Einleitung
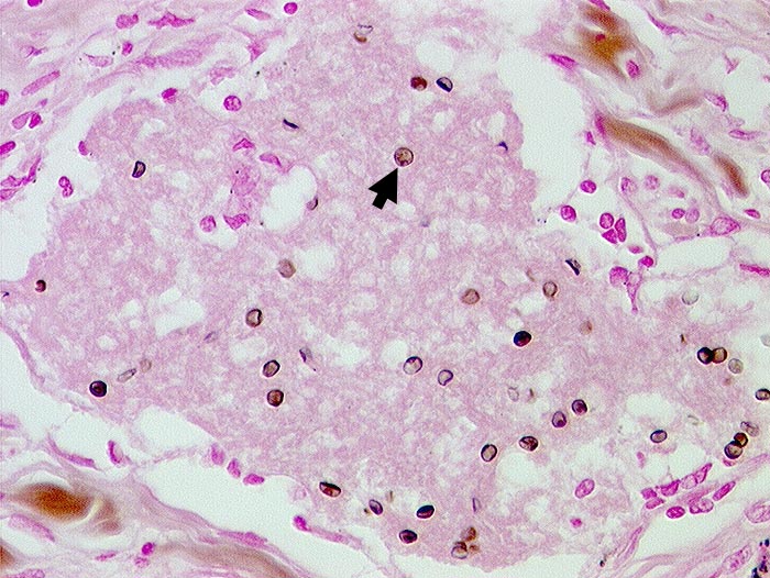
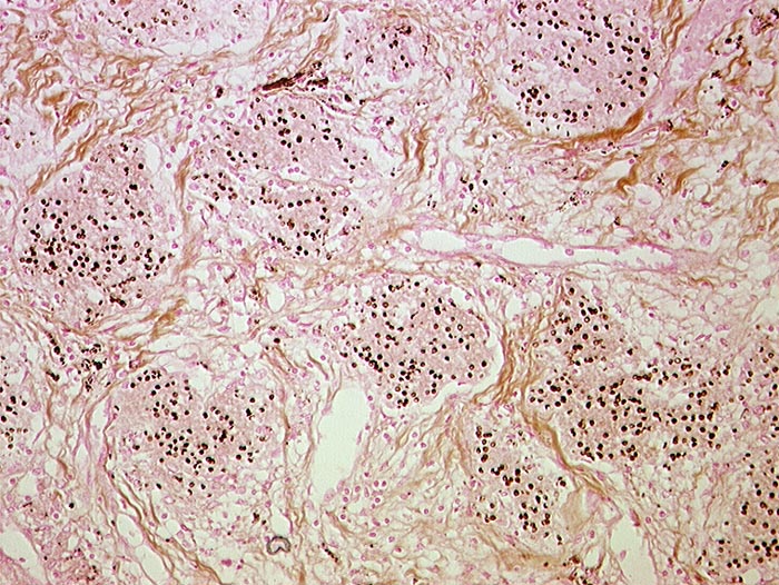
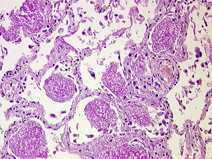
Bei Pneumocystis carinii handelt es sich um eine Pilzinfektion. Die Organismen sind in intraalveolärem schaumigem Material nachweisbar. Dieses flockig-schaumige Material färbt sich in der Papanicolaou Färbung eosinophil oder basophil. Die Erreger selbst sind in der Papanicolaou Färbung nur schlecht sichtbar. Die Zysten lassen sich aber mit der Grocott-Versilberung darstellen. Sie sind 4 bis 8 Mikrometer gross, rundoval und enthalten einen zentralen schwarzen Punkt. Die Zysten enthalten bis zu acht 0.5 bis 1 Mikrometer messende Trophozoiten.