Basel 3BA HS/ Adenokarzinom der Prostata

Diagnose
Adenokarzinom der Prostata
Diagnose Gruppe
maligner Tumor
Differenzialdiagnose
Topographie Gruppe
Genitalorgane, männlich
Topographie
Prostata
Einleitung
Makroskopie:
Prostatakarzinome sind häufiger in der Aussenzone lokalisiert, während die benigne Prostatahyperplasie gehäuft den Mittellappen betrifft. Makroskopisch imponieren Karzinome als periphere, gelbe, harte Areale.

Mikroskopie:
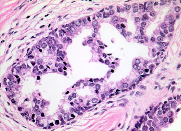
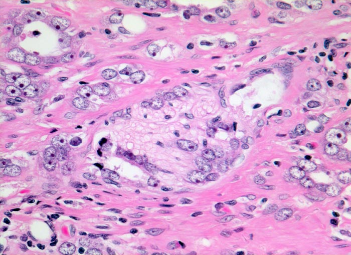
Die hochgradige („high grade“) prostatische intraepitheliale Neoplasie (high grade PIN) gilt als Präkanzerose für das azinäre Prostatakarzinom. Sie ist in 60% mit einem Adenokarzinom kombiniert und findet sich ebenfalls bevorzugt in der peripheren Zone der Prostata. Histologisch ist das Karzinom meist drüsig aufgebaut. Karzinomdrüsen unterscheiden sich von benignen Drüsen oder von einer high grade PIN durch das Fehlen von Basalzellen. Basalzellantikörper helfen, das Fehlen oder Vorhandensein von Basalzellen (> 2948) immunhistochemisch besser zu beurteilen und somit die Karzinomdiagnose zu sichern. Häufig zeigen Karzinomzellen prominente Nukleolen (> 3404). Die Herkunft eines metastasierenden Adenokarzinoms aus der Prostata lässt sich immunhistochemisch mit Antikörpern gegen Prostata spezifisches Antigen (PSA) (> 5342) (> 5582) und Prostata spezifische saure Phosphatase (PSAP) (> 5963) beweisen.

Grading:
Das Ausmass der Drüsenbildung ist wichtig für die Bestimmung des Differenzierungsgrades nach Gleason. Der Differenzierungsgrad ist von prognostischer Bedeutung und beeinflusst auch das weitere Management der Erkrankung. Die Gradierung von Prostatakarzinomen erfolgt nach Dr Donald Gleason. Gleason unterscheidet fünf verschiedene Wachstumsmuster mit abnehmendem Differenzierungsgrad von 1 (= am besten differenziert) bis 5 (= am schlechtesten differenziert). Der Gleason Score entspricht der Summe der Punktzahl für das primäre (vorherrschende) und das sekundäre (zweithäufigste) Wachstumsmuster. Prädominantes Muster 3 plus zweithäufigstes Muster 4 ergibt Gleason-Score 7, abgekürzt 7(3+4). Gleason 10(5+5) entspricht dem prognostisch ungünstigsten Score. Die verschiedenen Gleason-Scores werden zusammengefasst zu den für die Festlegung des weiteren therapeutischen Vorgehens relevanten Grad-Gruppen 1-5 nach WHO/ISUP (International Society of Urological Pathology).

update 30. August 2018
Klinik
Vorkommen:
Prostatakarzinome sind sehr selten vor dem 50. und selten vor dem 60. Altersjahr, jedoch äusserst häufig im fortgeschrittenen Alter. Der Häufigkeitsgipfel von 20-30% liegt zwischen dem 70. und 75. Lebensjahr. Das Prostatakarzinom stellt nach dem Bronchuskarzinom die häufigste Krebstodesursache beim Schweizer Mann dar. Jährlich sterben etwa 1300 Männer am Prostatakarzinom, davon drei Fünftel im Alter von über 70 Jahren.

Risikofaktoren:
Als Risikofaktor wird ein Zusammenhang mit der Diät diskutiert. Ca. 10% der Prostatakarzinome haben einen hereditären Hintergrund.

Klinische Formen des Prostatakarzinoms:
  • Manifestes Karzinom: Durch rektale Palpation diagnostizierbar und bioptisch bestätigt.
  • Inzidentes Karzinom: Klinisch nicht bekannt und zufällig im Rahmen einer operativen Therapie einer benignen Prostatahyperplasie im histologisch untersuchten Material entdeckt.
  • Okkultes Karzinom: Klinisch unentdeckt gebliebenes Karzinom, das durch Metastasen auffällig wird.
  • Latentes Karzinom: Zu Lebzeiten klinisch nicht nachweisbar und erst bei Obduktion diagnostiziert. Gesamthäufigkeit bei über 70 jährigen über 50%. Bei jüngeren Patienten überwiegend hochdifferenzierte Tumoren.


