g/ HSIL: schwere Dysplasie des Plattenepithels

Diagnose
HSIL: schwere Dysplasie des Plattenepithels
Diagnose Gruppe
Präneoplasie/ Atypie/ Dignität?
Differenzialdiagnose
Topographie Gruppe
Mamma
Topographie
Portio
Einleitung
Die am wenigsten differenzierten Zellen der schweren Dysplasie entsprechen dem Basalzelltyp. Die Kerne sind grösser als bei der mässigen Dysplasie. Da die Zellen gleichzeitig kleiner sind, erhöht sich die Kern-Zytoplasma Relation deutlich zu Gunsten der Kerne. Die vergrösserten Chromatingranula sind durch bandförmige Chromatinverklumpungen miteinander verbunden. Dadurch entsteht ein typisches Siebmuster. Die Kernmembran ist unregelmässig verdickt und zeigt häufig auch tiefere Einkerbungen.
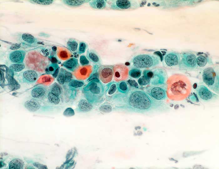
Die zytologischen Bilder stammen von zwei verschiedenen Patientinnen.
Klinik
-
Normalbefund
Morphologie
Makroskopie
Virtuelles Präparat
Befund
Pathologischer Befund
Normalbefund
Literatur
Datum
Ersteintrag: 02.04.2003
Update: 04.02.2024