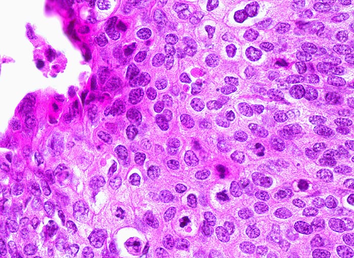
AP/ Carcinoma in situ der Portio (CIN III)

Diagnose
Carcinoma in situ der Portio (CIN III)
Diagnose Gruppe
Präneoplasie/ Atypie/ Dignität?
Differenzialdiagnose
Topographie Gruppe
Mamma
Topographie
Portio
Einleitung
-
Klinik
-
Normalbefund
Morphologie
-
Makroskopie
Virtuelles Präparat
Befund
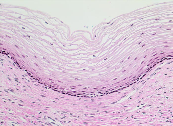
Pathologischer Befund
Normalbefund
Literatur
Datum
Ersteintrag: 13.11.2008
Update: 04.02.2024