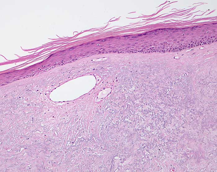
AP/ Chronische Radiodermatitis

Diagnose
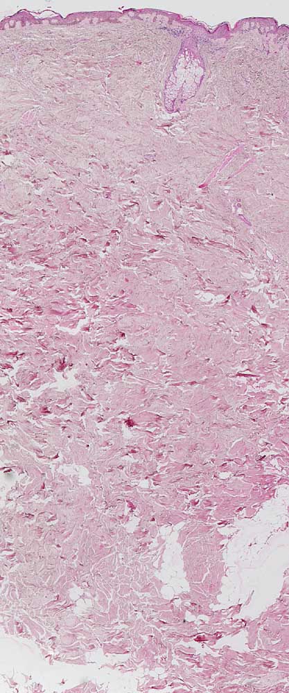
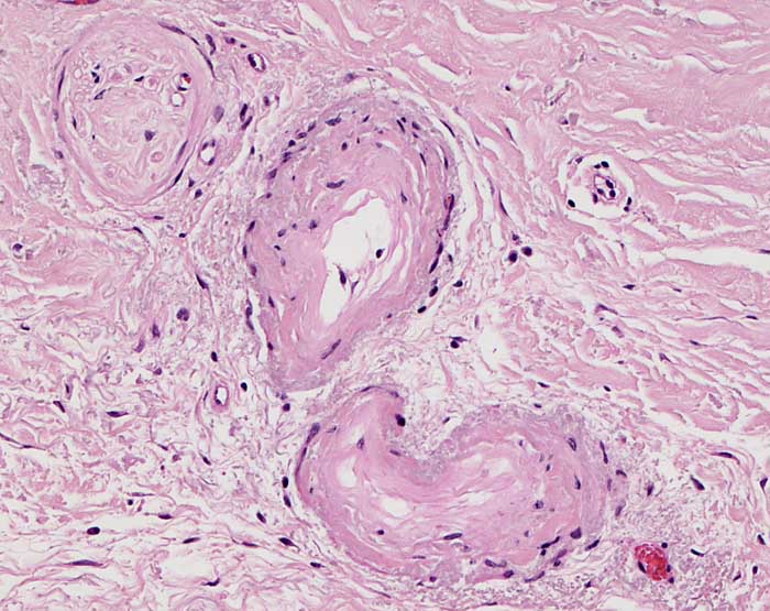
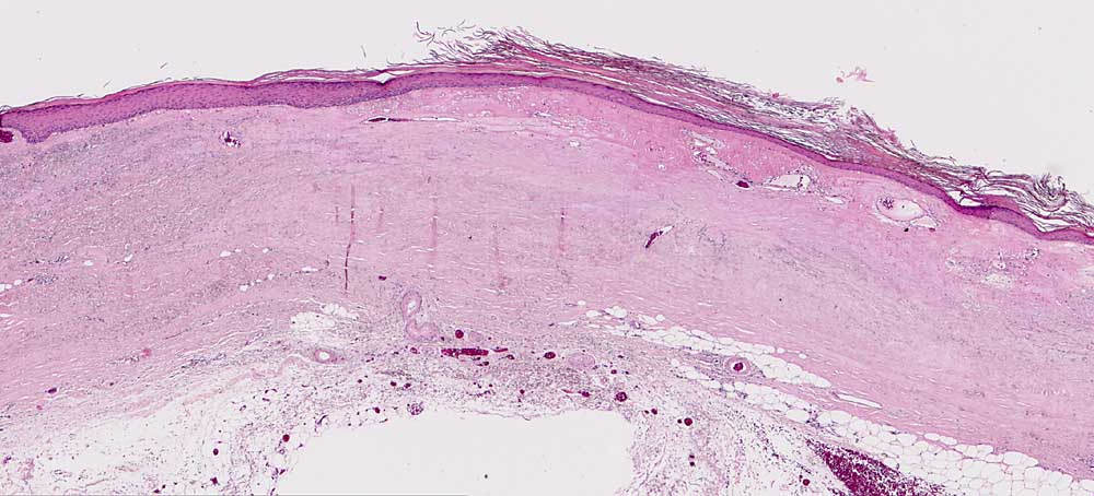
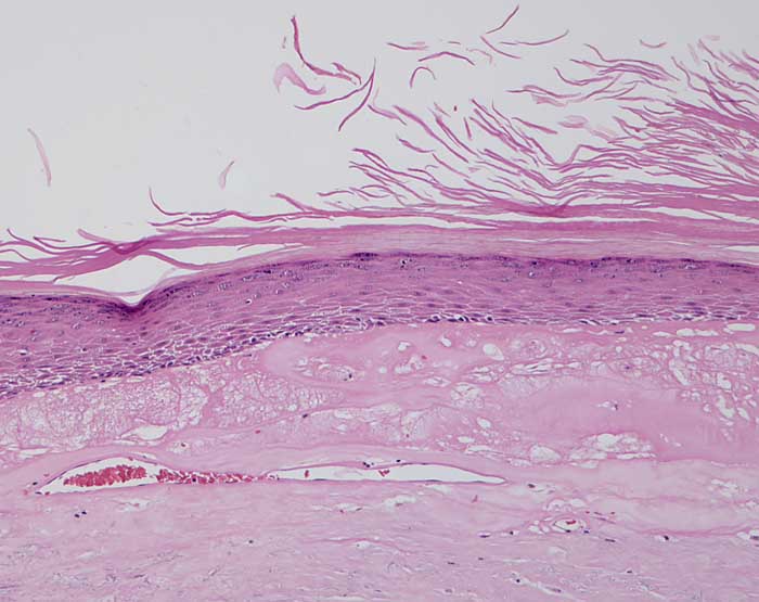
Chronische Radiodermatitis
Diagnose Gruppe
Therapiefolgen
Differenzialdiagnose
Topographie Gruppe
Haut
Topographie
Haut, Rumpf
Einleitung
-
Klinik
-
Normalbefund
Morphologie
-
Makroskopie
Virtuelles Präparat
Befund
Pathologischer Befund
Normalbefund
Literatur
Datum
Ersteintrag: 09.02.2004
Update: 04.02.2024