Einleitung
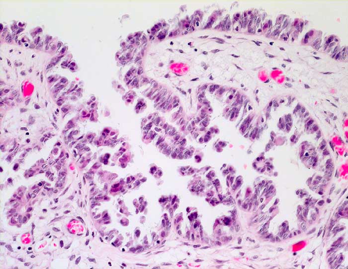
Die Zellen von serösen Zystadenomen, serösen Borderlinetumoren und serösen Karzinomen sehen sehr ähnlich aus. Sie unterscheiden sich lediglich durch eine graduelle Zunahme der Atypien, wobei der Borderlinetumor eine Zwischenstellung einnimmt. Die Epithelien sind kubisch bis niedrig zylindrisch und kommen einzeln oder in kleinen Verbänden vor. Gelegentlich bilden sie knospenförmige Proliferate, die in der Zystenflüssigkeit schwimmen. Die Kerne sind leicht vergrössert und polymorph. Einzelne Zellen können prominente Nukleolen enthalten.