AP/ Infektiöse Endocarditis ulcero-polyposa

Diagnose
Infektiöse Endocarditis ulcero-polyposa
Diagnose Gruppe
Entzündung infektiös
Differenzialdiagnose
Topographie Gruppe
Kardiovaskuläres System
Topographie
Mitralklappe
Einleitung
Pathogenese:
Die infektiöse Endokarditis kann entstehen, wenn sich bei einer entsprechenden Prädisposition eine Endothelläsion ausbildet. Auf dieser wird zunächst Fibrin abgelagert (=sterile Vegetation). Diese Vegetation wird bei einer Bakteriämie (z.B. nach Zahnarztbesuch, Subclaviakatheter, iv Drogenabusus) oder einer Sepsis bakteriell besiedelt.
Häufigste Risikofaktoren für eine Endokarditis heutzutage sind:
  • Sklerosierte Herzklappen (zunehmend im Alter)
  • IV-Drogenkonsum (50% Trikuspidalklappe betroffen)(> 8709)
  • Katheter oder implantiertes Fremdmaterial wie Schrittmacherelektroden
  • Klappenprothesen
  • Schlechter Gebisszustand
  • Klappenvitium (Mitralklappenprolaps, bikuspide Aortenklappe…)
  • St.n. Endokarditis


Morphologie der Endokarditis in Abhängigkeit von der Ätiologie:
  • Infektiöse Endokarditis:
    Morphologie: Endokarditis ulcerosa (> 2935) oder ulceropolyposa
  • Immunologisch bedingte Endokarditis (bei rheumatischer Herzerkrankung oder systemischem Lupus erythematodes):
    Morphologie: Endokarditis verrucosa (> 2940) (> 2937)
  • Thrombotisch nicht bakterielle Endokarditis bei Kachexie oder schwerer Allgemeinerkrankung:
    Morphologie: Endokarditis marantica (Fibrinthromben) (> 2939) (> 2781)
Lokalisation:
Befallen sind mit absteigender Häufigkeit Mitralklappe (45%), Aortenklappe (35%), Aortenklappe und Mitralklappe (11%), Trikuspidalklappe (6%). Vorhofendokard und Pulmonalklappe sind nur sehr selten betroffen.

Morphologie:
Makroskopisch sind entweder flache rötliche fibrinbelegte Ulzera (=ulcerosa (> 2935)) oder zusätzlich weiche gelbbraune bröcklige erbs- bis pflaumengrosse Polypen (=ulceropolyposa (> 2936) (> 8376)) oder ausschliesslich polypoide Fibrinbeläge (=marantica) auf einem Endokarddefekt oder einer partiell zerstörten Klappe erkennbar.
Histologisch findet sich bei ulzeropolypöser Endokarditis ein Fibrin-Thrombozytenthrombus, welcher von Bakterien durchsetzt ist (=Vegetation). Die Vegetation sitzt auf einem Klappendefekt an dessen Basis Granulationsgewebe einzusprossen beginnt, welches den Thrombus organisiert. Klappendefekte, Gefässeinsprossungen, verdickte Sehnenfäden (> 2848) oder Kommissurenverwachsungen (> 8389) der Taschenklappen weisen morphologisch auf eine abgeheilte Endokarditis hin.

update 30. August 2012
Klinik
Vorkommen und Risikofaktoren:
Die Inzidenz der infektiösen Endokarditis liegt bei 2-6 pro 100'000 Personen/Jahr. Diese Zahl hat sich in den letzten Jahren kaum geändert. Die rheumatische Herzerkrankung, früher ein häufiger Risikofaktor einer infektiösen Endokarditis, ist bei uns, im Gegensatz beispielsweise zu nordafrikanischen Ländern, fast vollständig verschwunden. An deren Stelle traten neue Risikofaktoren wie die Implantation künstlicher Herzklappen, intravenöser Drogenkonsum, Hämodialyse, intravaskuläre Katheter, implantierbare Defibrillatoren und eine Zunahme altersbedingter degenerativer Klappenveränderungen infolge höherer Lebenserwartung.