Symptomatik:
Symptome fehlen lange. In Spätstadien kommt es zur Obstruktion der Harnwege mit Hydronephrose (> 2058) (> 865) und Urosepsis. Knochenmetastasen verursachen Schmerzen und pathologische Frakturen.

Diagnostik:
Die Diagnosestellung erfolgt durch Nadel- (Core) Biopsie bei Patienten mit erhöhtem PSA im Serum oder bei Patienten mit verdächtigem rektalem Palpationsbefund. Problematisch ist die Gefahr der Überdiagnose und Übertherapie durch das PSA Screening, weil damit zahlreiche asymptomatische Tumoren mit langsamem klinischem Verlauf und geringem Mortalitätsrisiko entdeckt werden. Um eine Übertherapie von überdiagnostizierten risikoarmen Karzinomen zu verhindern, wurde die aktive Überwachung anstelle einer Therapie eingeführt. Bei der aktiven Überwachung wird eine kurative Therapie so lange verzögert, wie dies für den Betroffenen keinen Nachteil bedeutet.

Therapie:
Bei Prostatakarzinomen mit günstigem Risikoprofil kann primär auf eine aktive Behandlung verzichtet werden:

Günstiges Risikoprofil:
  • Tumorstadium maximal cT2b (einseitiger Befall)
  • PSA < 10ng/ml
  • Gleason Score < oder = 6
  • Kein Gleason Muster 4 oder 5
  • Tumor in maximal 2 von 10 Stanzbiopsien, maximal 50% Tumorbefall pro Stanze
Weiter prognoserelevant ist die Wachstumsgeschwindigkeit (Ki67 Proliferationsindex) der Tumorzellen. Die Bestimmung dieses Parameters an der Nadelbiopsie hilft dem Urologen bei der Entscheidungsfindung für die optimale Therapie beim individuellen Patienten. Laufend werden weitere Parameter und Untersuchungsmehtoden erforscht, die eine aktive Überwachung noch sicherer machen könnten. Das Warten bis zum Auftreten von Beschwerden (watchful waiting) wird nur bei Patienten mit einer Lebenserwartung von weniger als 10 Jahren empfohlen. Bei jüngeren Patienten wird aktiv überwacht (active surveillance) durch regelmässige digital rektale Untersuchung, PSA-Messungen und Biopsien. Bei Zeichen einer Tumorprogression wird umgestiegen auf eine aktive Therapie. Diese Strategie erspart etwa 50% der Patienten mit tiefem Risiko eine aktive Therapie über Jahre hinaus. Wenn der Tumor organbegrenzt ist aber kein günstiges Risikoprofil aufweist, kann eine radikale Prostatektomie in kurativer Absicht durchgeführt werden. Eine Strahlentherapie kann sowohl in Frühstadien als auch bei fortgeschrittenen Karzinomen zur Anwendung kommen. Wesentliche Komplikationen dieser kurativen Ansätze sind prolongierte Inkontinenz und Impotenz.
Beim metastasierten Prostatakarzinom ist die Androgenblockade der erste therapeutische Schritt. Wenn diese nicht mehr wirksam ist, sollte eine palliative Chemotherapie diskutiert werden.

