pit/ Typisches Karzinoid der Lunge

Diagnose
Typisches Karzinoid der Lunge
Diagnose Gruppe
maligner Tumor
Differenzialdiagnose
Topographie Gruppe
Lunge, Mediastinum mit Thymus
Topographie
Bronchialbürste, Zytologie
Einleitung
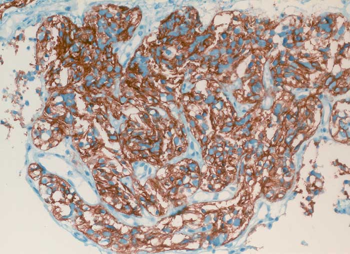
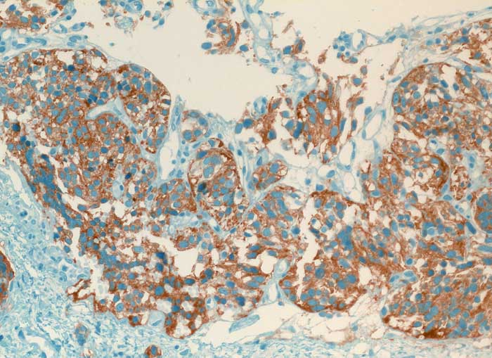
Die Diagnose hoch differenzierter neuroendokriner Tumoren ist schwierig, da ihre Oberfläche meist von Bronchialschleimhaut oder Bronchialepithel bedeckt ist und sie deswegen kaum Zellen abschilfern. Ausserdem sind die Atypien sehr diskret. Die Zellkerne sind rundlich bis oval, glatt begrenzt, fein granuliert und haben grosse Ähnlichkeit mit den Kernen von Flimmerzellen. Ohne Kenntnisse des klinischen Befundes sind Karzinoidzellen deshalb kaum von Basal- und Flimmerzellen zu unterscheiden. Der Zytoplasmasaum ist schmal und zerfällt leicht. Solche nackt liegenden Kerne können mit einem Lymphom verwechselt werden. Das typische Karzinoid hat eine sehr gute Prognose, kann aber in seltenen Fällen metastasieren. Die Unterscheidung von typischem und atypischem Karzinoid erfolgt am histologischen Schnitt durch Nachweis von Nekrosen und mehr als 3 bis 10 Mitosen pro HPF bei letzterem.
Klinik
-
Normalbefund
Morphologie
Makroskopie
Virtuelles Präparat
Befund
Pathologischer Befund
Normalbefund
Literatur
Datum
Ersteintrag: 01.04.2003
Update: 04.02.2024