AP/ Primäre biliäre Zirrhose im Stadium der Zirrhose

Diagnose
Primäre biliäre Zirrhose im Stadium der Zirrhose
Diagnose Gruppe
Systemerkrankung/Immunpathologie
Topographie Gruppe
Leber, Gallenwege, Pankreas
Topographie
Leber
Einleitung
Definition:
Die Primäre biliäre Zirrhose (PBC) ist eine primär chronische immunologisch bedingte nicht eitrige destruierende Cholangitis der kleinen interlobulären Gallengänge mit einem Durchmesser von 40 bis 80 Mikrometer.

Morphologie:
Die PBC betrifft die Leber ungleichmässig. Innerhalb einer Feinnadelbiopsie können verschiedene Stadien nebeneinander vorhanden sein oder im Sinne eines Trefferfehlers vollständig fehlen. Der Befund der Feinnadelbiopsie lässt deshalb nur bedingt auf das Gesamtorgan zurückschliessen. Die primär sklerosierende Cholangitis kann nur in den früheren Stadien sicher von der PBC unterschieden werden. Weitere Differentialdiagnosen zur PBC sind die Sarkoidose, eine medikamentös toxische Leberschädigung, eine chronische Hepatitis C oder idiopathische Duktopenien des Erwachsenen.

Verlauf:
Die Stadieneinteilung nach Ludwig unterscheidet vier Stadien. Im vorliegenden Fall liegt das Endstadium vor (Zirrhose).
Klinik
Vorkommen:
Die PBC betrifft zu 90% Frauen im mittleren Lebensalter (40-59 jährig). 70-80% leiden an Begleiterkrankungen wie rheumatoiden Erkrankungen oder Kollagenosen.

Symptomatik:
25% der Fälle werden zufällig anlässlich einer Leberwertkontrolle (in erster Linie erhöhte Cholestaseparameter) diagnostiziert. 65% der Patienten klagen über Müdigkeit, 55% über Pruritus und bis 17% über rechtsseitige Oberbauchbeschwerden.

Diagnostik:
Zur Bestätigung der Diagnose und zur Stadieneinteilung ist eine Leberbiopsie indiziert. Diagnostisch entscheidend ist das Vorkommen antimitochondrialer Antikörper speziell der Fraktion M2. Die Spezifität dieses Markers beträgt 98%. Etwa 5% der PBC sind jedoch AMA negativ.

Therapie:
Zur Verlangsamung der Krankheitsprogression wird in erster Linie Ursodesoxycholsäure eingesetzt. Daneben kommen immunsupressive Medikamente zur Anwendung. In fortgeschrittenen Fällen mit Zirrhose und eingeschränkter Leberfunktion ist die Indikation zur Lebertransplantation gegeben.

Prognose:
Das mittlere Überleben dauert nach Diagnosestellung 7.5 Jahre bei symptomatischen und 16 Jahre bei asymptomatischen Patienten.
Morphologie
Morphologische Merkmale:
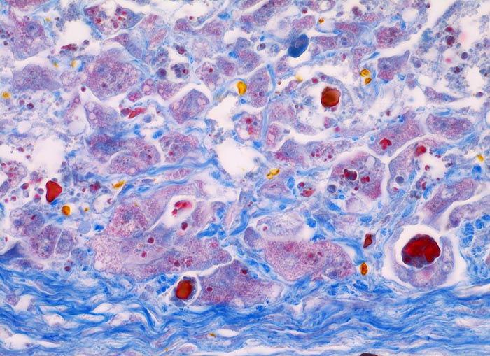
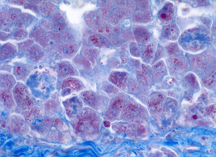
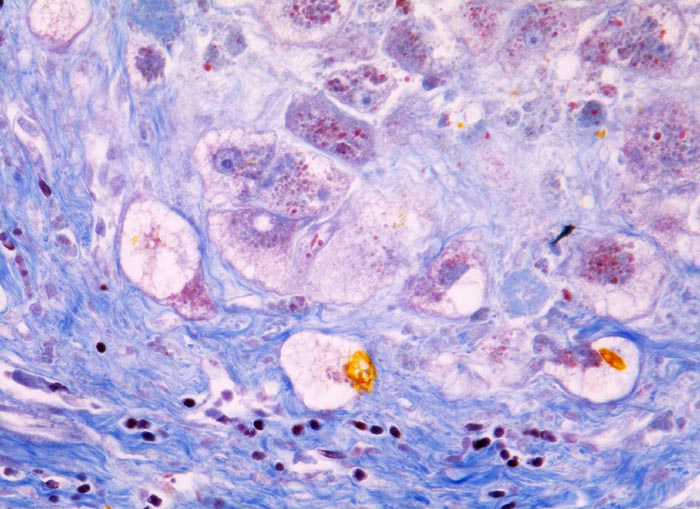
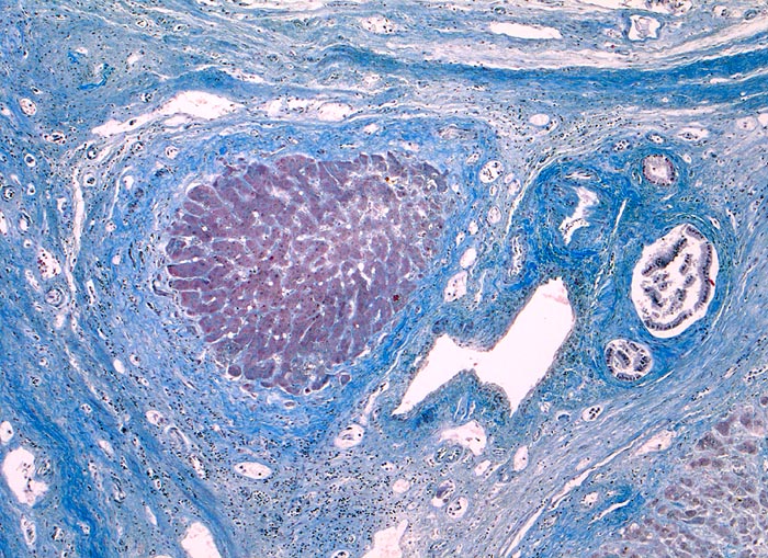
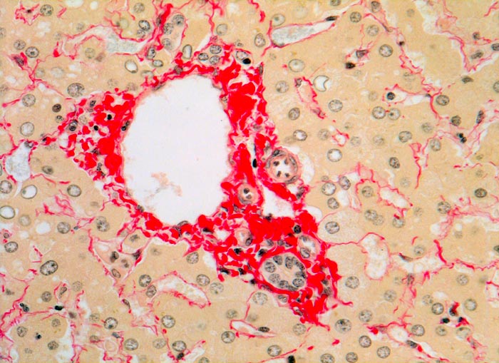
  • Feinknotiger zirrhotischer Umbau.
  • Breite Bindegewebssepten mit Duktulusproliferation.
  • Mallory Körperchen in periseptalen Hepatozyten.
  • Intrazytoplasmatische und canaliculäre Cholestase bevorzugt periseptal.
  • Ballonierung und Netzdegeneration der periseptalen Hepatozyten.
  • Fortgeschrittene Autolyse (Autopsiematerial).
Das sollte der Kliniker dem Pathologen mitteilen:
  • Antimitochondriale und antinukleäre Antikörper.
  • Leberwerte.
  • Erstbiopsie oder bekannte PBC.
Makroskopie
Befund
Pathologischer Befund
Normalbefund
Datum
Ersteintrag: 04.11.2018
Update: 04.02.2024