Basel 1MA/ Osteogenesis imperfecta: Fraktur

Diagnose
Osteogenesis imperfecta: Fraktur
Diagnose Gruppe
angeboren /genetisch/Missbildung
Differenzialdiagnose
Topographie Gruppe
Knochen, Knorpel, Gelenke
Topographie
Knochen, Rippe
Einleitung
Aetiologie:
Die Osteogenesis imperfecta ist eine generalisierte Bindegewebserkrankung, die auf Störungen im Kollagenstoffwechsel zurückzuführen ist und sich vor allem am Skelettsystem manifestiert. Ätiologisch kommen unterschiedliche Störungen des Kollagenstoffwechsels in Betracht, die eine ungenügende oder fehlerhafte Biosynthese oder eine gestörte zelluläre Sekretion, besonders des Kollagen Typ I (Knochenkollagen) zur Folge haben.

Morphologie:
Histologisch charakteristisch ist eine mangelhafte oder fehlende Bildung der primären und sekundären Spongiosa mit multiplen Mikrofrakturen (bei normalen Knorpelzonen) und eine hochgradige Verminderung der desmalen Knochenbildung trotz ausreichend vorhandener oder sogar vermehrt nachweisbarer Osteoblasten. Die einzelnen Kittlinien liegen auffallend nah beieinander. Sekundär kann sich aufgrund der Mikrofrakturen eine reaktive Fibrose und (besonders bei der Osteogenesis imperfecta tarda) eine überschiessende Kallusbildung entwickeln.

update 5.9.2018
Klinik
Vorkommen:
Je nach Vererbungsmodus, Klinik und Manifestationsalter werden eine Vielzahl verschiedener, zum Teil sehr seltener Formen unterschieden. Neben einer bereits bei Geburt manifesten Form (Osteogenesis imperfecta congenita), die meist autosomal-rezessiv vererbt ist, lassen sich auch später manifest werdende Formen unterscheiden (z.B. Osteogenesis imperfecta tarda).

Symptomatik:
Das führende klinische Symptom ist eine erhöhte Knochenbrüchigkeit mit multiplen rezidivierenden Frakturen. Daraus resultieren im Jugendlichen- und Erwachsenenalter oft bizarre Deformierungen der Extremitäten mit Pseudarthrosen. Bei der kongenitalen Form treten bereits intrauterin zahlreiche Frakturen, insbesondere der langen Röhrenknochen und der Rippen auf, die eine Verkürzung der Extremitäten mit querverlaufenden Hautfalten und einen verschmälerten, instabilen, glockenförmigen Thorax zur Folge haben. Dadurch entsteht eine respiratorische Insuffizienz, die bereits kurz nach der Geburt zum Tode führt. Da im Gegensatz zur Chondrodystrophie auch die desmale Ossifikation gestört ist, finden sich dünne Schädelknochen (sog. Papierschädel), die während des Geburtsvorgangs stark deformiert oder frakturiert werden. Damit verbundene intrakranielle Blutungen können zum Tod führen. Aufgrund der generalisierten Bindegewebsschwäche finden sich häufig blaue Skleren, Inguinalhernien, eine Verschmälerung der Haut und der Gefässwände mit Zerreissungen oder Aneurysmabildung sowie eine gestörte Zahnbildung (Dentinogenesis imperfecta).

