Histogenese:
Meningeome stammen von neoplastischen meningothelialen (arachnoidalen) Zellen ab.
Lokalisation:
Meningeome sind intrakraniell, im Spinalkanal oder intraorbital lokalisiert. In anderen Organen lokalisierte Meningeome sind eine exquisite Rarität.
Morphologie:
Die meisten Meningeome sind gutartig und fallen in die Kategorie WHO Grad I. Atypische Meningeome (WHO Grad II) machen zwischen 4.7-7.2% aller Fälle aus, anaplastische Menigeome (WHO Grad III) sind noch seltener. Meningeome sind oft multipel bei Patienten mit hereditärer Prädisposition und bei Neurofibromatose 2 sowie bei 10% der sporadischen Fälle. Meist wachsen Meningeome langsam. Sie sind in der Regel scharf begrenzt und sitzen der Dura breitbasig auf. Das Einwachsen von Meningeomgewebe in die Dura mater und/oder die benachbarte Schädelkalotte ist noch kein Malignitätszeichen und noch durchaus vereinbar mit einem benignen Meningeom WHO Grad I. Demgegenüber ist das Einwachsen in das benachbarte Hirnparenchym in aller Regel atypischen oder anaplastischen Meningeomen vorbehalten. Die Konsistenz ist prall-elastisch oder fest und das Tumorgewebe kann fokal verkalkt sein. Das Meningeom en plaque bedeckt flächenhaft die Dura als dünne Platte.
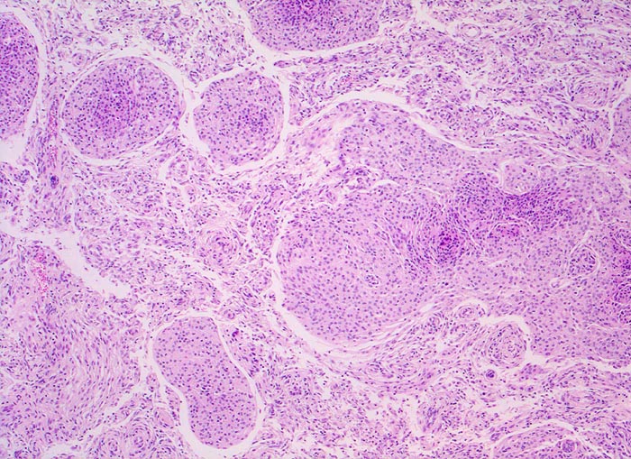
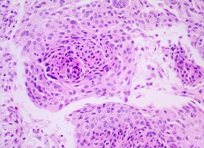
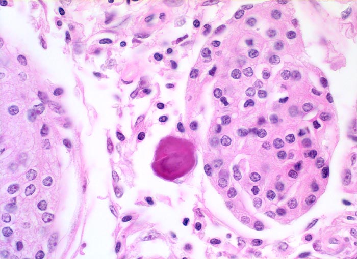
Das Meningeom zeigt ein grosses Spektrum histologischer Varianten mit sehr unterschiedlicher Morphologie. Am häufigsten sind meningotheliale (ihr Präparat), transitionale und fibroblastische Meningeome. Typisch für das meningotheliale Meningeom sind dicht gepackte Zellen mit unscharfen Zytoplasmagrenzen, Wirbelbildungen und Kerne mit intranukleären Vakuolen. Ferner finden sich konzentrische Verkalkungen in Form von Psammomkörperchen ( 255).
Klinik
Vorkommen:
Die Inzidenz beträgt 6 Fälle pro 100'000 Einwohner pro Jahr. Meningeome machen ungefähr 20% aller primär intrakranialen Tumoren aus. Die Inzidenz von Meningeomen nimmt mit dem Alter zu. Am häufigsten sind sie in der sechsten und siebten Dekade. Frauen sind etwas häufiger betroffen als Männer.
Symptomatik:
Meningeome können in Abhängigkeit von ihrer Lage vielfältige Symptome verursachen. Lokalisierte oder unspezifische Kopfschmerzen sind häufig. Die Kompression des Hirns kann epileptische Anfälle, fokale Schwäche, Dysphasie, Apathie und Somnolenz auslösen. Meningeome der Schädelbasis können eine Gefässkompression mit konsekutiver Ischämie verursachen. Intraventrikuläre Meningeome können einen obstruktiven Hydrocephalus verursachen. Meningeome in der Nähe der Sella turcica können zu einer Unterfunktion der Hypophyse führen. Typische Symptomenkomplexe sind im Literaturlink tabellarisch dargestellt. Papillenödem, Hirnnervenausfälle, Pyramidenbahnzeichen oder ein Brown Sequard Syndrom durch einseitige Kompression des Rückenmarks stellen mögliche Untersuchungsbefunde dar.
Diagnostik:
Im kontrastmittelverstärkten CT stellen sich Meningeome als duraassoziierte stark und homogen hyperdense Tumoren dar. Im MRI sind Meningeome nach Gadoliniumgabe hyperintens. Das Ödem kommt im MRI oft besser zur Darstellung. Die Angiographie zeigt den Bezug des Tumors zu vitalen vaskulären Strukturen und hilft bei der Operationsplanung.
Therapie:
Bei sehr stark vaskularisierten Tumoren kann eine präoperativ durchgeführte Embolisation der ernährenden Gefässe von Vorteil sein.
Prognose:
Bei vollständiger Entfernung ist die Prognose exzellent. Rezidive treten vor allem bei inkomplett entfernten, malignen oder multiplen Tumoren auf.
Normalbefund
Morphologie
Morphologische Merkmale:
Der Dura breitbasig aufsitzender scharf begrenzter halbkugeliger Tumor.
Kugelige Tumorzellverbände mit Ausbildung von typischen konzentrischen zwiebelschalenartigen Formationen und parallele Bündel spindeliger Zellen.
Tumorzellen mit ovalen Kernen ohne Atypien und reichlich Zytoplasma. Keine Mitosen.