Einleitung
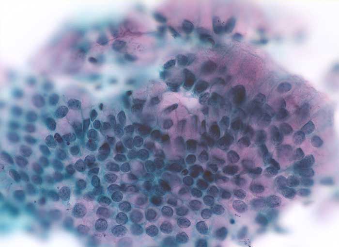
Endozervixzellen können unter Gestageneinfluss oder als Folge chronischer Reizzustände (Intrauterinpessar) Zellkernveränderungen wie beim endozervikalen Adenocarcinoma in situ ausbilden. Entsprechende klinische Angaben sind unabdingbar für die korrekte Interpretation dieser Veränderungen.