Histogenese und molekulare Genese:
Melanozytäre Naevi sind gutartige angeborene oder erworbene Neoplasien. Gewöhnliche Naevi (common naevus, Kurspräparat) entstehen durch Proliferation von Melanozyten, die aus Stammzellen der Neuralleiste stammen. Die Proliferation gewöhnlicher Naevi wird meist initiiert durch Aktivierung der MAP-Kinase-Signalkette (meist durch BRAF V600E Mutation). Bei den selteneren Naevussubtypen (blaue Naevi, Spitz Naevi u.a.) findet man andere charakteristische genetische Veränderungen. Dysplastische Naevi sind klinisch und/oder histologisch mehr oder weniger atypische Naevi, die im Rahmen eines familiären dysplastischen Naevussyndroms oder sporadisch erworben auftreten können. Dysplastische Naevi entsprechen vermutlich einer intermediären Läsion zwischen benignen Naevi und Melanomen und zeigen in Abhängigkeit des Atypiegrades eine Zunahme an genomischen Aberrationen. Die morphologischen und genetischen Veränderungen von dysplastischen Naevi mit schweren zytologischen und architektonischen Atypien und superfiziell spreitenden Melanomen sind fliessend und eine klare Unterscheidung nicht immer zuverlässig möglich.
Lokalisation: Erworbene Naevi treten bevorzugt an sonnenexponierten Stellen auf.
Verlauf: Erworbene Naevi können ein lentiginöses oder ein kongenitales Wachstumsmuster aufweisen (Ausbreitung der Naevuszellen in der tieferen Dermis entlang von Adnexstrukturen). Letzteres bedeutet nicht, dass der Naevus bei Geburt schon bestand. Am Anfang der Entwicklung erworbener Naevi steht die Lentigo simplex ( 5299), welche durch Vermehrung einzeln liegender Melanozyten im Bereich der basalen Epidermis zustande kommt und makroskopisch als scharf begrenzte braune Makula imponiert. Daraus entwickeln sich junktionale Naevi mit Nestern von jeweils drei oder mehr Naevuszellen in der basalen Epidermis ( 5362). Bei Compound Naevi (= dermoepidermaler Naevuszellnaevus) finden sich zusätzlich zu den epidermalen auch intradermal gelegene Naevuszellen oder Nester von Naevuszellen ( 565). Compound Naevi zeigen ein sehr variables makroskopisches Bild von gering erhabenen bis zu polypoiden, gestielten oder verrukösen Läsionen. Die Farbe variiert von braun über grau bis zu hautfarben. Diese Naevi bleiben über Jahre weitgehend unverändert und entwickeln sich schliesslich weiter zu rein dermalen (=corialen) Naevi mit ausschliesslich intradermal gelegenen, oftmals unpigmenierten Naevuszellen, um schliesslich vollständig zu verschwinden.
Morphologie:
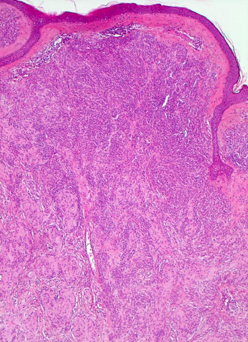
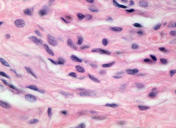
Kennzeichnend für einen gutartigen Naevuszellnaevus ist dessen Symmetrie und die Ausreifung der intradermalen Naevuszellen von oberflächlich gelegenen grossen, runden, pigmentierten Zellen in grossen Nestern, zu tiefer gelegenen kleineren, runden, nicht pigmentierten, in kleineren Nestern oder einzeln liegenden Zellen und in älteren Läsionen zu spindeligen Zellen mit neuralem Phänotyp mit Verlust der melanozytären Differenzierung (sogenannter Neuronaevus). Gewöhnliche Naevi zeigen keine zytologischen Atypien und die dermale mitotische Aktivität ist minimal.
Es existieren verschiedene Varianten erworbener Naevi, welche klinisch und/oder histologisch Melanome imitieren können. Zu diesen Varianten gehören Halo Naevi, kombinierte Naevi, Spitz Naevi, blaue Naevi und dysplastische Naevi.
update 5.9.2018
Klinik
Vorkommen:
Erworbene gewöhnliche Naevi entstehen in den ersten zwei Dekaden des Lebens und tendieren nach der 6. Lebensdekade zur spontanen Rückbildung. Hellhäutige Menschen haben durchschnittlich 25 Naevi. Anzahl und Grösse der Naevi werden stark beeinflusst vom Genotyp des Individuums. Die Proliferation von Naevuszellen wird stimuliert durch UV-Exposition, hormonelle Faktoren (Pubertät, Schwangerschaft), inkomplette Entfernung und Immunsuppression fördern die Entstehung von Naevi.