Klinische Einteilung der infektiösen Endokarditis:
  • Linksseitige Nativklappenendokarditis
  • Linksseitige Kunstklappenendokarditis (> 9842)
  • Rechtsseitige Endokarditis, inklusive Endokarditis bei IV Drogenabusus und cardiovascular device-related-Endokarditis
  • Healthcare assoziierte Endokarditis (nosokomial im Spital erworben und nicht-nosokomial)
Diese Einteilung dient der besseren Abschätzbarkeit der ursächlichen Erreger. Viridans-Streptokokken sind die häufigsten Erreger in der Allgemeinbevölkerung bei ambulant erworbenen Nativklappenendokarditiden. Staphylokokkus aureus und koagulasenegative Staphylokokken dominieren bei prothetischen Klappen, intravenösem Drogenkonsum und Healthcare assoziierter infektiöser Endokarditis.

Symptomatik:
Die Symptome einer infektiösen Endokarditis sind sehr unspezifisch. Fieber (90%), Schüttelfrost, Schwäche, Dyspnoe, Nachtschweiss, Inappetenz, Husten, Herzgeräusche (neu oder verändert), fokal neurologische Zeichen, (septische) Embolien in den grossen Kreislauf bei Linksherzendokarditis (> 8625), und in die Lunge bei Rechtsherzendokarditis, Retinaläsionen, subkonjunktivale Blutungen, Janewayläsionen (nicht schmerzhaft), Osler Knötchen (schmerzhaft, heute selten), Splinter Hämorrhagien (sehr unspezifisch), Petechien, Splenomegalie (heute seltener).

Diagnostik:
Standbeine der diagnostischen Abklärungen bei Verdacht auf infektiöse Endokarditis sind der Erregernachweis im Blut (Blutkulturen und Serologie), die Visualisierung der Klappenvegetationen (transthorakale oder transösophageale Echokardiographie) sowie die im Jahr 2000 modifizierten DUKE-Kriterien (siehe Literaturhinweis). Die häufigste Ursache einer kulturnegativen Endokarditis ist die bereits vor Entnahme der ersten Blutkulturen begonnene antimikrobielle Therapie.

Therapie:
Grundsätzlich soll die Therapie gezielt, d.h. erregerspezifisch sein, auf einer exakten Resistenzbestimmung beruhen, hochdosiert und unter Benutzung eines bakteriziden Antibiotikums erfolgen. Eine antibiotische Endokarditis-Prophylaxe vor operativen oder bestimmten diagnostischen Eingriffen muß bei allen Patienten mit hohem Endokarditis-Risiko (z.B. Klappenprothesen, Zustand nach bakterieller Endokarditis, komplexe zyanotische Herzfehler) oder mittlerem Endokarditis-Risiko (z.B. rheumatische oder andere erworbene Herzklappenfehler, Mitralklappenprolaps mit Klappenregurgitation) durchgeführt werden.

Komplikationen:
Mögliche Komplikationen einer infektiösen Endokarditis sind Klappenperforation (> 2934) oder Sehnenfadenruptur mit akuter Klappeninsuffizienz, Klappenstenose durch grosse Vegetationen, Übergreifen der Entzündung auf das Myokard, Dehiszenz von Klappenprothesen, Klappenvitium, Sepsis, septische (> 2120) oder sterile, häufig zerebrale Embolien, mykotisches Aneurysma und Glomerulonephritis.

