n/ Viraler Infekt der Lunge

Diagnose
Viraler Infekt der Lunge
Diagnose Gruppe
Entzündung infektiös
Differenzialdiagnose
Topographie Gruppe
Lunge, Mediastinum mit Thymus
Topographie
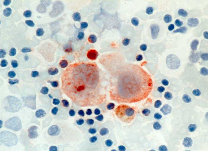
Broncho-alveoläre Lavage
Einleitung
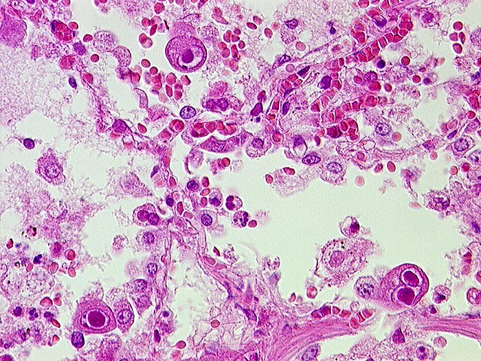
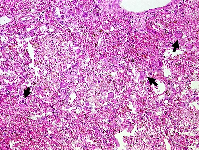
CMV-Infekt:
Das Zytomegalievirus befällt Makrophagen und Endothelzellen von immunsupprimierten Patienten. Die virusbefallenen Zellen sind deutlich vergrössert und enthalten einen grossen intranukleären Einschlusskörper, der sich durch einen schmalen hellen Zytoplasmasaum von der Kernmembran abhebt (Eulenaugenzellen). Die bis zu 1 Mikrometer grossen zytoplasmatischen Einschlusskörper konzentrieren sich meist im paranukleären Zytoplasma. Der Ausstrichhintergrund in der BAL ist oft sauber, da aufgrund der Immunsuppression eine entzündliche Reaktion fehlt.


Herpes Infekt:
Herpes simplex Viren befallen Plattenepithelien. Sie führen zu typischen milchglasartigen zytoplasmatischen und nukleären Einschlusskörpern in den teils mehrkernigen Plattenepithelzellen. Das Kernchromatin ist in kleinen Klumpen entlang der Kernmembran angeordnet.
Klinik
-
Normalbefund
Morphologie
Makroskopie
Virtuelles Präparat
Befund
Pathologischer Befund
Normalbefund
Literatur
Datum
Ersteintrag: 15.04.2003
Update: 04.02.2024