Basel 3BA HS/ Wundheilung

Diagnose
Wundheilung
Diagnose Gruppe
Entzündung / Reparatur
Differenzialdiagnose
Topographie Gruppe
Haut
Topographie
Haut, Rumpf
Einleitung
Definition:
Zur Wundheilung gehören alle reparativen Vorgänge zur Beseitigung der Wunde und zur Wiederherstellung von geschädigter / verletzter Haut in Struktur und Funktion (z.B. Neubildung von Kapillaren, Vermehrung und Wachstum von Bindegewebs- und Epithelzellen).

Verlauf:
Bei einer Schnittwunde ohne nennenswerten Gewebsverlust, mit glatten, dicht aneinanderliegenden Wundflächen ohne Infektion oder andere Wundheilungsstörungen kommt es zur primären Wundheilung. Diese führt zu rascher, komplikationsloser Wundheilung (schnelle Auffüllung mit Bindegewebe, direktes Miteinanderverkleben der Wundränder), keine oder kleine Narbe.
Eine sekundäre Wundheilung ist eine verzögert ablaufende Wundheilung bei großen Gewebeverlusten oder zerklüfteten Wundrändern (auseinanderklaffende Wundflächen, oft mit Wundtaschen oder tiefergehenden Schädigungen), bei Wundinfektionen oder anderen Wundheilungsstörungen. Es kommt zu einem langsamem Wundverschluß mit komplexen physiologischen Vorgängen: Reinigungsprozesse, Aufbau von Granulationsgewebe, Reepithelialisierung, Narbenbildung mit Wundkontraktion. Die sekundäre Wundheilung verläuft in drei zeitlich überlappenden Phasen:
  • Erste Phase (Exsudative Phase): Blutstillung durch Thrombozytenaggregation und Aktivierung des Gerinnungssystems. Ödembildung durch Freisetzung vasoaktiver Substanzen, gesteigerte Gefäßpermeabilität und verstärkte Exsudation von Blutplasma. Wäßriges Milieu mit örtlicher Azidose (Förderung von Zellteilung und Abbauprozessen, mechanische Reinigung der Wunde durch Ausschwemmen von Schmutz, Gewebetrümmern und Keimen). Phagozytose und Proteolyse von Keimen.
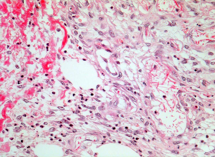
  • Zweite Phase: Aufbau von Granulationsgewebe (= zell- und gefäßreiches Bindegewebe). Die Kapillarisierung (Neovaskularisation) durch Einsprossen von Blutgefäßen (Gefäßbäumchen sind als hellrote, glänzende Körnchen im Wundgrund sichtbar) sorgt für ausreichende Ernährung des Gewebes. Die Kollagensynthese durch eingewanderte Fibroblasten benötigt Vitamin C und Sauerstoff.
  • Dritte Phase (Epithelialisierungsphase): Wundkontraktion durch Ausreifung der kollagenen Fasern und Wasserverlust. Umwandlung des Granulationsgewebes in gefässarmes faserreiches Narbengewebe. Überhäutung vom Wundrand her durch Mitosen und Zellwanderung der Epithelzellen auf einer horizontalen Gleitbahn verflüssigten Fibrins (reife, glatte Granulationsfläche erforderlich). Das Ersatzgewebe enthält keine Hautanhangsgebilde.
Klinik
Risikofaktoren für gestörte Wundheilung:
Zahlreiche Faktoren können zu einer Verzögerung der Wundheilung führen: Flüssigkeitsmangel, Mangel an Vitaminen (A, B, C, E) oder Mineralstoffen (Zink, Eisen, Kupfer), Durchblutungsstörungen, Diabetes mellitus, Immuninsuffizienz, Leberfunktionsstörungen, entzündliche Darmerkrankungen oder Malabsorption, wundheilungsstörende Medikamente wie Cortison, Zytostatika, Immunsuppressiva und Allgemeininfektionen. Daneben können auch lokale Faktoren die Heilung behindern: Hämatom, Serom oder Wundinfektion, Nekrosen (abgestorbenes Gewebe fördert das Entstehen einer Infektion), Austrocknung der Wunde (verzögert die Gewebsneubildung, leichtes Rissigwerden), Auskühlen der Wunde oder Traumatisierung beim Verbandwechsel, Verwendung wundheilungsstörender Lösungen.

Therapie:
Die Wundbehandlung sollte phasengerecht erfolgen. Die spezifischen physiologischen Vorgänge der einzelnen Wundphasen können gefördert werden durch adäquate Wundauflagen.
Morphologie
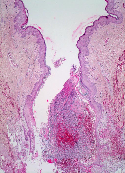
Morphologische Merkmale:
  • Schlitzförmiger, bis in die Subkutis reichender Hautdefekt.
  • Neugebildete Epidermis bedeckt im oberen intradermalen Anteil des Wundspaltes teilweise den Gewebsdefekt.
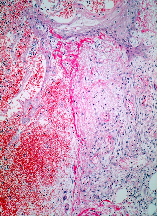
  • Daran angrenzender Wundspalt im Bereich des subkutanen Fettgewebes mit Fibrinauflagerungen und ödematösem zellarmem Granulationsgewebe.
  • An der Basis des Präparates Auseinanderklaffen des Wundspalts wegen grösserem Blutkoagel (verursacht Wundheilungsstörung).
Das sollte der Kliniker dem Pathologen mitteilen:
  • Zeitpunkt der Operation.
  • Risikofaktoren für Wundheilungsstörung.
Makroskopie
Virtuelles Präparat
Befund
Pathologischer Befund
Normalbefund
Datum
Ersteintrag: 14.03.2019
Update: 04.02.2024