AP/ Disseminierte intravasale Gerinnung

Diagnose
Disseminierte intravasale Gerinnung
Diagnose Gruppe
vaskulär / Durchblutungsstörung
Differenzialdiagnose
  • Thrombotische Mikroangiopathien:- Thrombotisch thrombozytopenische Purpura- Hämolytisch urämisches Syndrom
Topographie Gruppe
Niere, Harnwege
Topographie
Niere
Einleitung
Definition:
Erworbenes Syndrom gekennzeichnet durch eine disseminierte intravasale Gerinnungsaktivierung und Fibrinablagerungen, welche je nach Ausmass bis zu Multiorganversagen führen kann. Die DIG tritt im Rahmen definierter klinischer Situationen auf und weist bestimmte laborchemische Merkmale auf.
Eine disseminierte intravasale Gerinnung (DIG oder DIC von disseminated intravascular coagulation) kann durch verschiedene Grunderkrankungen ausgelöst werden, welche über einen oder multiple Wege die Gerinnungskaskade aktivieren. Meistens geschieht dies über den extrinsischen Weg mit Exposition von Gewebefaktor gegenüber Blut. Das dadurch entstehende Übergewicht an prokoagulatorischen Faktoren bewirkt eine vermehrte Thrombinbildung, die ihrerseits die plasmatische Gerinnungskaskade in Gang setzt, Thrombozyten aktiviert und zu einer disseminierten Bildung von Mikrothromben in der Mikrozirkulation führt. Neben einer Gesamtaktivierung des Gerinnungssystems wird in der DIC auch der fibrinolytische Weg aktiviert. Die dabei entstehenden Fibrinogen-und Fibrin-Spaltsprodukte entwickeln ihrerseits eine antikoagulatorische Aktivität, die zur Blutungsneigung beiträgt. Dies erklärt, warum im Rahmen einer DIG neben Thrombosen auch Blutungen auftreten können.
 
 Aetiologie:
 
 Häufige mögliche Auslöser einer DIG:

·         Infektionen, insbesondere septische Verläufe vor allem mit Gram negativen Organismen
·         Maligne Tumoren (z.B. Adenokarzinome des Pankreas und der Prostata, akute Promyelozytenleukämie)
·         Polytraumata und protrahierte Schockzustände (ischämischer Gewebeschaden)
·         Geburtshilfliche Komplikationen durch Kontakt von Plazentargewebe mit Gewebsfaktoraktivität mit dem mütterlichen Kreislauf (z.B. vorzeitige Plazentalösung, induzierte Aborte, intrauteriner Fruchttod)

In der gesamten Mikrozirkulation werden Fibrinthromben (hyaline Mikrothromben) (> 109) gebildet, die zu Mikroinfarkten und Organversagen führen können. Sekundär kommt es zur Aktivierung der Fibrinolyse. Der Verbrauch von Gerinnungsfaktoren und Thrombozyten in der Kreislaufperipherie verursacht sekundär eine hämostatische Insuffizienz mit erhöhter Blutungsneigung. 

 Anmerkung:
Bei einer thrombotischen Mikroangiopathie (thrombotisch thrombozytopenische Purpura / hämolytisch urämisches Syndrom) werden ebenfalls Fibrinthromben in der Mikrozirkulation abgelagert. Für eine korrekte Diagnose ist deshalb die Korrelation mit klinischen Befunden notwendig. 
 
update 2. September 2022

Klinik
Vorkommen:
Eine DIG kommt bei bis zu 1 % aber hospitalisierten Patienten vor. 

Symptomatik:
Eine DIG sollte differenzialdiagnostisch immer dann in Betracht gezogen werden, wenn es im Rahmen oben genannter Grunderkrankungen zum Auftreten einer Thrombozytopenie, einer Blutungsneigung oder von Thrombosen kommt. Eine DIG kann sich unterschiedlich manifestieren. Halten sich prokoagulatorische Signale und fibrinolytische Aktivität die Waage, kommt es bei intensivem Stimulus zu einem ausgeprägten Verbrauch aller beteiligten Komponenten und damit zu einer ausgeprägten Blutungsneigung. Überwiegt die fibrinolytische Komponente, ergibt sich in der Regel eine leichte bis mittlere Blutungsneigung. Überwiegt die prokoagulatorische Komponente, führt dies zu vermehrten Mikrothromben und damit zur Verschlechterung der Organfunktionen bzw. Multiorganversagen. 