update 5.9.2018
Morphologie
Morphologische Merkmale:
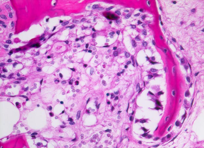
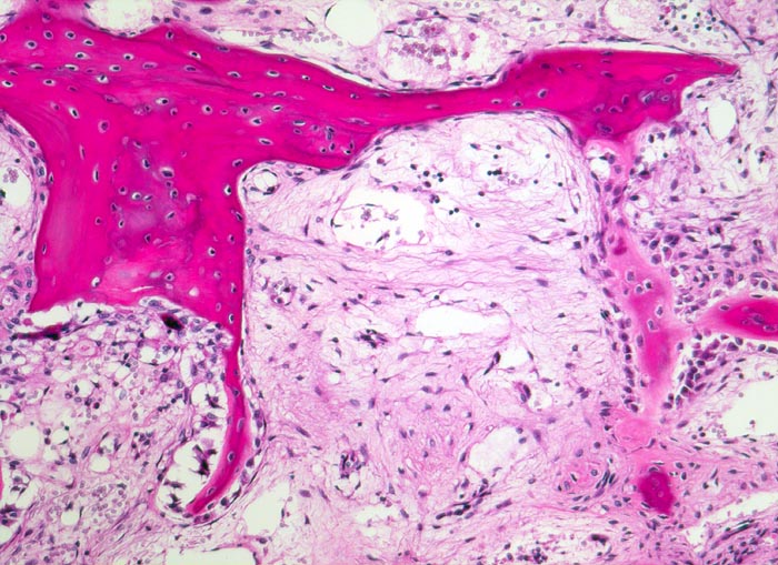
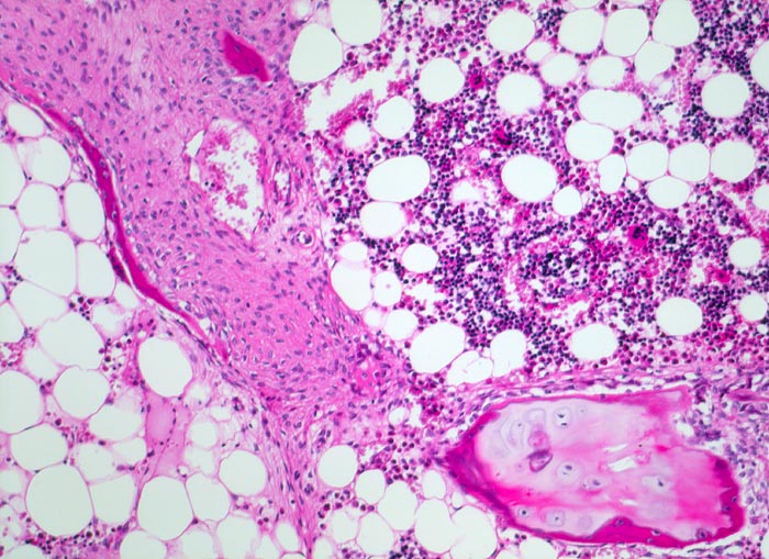
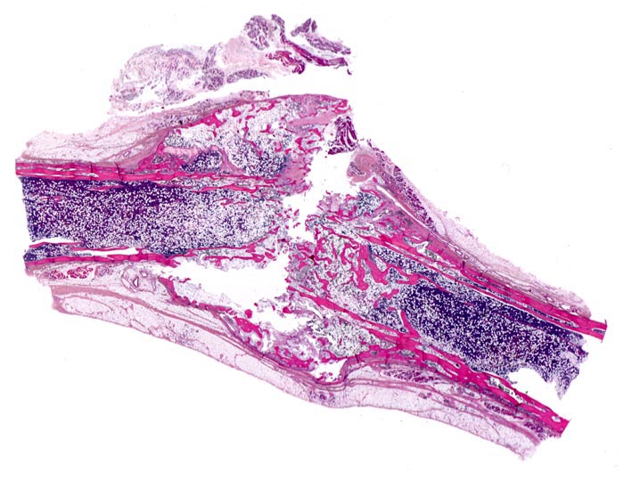
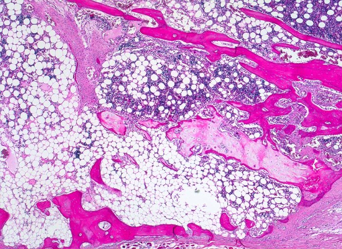
  • Alte Rippenfraktur mit dislozierten Frakturenden. Sekundäre Frakturheilung mit Ausbildung eines fibroossären Frakturkallus.
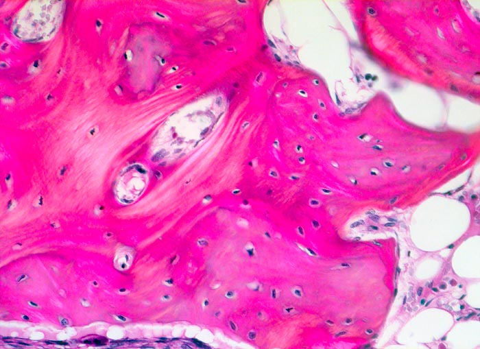
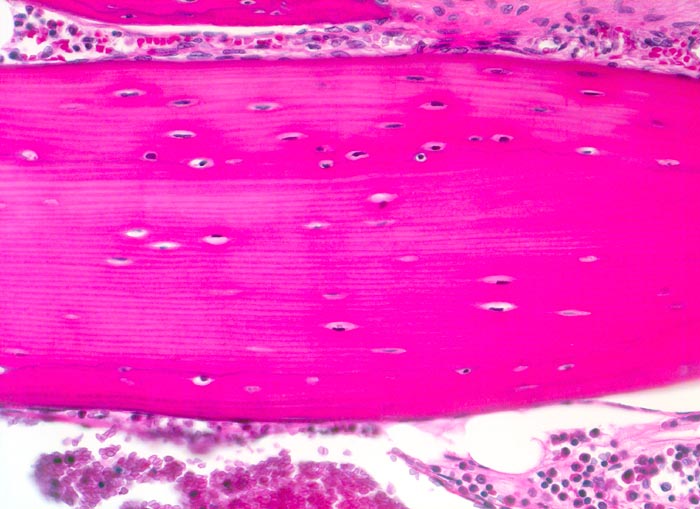
  • Extrem dünne Corticalis.
  • Spongiosa ausserhalb der Fraktur mit ausgeprägter Osteopenie.
  • Die Spongiosabälkchen sind stark verdünnt. Die Osteozyten innerhalb der Spongiosabälkchen sind eng zusammengerückt und die einzelnen Knochenlamellen sind ebenfalls verdünnt.
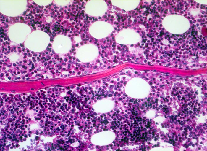
  • Alterskorreliert normozelluläres Knochenmark.
Das sollte der Kliniker dem Pathologen mitteilen:
  • Subtyp der Osteogenesis imperfecta.
Makroskopie
Befund
Pathologischer Befund
Normalbefund
Datum
Ersteintrag: 10.07.2019
Update: 04.02.2024