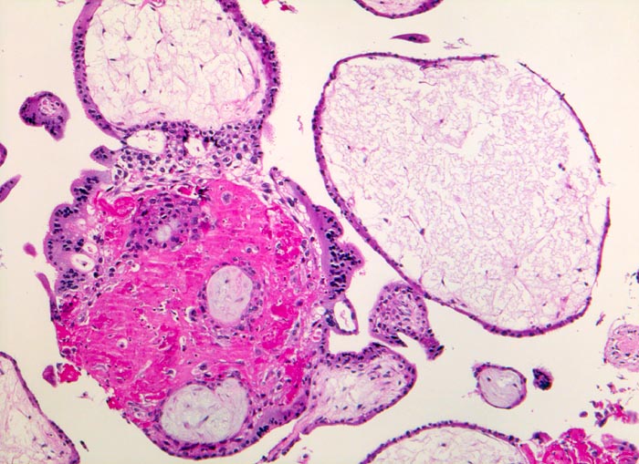
  • Vergrösserte Plazentarzotten mit hydropischem Zottenstroma.
  • Vereinzelt Zytotrophoblasteinschlüsse im Stroma.
  • Vorwiegend einschichtiges Zytotrophoblastepithel ohne Atypien und mehrkerniger Synzytiotrophoblast. Physiologische polare Trophoblastproliferate.
  • Schwangerschaftsendometrium mit hypersekretorischen sägezahnförmigen Drüsen und bizarren Kernatypien (Arias Stella Phänomen).
  • Kein Embryo.
  • Keine Anteile der Dezidua.
Das sollte der Kliniker dem Pathologen mitteilen:
  • Schwangerschaftsdauer.
  • Vorausgegangene Aborte und Geburten.
  • Verdacht auf Molenschwangerschaft.
Makroskopie
Befund
Pathologischer Befund
Normalbefund
Literatur
Datum
Ersteintrag: 01.04.2019
Update: 04.02.2024