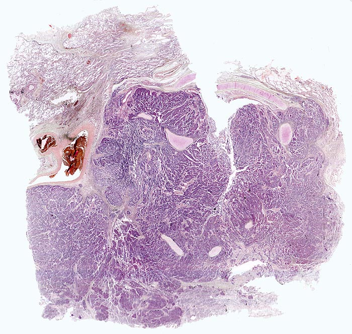
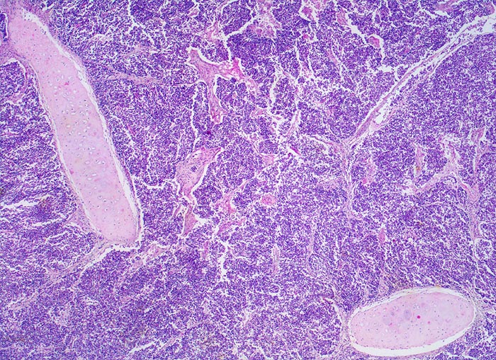
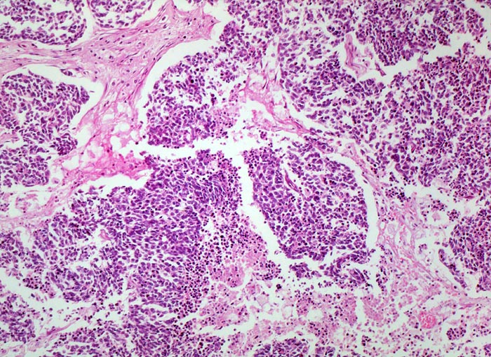
Morphologie: Kleinzellige Karzinome entwickeln sich bevorzugt zentral.
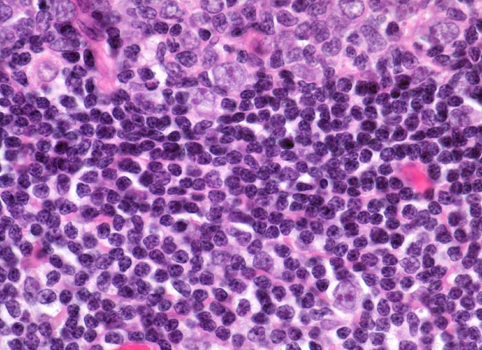
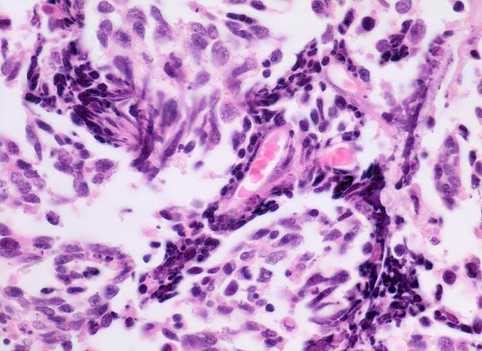
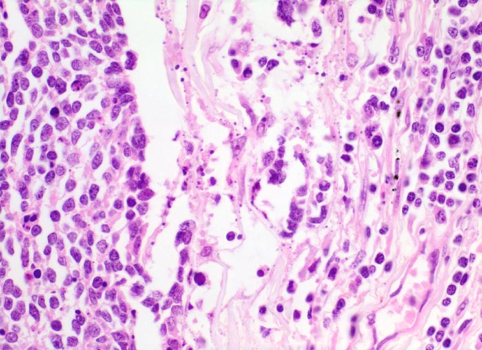
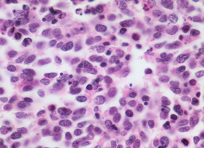
Die monomorphen rundlichen, fusiformen oder polygonalen Tumorzellen haben sehr wenig Zytoplasma, die Kerne sind hyperchromatisch und Nukleolen sind kaum zu erkennen. Die Tumorzellen bilden lockere Verbände, bandförmige Anordnungen oder Pseudorosetten um Gefässe. Oftmals zeigen die Tumoren in der Biopsie charakteristische Quetschartefakte. Ein histologisches Grading wird im Gegensatz zu den nicht kleinzelligen Karzinomen nicht vorgenommen. An kleinen Biopsien kann die morphologische Unterscheidung eines kleinzelligen Karzinoms von einem Lymphom bzw. von normalem lymphatischem Gewebe schwierig sein ( 1101). Diese Unterscheidung gelingt aber meist problemlos mit Hilfe einer immunhistochemischen Zusatzuntersuchung ( 1100).
Klinik
Vorkommen:
Kleinzellige Karzinome kommen allein oder zu etwa 20% auch in Kombination mit nicht kleinzelligen Karzinomen vor.
Symptomatik:
Das Staging beschränkt sich auf eine Einteilung in limited (30%) und extensive disease. Im Stadium der limited disease sind die Karzinome auf einen Hemithorax und regionäre Lymphknoten beschränkt.
Aus klinischer Sicht sind drei Eigenschaften des kleinzelligen Karzinoms wichtig:
Paraneoplastische Syndrome (u.a. Schwartz-Bartter Syndrom, Cushing Syndrom) sind häufig
Die meisten Patienten entwickeln rasch Symptome. Bei der initialen Abklärung weisen die Hälfte bis zwei Drittel der Patienten Metastasen ausserhalb des initial befallenen Hemithorax auf.
Prognose:
Unbehandelt führt die Erkrankung innert Wochen zum Tode. Die Gesamtremissionsrate beträgt mit den heute üblichen Kombinationschemotherapien 80%, davon sind 30% Vollremissionen. Die mittlere Überlebenszeit der therapierten Patienten beträgt ein Jahr. Nur gerade 5-10% aller Patienten überleben länger als zwei Jahre. Die kombinierte Radiochemotherapie bringt die besten Resultate allerdings zum Preis einer höhren Toxizität, so dass diese Therapie nur bei jüngeren Patienten in gutem Allgemeinzustand angewandt werden kann. 40% dieser kombiniert behandelten Patienten überleben länger als 2 Jahre.