update 30. August 2018
Normalbefund
Morphologie
Morphologische Merkmale:
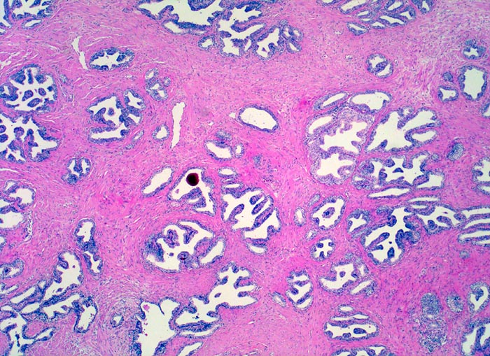
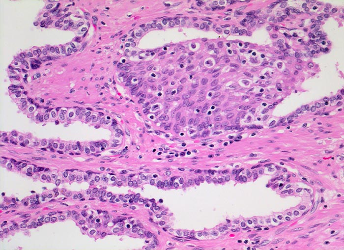
  • Normale Prostatadrüsen mit grossen Lumina angeordnet in Läppchen. Das Epithel bildet Falten und besteht aus einer inneren hochprismatischen sekretorischen Zellschicht und einer äusseren Schicht flacher Myoepithelien.
  • Herde kleiner Karzinomdrüsen ohne Basalzellschicht.
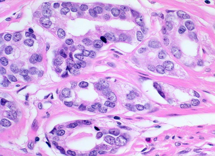
  • Fehlende lobuläre Anordnung der Karzinomdrüsen.
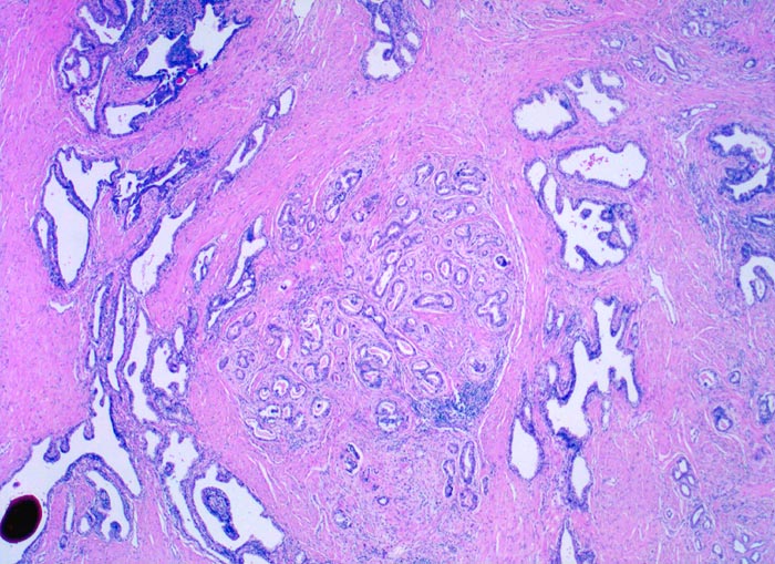
  • Konfluierende Drüsen bilden kribriforme Muster.
  • Karzinomzellen mit stark erhöhter Kern-Zytoplasmarelation und hyperchromatischen Zellkernen mit grossen eosinophilen Nukleolen.
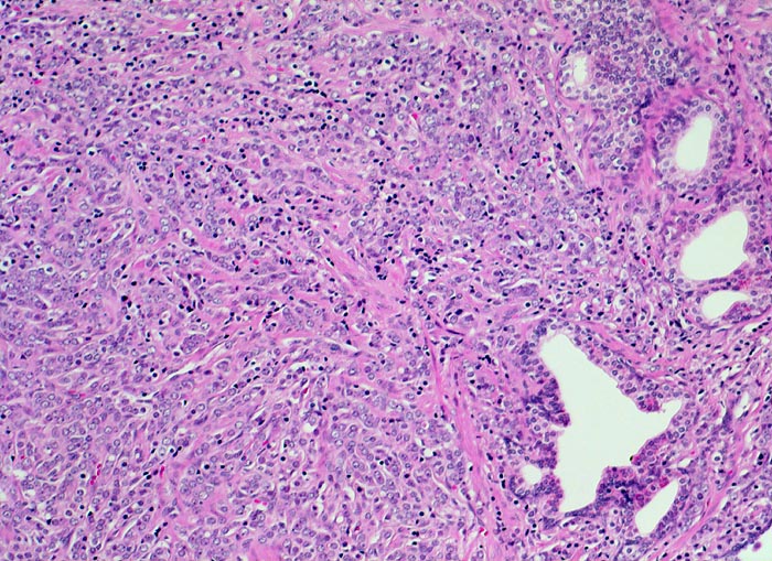
  • Wenig differenzierte Karzinomanteile ohne erkennbare Drüsenbildung.
  • Perineuralscheideninvasion.
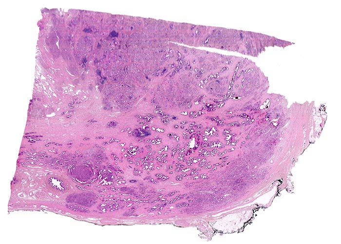
  • Links oben im Präparat finden sich Anteile der Samenblase mit polymorphem Epithel und gelben Lipofuszinpigmenteinlagerungen.
  • Unterhalb der Samenblase sind von flachem Endothel ausgekleidete Lymphgefässe mit Karzinominfiltraten erkennbar (Lymphangiosis carcinomatosa).
  • Der mit schwarzer Tusche markierte Resektionsrand in der unteren Hälfte des Präparates ist tumorfrei.
Das sollte der Kliniker dem Pathologen mitteilen:
  • Vorausgegangene Hormontherapie oder Strahlentherapie (Veränderte Morphologie, Grading nicht möglich).
  • Höhe des PSA.
  • Befund der vorausgegangenen Stanzbiopsie.
Makroskopie
Befund
Pathologischer Befund
Normalbefund
Datum
Ersteintrag: 14.03.2019
Update: 04.02.2024