Definition:
Unter einem Ulkus des Magens oder des Duodenums versteht man einen von der Schleimhaut ausgehenden Substanzdefekt, der die Lamina muscularis mucosae überschreitet. Endoskopisch
wird die Diagnose eines Ulkus bei Schleimhautläsionen
von mehr als 5 mm Durchmesser gestellt.
Aetiologie:
Zwei Hauptrisikofaktoren für die Entstehung der Ulkuskrankheit gelten als etabliert: eine Infektion mit dem gram negativen Bakterium Helicobacter pylori und die medikamentöse Therapie mit Aspirin oder nichtsteroidalen Antirheumatika (NSAR). Stress, Alkohol und Gallereflux stören die Mukosabarriere des Magens und können zu gastroduodenalen Ulzera führen. Seltener liegt einem Magenulkus eine Tumorerkrankung zu Grunde (Magenkarzinom, Lymphom, Zollinger-Ellison-Syndrom, GIST).
Lokalisation:
Die meisten Ulzera liegen im Grenzbereich zwischen Antrum- und Korpusmukosa noch innerhalb der Antrumschleimhaut. Die 2. Prädilektionsstelle ist die präpylorische Antrumschleimhaut.
Morphologie:
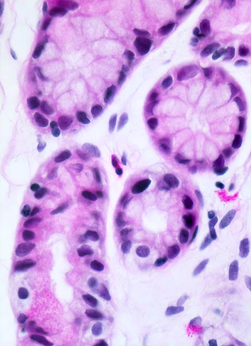
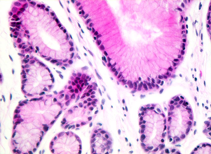
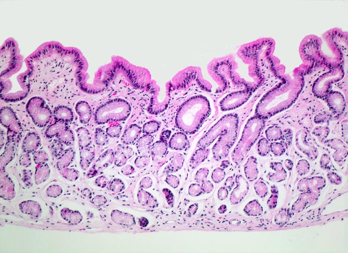
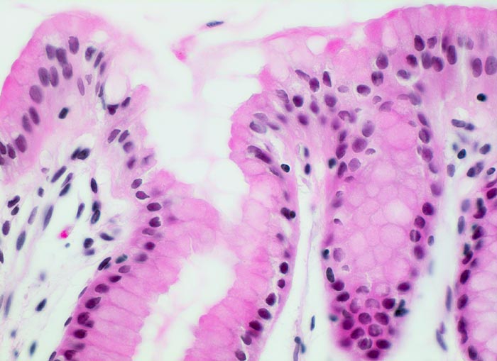
Das akute Ulkus ist rund, oval oder seltener polyzyklisch begrenzt und liegt meist im Schleimhautniveau. Das chronische Ulkus ist häufig kreisrund und im Längsschnitt trichter- oder treppenförmig. Die Schleimhautränder können lippenförmig über den Ulkusgrund hinausragen. Palpatorisch ist das chronische Ulkus aufgrund der narbigen Fibrose induriert. Die Schleimhautfalten laufen sternförmig auf das Ulkuszentrum zu. Das chronische Ulkus tritt zu 10%, das akute zu 25% multipel auf. Mikroskopisch zeigt das chronische Ulkus eine typische Schichtung (s. Bilder). Die Gefässe im Ulkusgrund zeigen eine starke Intimaproliferation mit teilweiser oder vollständiger Obliteration der Gefässlichtung. Morphologische Veränderungen in der übrigen Magenschleimhaut geben einen Hinweis auf die Ätiologie des Ulkus (Typ B oder C Gastritis).
update 30. August 2012
Klinik
Vorkommen:
Das Duodenalulkus ist etwa 3- bis 4 mal häufiger als das Magenulkus. Die Häufigkeit der Ulkuskrankheit nimmt in den entwickelten Ländern ab (sinkende Inzidenz der Helicobacterinfektion) und in der dritten Welt zu. Die höchste Inzidenz des Magenulkus liegt bei 55 bis 65 Jährigen. Rund 25% aller Patienten, die dauerhaft NSAR einnehmen, entwickeln eine Ulkuskrankheit und bei 2–4% der Betroffenen
kommt es in der Folge zu einer Blutung oder Perforation.
Symptomatik:
Das Kardinalsymptom der Ulkuskrankheit ist der Oberbauchschmerz (=epigastrischer Schmerz). Ulzera des Duodenums äussern sich typischerweise mit Nüchternschmerz, der sich nach Nahrungsaufnahme bessert. Epigastrische Schmerzen aufgrund eines Magenulkus, verstärken sich hingegen nach Mahlzeiten. Durch NSAR induzierte Ulzera sind gewöhnlich asymptomatisch. Ein plötzlicher Symptombeginn kann eine Perforation anzeigen. Blutungen sind häufiger bei älteren Patienten. Symptome einer Anämie wie Müdigkeit oder Dyspnoe können auf eine chronische Ulkusblutung hinweisen. Bei der Abklärung epigastrischer Beschwerden findet sich in 5-15% ein Ulkus und nur bei 1-3% ein Tumor. Bei jüngeren Patienten sind die Beschwerden viel häufiger funktionell.
Diagnostik:
In der Anamnese sollte nach Tumoren in der Familie, Ulzera in der Vergangenheit, der
Einnahme von ulzerogenen Medikamenten und Alarmsymptomen
(ungewollter Gewichtsverlust, Leistungsknick, chronische
Müdigkeit, anhaltendes Erbrechen, zunehmende Dysphagie, gastrointestinale
Blutung) gefragt werden. Bei Patienten, die über 55 Jahre alt sind, eine positive Familienanamnese für Malignome des oberen Gastrointestinaltrakts angeben oder Alarmsymptome aufweisen, sollte primär
eine Endoskopie zum Ausschluss einer organischen, insbesondere malignen Erkrankung durchgeführt werden. Wird eine Endoskopie durchgeführt, müssen bei jedem
Patienten mit einem Ulkus Biopsien für die Helicobacter pylori
Diagnostik entnommen werden. Die histologische Aufarbeitung der entnommenen
Magenbiopsien hat einen grossen Vorteil gegenüber
nicht-invasiven Testverfahren. Ausser dem Nachweis
der Helicobacter-Infektion können auch andere, mit
einer Infektion assoziierte Gewebeveränderungen (Entzündung,
atrophie Gastritis, intestinale Metaplasie,
Dysplasien, Neoplasien) erkannt werden.
Therapie:
Die prophylaktische Einnahme von Protonenpumpenhemmern reduziert das Auftreten von NSAR induzierten Ulzera. Bei etabliertem Magenulkus stehen die medikamentöse Säuresuppression, die Eradikation von Helicobacter pylori und das Vermeiden von NSAR (ev. Ersatz durch Cox-2 Hemmer) therapeutisch im Vordergrund. Eine chirurgische Therapie ist selten notwendig bei therapierefraktären Ulzera oder bei gewissen Ulkuskomplikationen ( 2079).
Komplikationen:
Mögliche Komplikationen eines Magenulkus sind chronische Sickerblutungen mit Blutungsanämie, eine arterielle lebensbedrohliche Blutung aus einer arrodierten Arterie im Ulkusgrund, eine freie ( 1408) oder gedeckte Perforation, eine Pilzinfektion oder eine Pylorusstenose. Das Entartungsrisiko chronischer Magenulzera wird mit 1-7% angegeben.