Es können verschiedene Verlaufsformen von chronisch kompensiert, subklinisch bis fudroyant lebensbedrohlich beobachtet werden. Bei einer chronischen kompensierten DIG halten sich die Syntheserate der Leber von Gerinnungsfaktoren und die Freisetzungsrate von Thrombozyten aus dem Knochenmark die Waage mit dem Verbrauch dieser Komponenten. Bei milden Formen sind lediglich veränderte Laborparameter nachweisbar oder eine leichte hämorrhagische Diathese. 

Die klinisch akut auftretende DIG präsentiert sich sehr häufig mit einer relevanten Blutung. Bei schweren Fällen besteht eine massive hämorrhagische Diathese mit Haut- und Schleimhautblutungen, Hämatomen, Nachblutungen aus Stichkanälen, GI-Blutungen, Nierenblutungen und intrazerebralen Blutungen. Gleichzeitig können multiple Mikrothrombosen zu irreversiblen Organschäden führen: akutes Nierenversagen, ARDS (adult respiratory distress syndrome), akutes Leberversagen. Dies erklärt sich einerseits aus der Aktivierung der Fibrinolyse, andererseits aus dem Verbrauch an Gerinnungsfaktoren, wobei der Verbrauch von Gerinnungsfaktoren und Thrombozyten die Syntheserate der Leber und die Freisetzungsrate des Knochenmarks übersteigt. Nach Erschöpfung der Kompensationsfähigkeit des Gesamtsystems aus Prokoagulation und Fibrinolyse läuft ein kontinuierlicher, an Intensität rasch zunehmender Prozess ab. 

Diagnostik:
Voraussetzung für die Diagnose einer DIG sind das Vorliegen einer auslösenden Grunderkrankung und bestimmte Labormerkmale. Die Diagnose kann vermutet werden bei erhöhter Blutungs- bzw. Gerinnungsneigung bei einem Patienten mit einer entsprechenden Grunderkrankung. 

Typische Veränderungen im Rahmen einer DIG sind:

·        Neues Auftreten einer Blutungsneigung
·        Sich verschlechternde Organfunktionen vor allem renal, pulmonal und hepatisch, später auch kardial
·        Thrombozytopenie
·        Erniedrigung von Quick-Wert, Fibrinogen, Antithrombin, anderen Gerinnungsfaktoren
·        Erhöhung von INR, aPTT, D-Dimer

Um eine DIG zu identifizieren werden in der Praxis verschiedene, teils erkrankungsspezifische Scores angewendet (z.B. Sepsis-induced coagulopathy (SIC)-Score). 

 Therapie:

·        Identifikation der zugrundeliegenden Erkrankung
·        Behandlung der zugrundeliegenden Erkrankung
·        Hämostaseologische Therapie (z.B. Blutprodukte (z.B. Fresh Frozen Plasma) zum Ersatz verlorener Prokoagulanzien, Heparin zur Blockade der Thrombinbildung) zur Zeitgewinnung, um die suffiziente Behandlung der zugrundeliegenden Erkrankung zu ermöglichen
·        Hemmung des Gewebefaktors als Auslöser der Thrombinbildung und Modulation der inflammatorischen Reaktion, welche ihrerseits zur Gerinnungsaktivierung beiträgt 
·        Engmaschige Überwachung der Behandlung (hohe Dynamik!)

update 2. September 2022

Normalbefund
Morphologie
Morphologische Merkmale: 
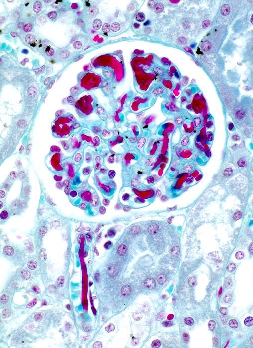
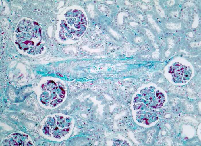
  • Rote Fibrinthromben in Kapillarschlingen der Glomerula, Vas afferens und efferens, peritubulären Kapillaren. Das sollte der Kliniker dem Pathologen mitteilen: 
  • Grunderkrankung, die zu DIC führen kann. 
  • Gerinnungsstörung (Blutungstendenz, Thrombosen, Organdysfunktion, veränderte Gerinnungsparameter). 
Makroskopie
Befund
Pathologischer Befund
Normalbefund
Datum
Ersteintrag: 10.07.2019
Update: 04.02.2024