AP/ Molluscum contagiosum

Diagnose
Molluscum contagiosum
Diagnose Gruppe
Entzündung infektiös
Differenzialdiagnose
Topographie Gruppe
Haut
Topographie
Haut, Anus
Einleitung
Aetiologie:
Das Molluscum contagiosum (=Dellwarze) ist eine virale Hauterkrankung, welche durch ein unklassifiziertes Virus der Poxviridae Gruppe hervorgerufen wird. Mit einem Durchmesser von 240 bis 320nm handelt es sich um eines der grössten humanpathogenen Viren. Das Virus infiziert ausschliesslich die Epidermis. Die Infektion wird durch direkten Kontakt oder über kontaminiertes Material wie Handtücher übertragen. Das Virus induziert selten eine Antikörperbildung. Reinfektionen sind deshalb nicht selten.

Lokalisation:
Prädilektionsstellen sind Gesicht, Rumpf und Extremitäten bei Kindern, Leiste und Genitalien bei Erwachsenen.

Morphologie:
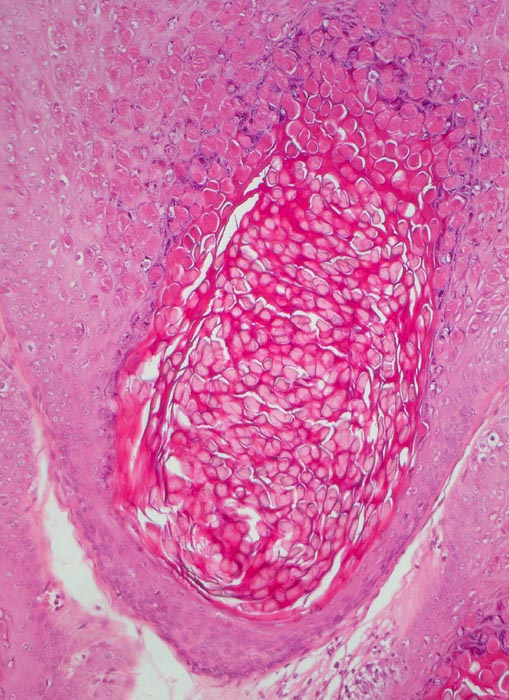
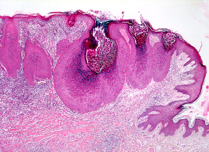
Dellwarzen imponieren als schmerzlose oder juckende fleischfarbene Knötchen mit einem zentralen Nabel (Delle). Sie treten einzeln oder multipel auf (meist nicht mehr als 20). Der Durchmesser beträgt meist 2-6mm, selten bis zu 3cm. Eine bakterielle Superinfektion der Läsionen mit Pustelbildung und Erythem ist möglich. Die Epidermis ist akanthotisch und kann bis zu 6 mal dicker sein als normal. Die Basalzellen sind etwas vergrössert und hochprismatischer. Das Molluscum Körperchen ist das Ergebnis einer viral induzierten Zytoplasmareaktion. Die multiplen intrazytoplasmatischen Einschlüsse enthalten Viruspartikel. Die Viruspartikel werden grösser in Richtung Granularzellschicht und verdrängen den Zellkern zur Seite. Die Dermis unterhalb des infizierten Molluscum Körperchens ist abgesehen von gelegentlich nachweisbaren Entzündungszellen unauffällig.
Klinik
Vorkommen:
Das Molluscum contagiosum macht bei uns gegen 1% der diagnostizierten Hautläsionen aus. Die Infektion erfolgt in allen Altersklassen. Am höchsten ist die Inzidenz bei Kindern unter 5 Jahren und bei jungen Erwachsenen.

Risikofaktoren:
Armut, Überbevölkerung und schlechte Hygiene führen zu hohen Inzidenzen in Drittweltländern. Gehäuft tritt die Infektion bei Kindern mit atopischer Diathese, bei HIV-Infizierten und Patienten unter Prednison oder Methotrexat Therapie auf.

Diagnostik:
In unklaren Fällen ist eine Biopsie zur Diagnosesicherung empfehlenswert.

Therapie:
Die Warzen werden kryotherapiert oder curettiert. Antivirale Medikamente werden nur bei immunkompromittierten Patienten angewendet.

Prognose:
Die Erkrankung ist in der Regel selbstlimitiert und hat eine sehr gute Prognose. Die Warzen können zwischen 2 Wochen und 4 Jahren persistieren. Rezidive können in bis zu 35% der Fälle auftreten.
Normalbefund
Morphologie
Morphologische Merkmale:
  • Akanthose und Papillomatose der Epidermis.
  • Kugelige eosinophile intrazytoplasmatische Einschlüsse in Zellen von Stratum granulosum und Stratum corneum.
Makroskopie
Virtuelles Präparat
Befund
Pathologischer Befund
Normalbefund
Datum
Ersteintrag: 17.11.2018
Update: 04.02.2024