Diagnostik: Harmlose Naevi können von blossem Auge korrekt diagnostiziert werden. Das Dermatoskop dient als Hilfsmittel in der Diagnostik von atypischen Hautläsionen. Es handelt sich dabei um ein dem Otoskop ähnliches Gerät, das oberflächliche Hautstrukturen vergrössert und die genauere Untersuchung von pigmentierten Hautveränderungen erlaubt. Ein retikuläres Pigmentmuster, Pigmentstreifen, Pigmentpunkte oder Pigmentschollen, weisen auf eine melanozytäre Veränderung hin. Die Dignität melanozytärer Pigmentherde wird analog zur klinischen ABCDE-Regel beurteilt. Die einzelnen Merkmale können semiquantitativ erfaßt werden. Das Ergebnis der Untersuchung kann dementsprechend als Punktwert angegeben werden. Besonders geeignet für die dermatoskopische Differentialdiagnostik melanozytärer Hautveränderungen sind flache Pigmentherde wie atypische Nävi, in situ und superfiziell spreitende maligne Melanome. Manche benigne melanozytäre Naevi haben ein charakteristisches dermatoskopisches Bild.
Melanomrisiko:
Die Gesamtzahl der Naevi gilt als Indikator für ein erhöhtes Melanomrisiko. Das Melanomrisiko ist bei Personen mit über 100 Naevi verglichen mit Personen mit weniger Naevi 11 mal höher. Vermehrte UV-Exposition (in der Kindheit) erhöht das Risiko lediglich um den Faktor 2,5. Bei gigantischen kongenitalen Naevi (Durchmesser >20cm) liegt das Entartungsrisiko bei bis zu 25%.
Indikation zur Exzision:
Klinisch gutartige Naevi bedürfen keiner Therapie, da das Entartungsrisiko zum Melanom durch Aquisition zusätzlicher pathogener Mutationen minimal ist (<0.003%). 75% aller Melanome entstehen nicht auf dem Boden eines Naevus, sondern de novo. Die Indikation zur Exzision ist in jedem Fall gegeben bei Spitz Naevi, fraglich entarteten atypischen Naevi und Rezidivnaevi. Bei dysplastischen Naevi mit schweren Atypien, die histologisch nicht sicher von einem SSM-Melanom unterschieden werden können, wird eine Exzision mit Sicherheitsabstand empfohlen. Hinweise auf eine mögliche Entartung geben bei der Hautinspektion die EFG Kriterien (elevated, firm, fast growing), die ABCD-Kriterien (Asymmetrie, unregelmässige Begrenzung, inhomogene Farbe, Dynamik/grosser Durchmesser) und das Ugly Duckling Sign (eine einzelne Läsion weicht in ihrem Aussehen von den übrigen Naevi des Patienten ab). Sehr grosse Naevi sollten in Zentren behandelt werden.
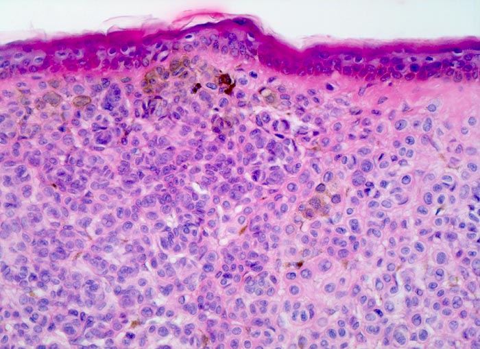
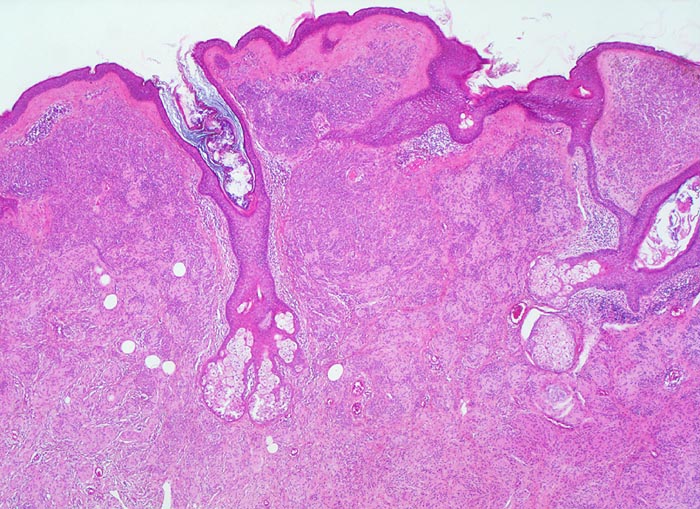
Die Tumorzellen bilden Nester in der Epidermis und in der Dermis (=dermoepidermaler bzw. compound Naevus).
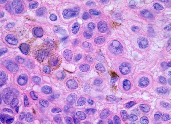
Oberflächliche Tumorzellen enthalten teilweise körniges braunes Melaninpigment.
Angrenzend an die pigmentierten Zellnester sind Melanophagen erkennbar, deren Zytplasma mit Melaningranula angefüllt sind.
Die oberflächlichen Naevuszellen zeigen reichlich helles, teils pigmentiertes Zytoplasma und helle ovale Kerne mit kleinen, deutlich erkennbaren Nukleolen. Zur Tiefe hin werden die Naevuszellen kleiner, haben weniger Zytoplasma und dunkle kleine Kerne ohne gut erkennbaren Nucleolus. Die Zellnester werden zur Tiefe hin ebenfalls kleiner (=Ausreifung).
Keine Mitosen, keine Zellatypien.
Das sollte der Kliniker dem Pathologen mitteilen:
Genaue Tumorlokalisation (lokalisationsspezifische morphologische Eigenheiten von Naevi).