p/ Adenoidzystisches Karzinom der Haut

Diagnose
Adenoidzystisches Karzinom der Haut
Diagnose Gruppe
maligner Tumor
Differenzialdiagnose
Topographie Gruppe
Haut
Topographie
Haut, Kopf
Einleitung
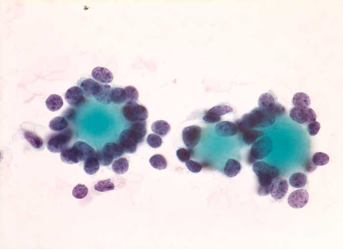
Das zytologische Bild ist täuschend bland. Die Tumorzellen sind klein und monomorph, die Kern-Zytoplasmarelation ist hoch. Die Kerne sind dunkel, rund bis oval oder angulär und enthalten bisweilen einen kleinen Nukleolus. Typisch sind azelluläre Matrixkerne, um die die Tumorzellen angeordnet sind.
Klinik
-
Normalbefund
Morphologie
Makroskopie
Virtuelles Präparat
Befund
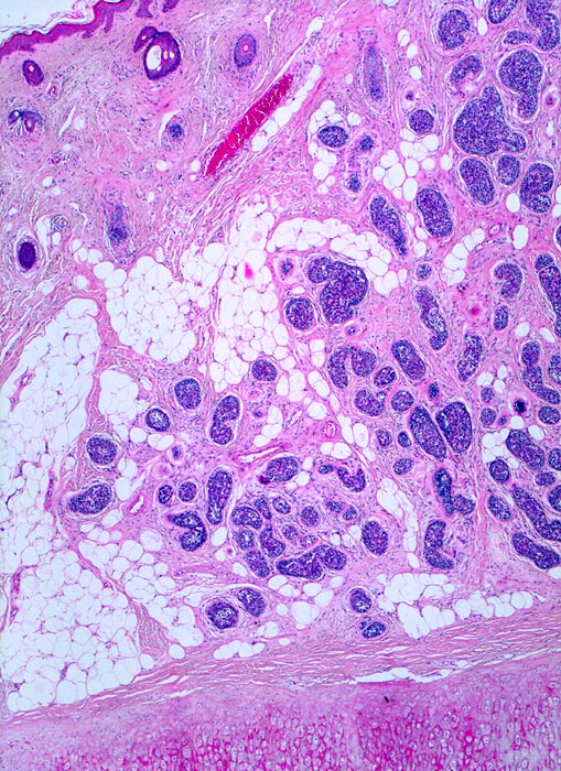
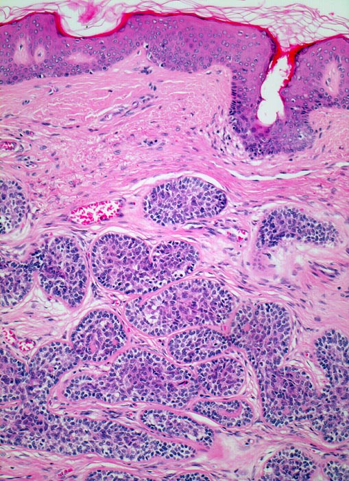
Pathologischer Befund
Normalbefund
Literatur
Datum
Ersteintrag: 01.04.2003
Update: 04.02.2024