l/
HS Quotient (CD4:CD8)
Diagnose
HS Quotient (CD4:CD8)
Einleitung
HS Quotient (CD4:CD8)
- Anfärbung:
- Zellmembran
- Reaktion im Normalgewebe:
- CD4: Expression in T-Helferzellen, Monozyten/Makrophagen und Langerhanszellen. Keine Expression in B Lymphozyten.
CD8: Expression in T-Supressor und zytotoxischen Zellen und in natürlichen Killerzellen.
- Diagnostischer Nutzen:
- Die Bestimmung des Verhältnisses von T-Helfer zu T-Supressorzellen (HS Quotient) in der bronchoalveolären Lavage erlaubt eine Aussage zur möglichen Ätiologie einer Lymphozytose in der BAL.
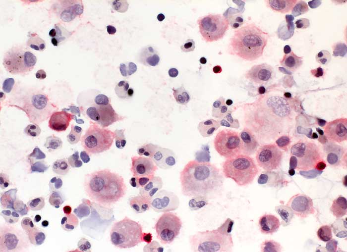
Bei aktiver Sarkoidose ist der HS Quotient grösser als 2. Unter der Vorraussetzung anderer unterstützender Befunde (insbesondere bildgebender Verfahren), kann bei einem Quotienten von über 3.5 eine aktive Sarkoidose als sicher angenommen werden, nicht selten liegen die Werte über 10:1. Bei 90% aller Patienten mit aktiver oder chronischer Sarkoidose liegt eine Lymphozytose mit einem erhöhten HS Quotienten vor.
Auch andere granulomatöse Erkrankungen wie die Tuberkulose können zu einer (meist nur geringen)Erhöhung des HS Quotienten führen.
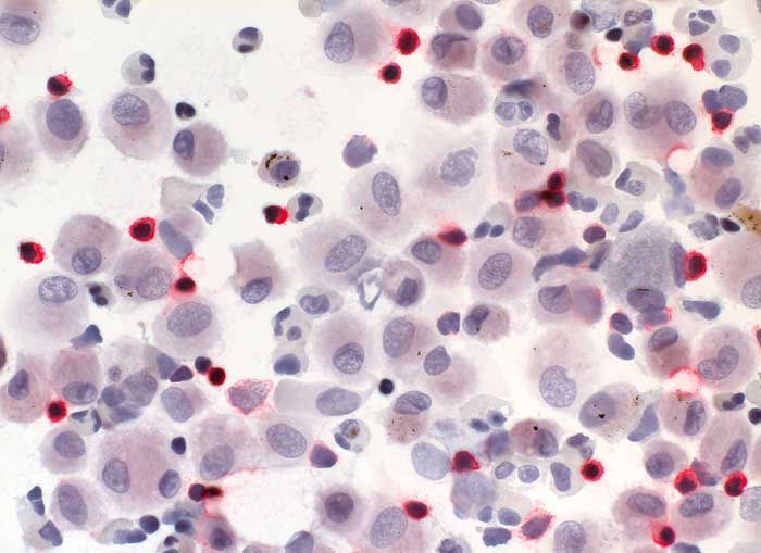
Die exogen-allergische Alveolitis und die Bronchiolitis obliterans sind umgekehrt durch einen erniedrigten HS Quotienten (<0.5) gekennzeichnet.
Aufgrund der infektbedingten Zerstörung der T-Helferzellen bei HIV Patienten ist die Interpretation des HS Quotienten bei dieser Erkrankung schwierig.
Unten werden der HS- Quotient bei einer Hypersensitivitätspneumonie (erster Fall) und bei einer Sarkoidose (zweiter Fall) gezeigt.
Befund
Pathologischer Befund
Normalbefund
Datum
Ersteintrag: 13.04.2003
Update: 04.02.2024