Einleitung
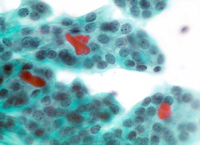
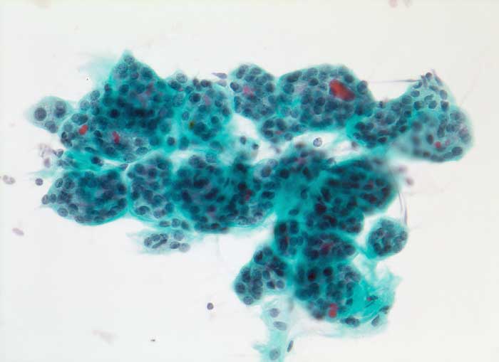
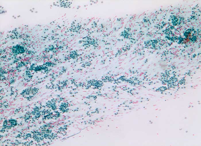
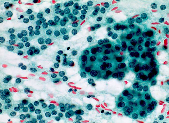
Punktate aus mikrofollikulären oder trabekulären Adenomen sind zellreich und kolloidarm. Die Thyreozyten bilden oft Mikrofollikel oder kleine Rosetten, die eosinophile Kolloidtropfen umschliessen. Die Kerne sind gleichförmig rund, fein granuliert und zeigen keine Atypien. Gelegentlich finden sich regressive Veränderungen. Zytologisch sind follikuläre Adenome und hoch differenzierte follikuläre Karzinome nur schwer zu unterscheiden. Aus diesem Grund werden beide Läsionen mit dem Begriff "follikuläre Neoplasie" bezeichnet. Unten sind zwei Beispiele von mikrofollikulären Adenomen abgebildet.