Prognose:
Die infektiöse Endokarditis ist eine potentiell tödliche Erkrankung mit hoher Morbidität und einer Letalität von bis zu 30%. Eine Ursache der hohen Letalität ist die lange Latenz zwischen dem Auftreten erster Symptome und der definitiven Diagnose mit Einleitung einer adäquaten Therapie. Ein weiteres Problem stellen die kulturnegativen infektiösen Endokarditiden dar, die nicht erregerspezifisch antibiotisch behandelt werden können. Neben dem zugrunde liegenden Erreger bestimmen zahlreiche Parameter von Seiten des Patienten den klinischen Verlauf und die Prognose.

update 30. August 2012
Normalbefund
Morphologie
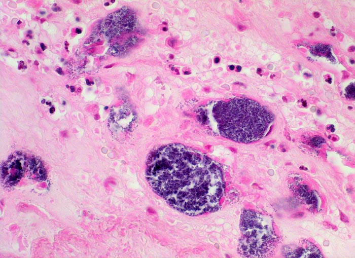
Morphologische Merkmale:
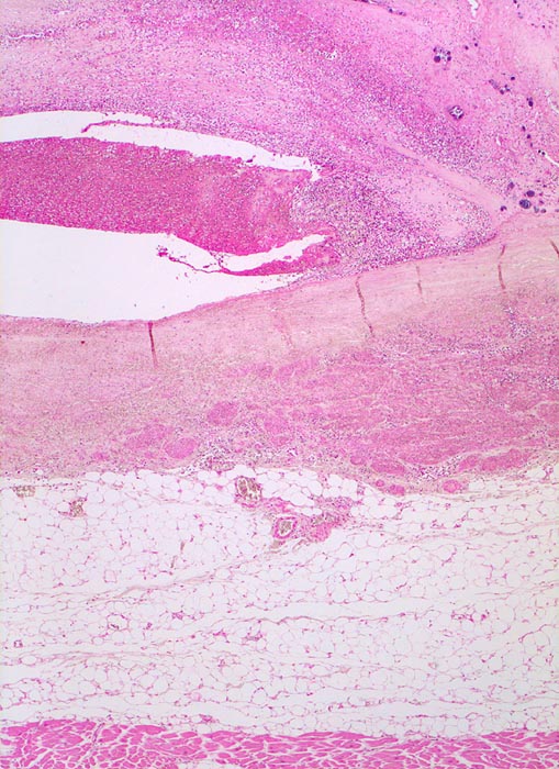
  • Längsschnitt durch Aorta, Aortenklappe und linkes Ventrikelmyokard.
  • Oben im Bild die Aorta mit kleinem Fibroatherom.
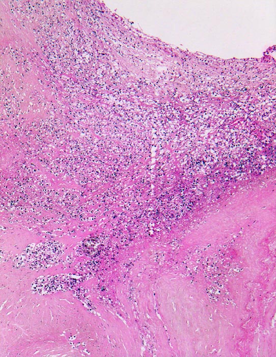
  • Abszedierende Entzündung der aortalen Adventitia ausgehend von septikopyämischen Streuherden.
  • Ulzerierte Aortenklappe(ulcerosa).
  • Dem ulzerierten Klappengerüst aufgelagerte polypöse Vegetation aus Fibrin und Granulozyten durchsetzt von blauen Kokkenbakterienkolonien (polyposa).
  • Ausgedehnte frische Koagulationsnekrose (unsichtbare Zellkerne, Infiltrate neutrophiler Granulozyten) des linken Ventrikelmyokards unterhalb der Klappe.
  • Mehrere septikopyämische Streuherde (blaue Bakterienhaufen in intramyokardialen Blutgefässen umgeben von Mikroabszessen).
Das sollte der Kliniker dem Pathologen mitteilen:
  • Nachgewiesener Erreger.
  • Akuter, subakuter oder chronischer Verlauf.
  • Risikofaktoren für Endokarditis.
Praxis-Tipp:
  • Materialentnahme für die Bakteriologie vor Fixation.
Makroskopie
Befund
Pathologischer Befund
Normalbefund
Datum
Ersteintrag: 15.03.2019
Update: 04.02.2024