Basel 1MA/ Aseptische Femurkopfnekrose

Diagnose
Aseptische Femurkopfnekrose
Diagnose Gruppe
vaskulär / Durchblutungsstörung
Differenzialdiagnose
Topographie Gruppe
Knochen, Knorpel, Gelenke
Topographie
Knochen, Femurkopf
Einleitung
Aetiologie:
Unter einer aseptischen (= avaskulären) Femurkopfnekrose des Erwachsenen sind alle erworbenen Erkrankungen des Femurkopfes zu verstehen, die durch eine Ischämie zu einer unterschiedlich grossen, meist partiellen Nekrose des Femurkopfes führen und die in ihrem Endstadium in eine Coxarthrose übergehen. Es gibt primäre idiopathische Femurkopfnekrosen meist bei Männern zwischen dem 35. bis 45. Lebensjahr, oftmals beidseitig und sekundäre Femurkopfnekrosen bei Verletzungen des Hüftgelenkes, Sichelzellanämie, Caisson Krankheit (Dekompressionskrankheit), Alkoholabusus, Morbus Gaucher, Lupus erythematodes oder chronischer Kortisontherapie. Die partielle Durchblutungsstörung des Femurkopfs führt zu einer partiellen Nekrose der ortsständigen Spongiosa mit nachfolgender osteoklastischer Resorption sowie des benachbarten Fettmarks.

Morphologie:
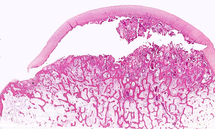
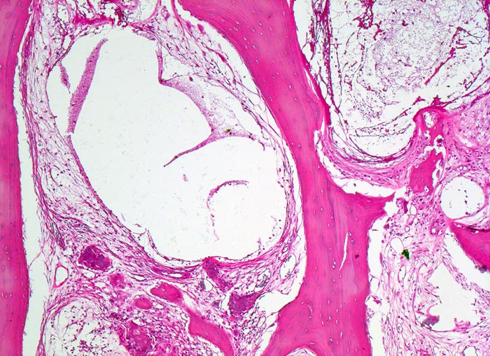
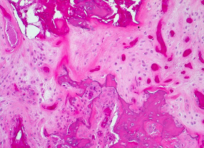
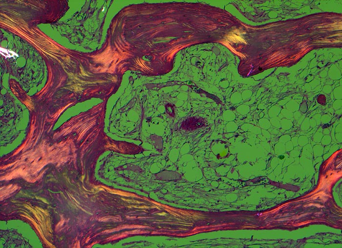
Makroskopisch ist die Nekrose im Anfangsstadium durch eine intensiv gelbe Verfärbung mit hämorrhagischem Randsaum charakterisiert. Häufig kommt es zur flächenhaften Ablösung des ansonsten intakten Gelenkknorpels (DD Arthrose!) zwischen subchondraler Knochenlamelle und angrenzender Spongiosa. In den Spätstadien sind die Nekrosezonen grau-gelb gefärbt und von körniger Konsistenz. Ein Teil der nekrotischen Spongiosabälkchen dient als Leitschiene für die Neubildung von Osteoid und mineralisierten Trabekeln, die an der Aussenseite angelagert werden. In der Nekrosezone kommt es zur Sequestrierung von Knochenbälkchen durch Frakturen. Die Markräume werden bindegewebig organisiert. In der Peripherie besteht initial ein hyperämischer Randsaum und im Verlauf kommt es zur Ausbildung einer metaplastischen Knorpel- und Knochenneubildung mit Randsklerose. Das Endstadium der Abräumreaktion untergegangener Knochenabschnitte stellt eine meist subchondral lokalisierte pseudozystische Umwandlung dar. Schliesslich kollabiert der Femurkopf und der Verlust der Gelenkkongruenz führt zu einer fortschreitenden sekundären Coxarthrose (> 3192)

update 5.9.2018
Klinik
Risikofaktoren:
Risikofaktoren für die Entwicklung einer spontanen Knochennekrose im Erwachsenenalter sind eine Hyperurikämie, Alkohol- und Nikotinabusus sowie eine Hyperlipidämie.

Symptomatik:
Die Erkrankung kann mit geringen Schmerzen schleichend beginnen oder mit plötzlich einsetzendem heftigem auch nachts auftretendem Schmerz.

Diagnostik:
Für die Diagnosestellung sollten eine Beckenübersichtaufnahme und ein Röntgenbild beider Hüftgelenke axial angefertigt werden. Im Einzelfall kommen zusätzliche radiologische Verfahren zur Anwendung (> 5032).

Therapie:
Eine kausale Therapie der ischämischen Femurkopfnekrose ist nicht bekannt. Der Nekroseprozess kann bestenfalls in den Frühstadien aufgehalten bzw. begrenzt werden. Therapeutisch können konservative Massnahmen nur solange erwogen werden, solange der Femurkopf noch nicht eingebrochen ist. In Frage kommen ausschliesslich symptomatische Ansätze: medikamentöse Therapie zur Schmerzreduktion, Physiotherapie zum Erhalt von Muskel- und Gelenkfunktion sowie Gehhilfen zur Entlastung. Bei fortgeschrittener Zerstörung des Hüftgelenks und/oder starker Schmerzsymptomatik wird i.d.R. eine Hüftgelenksendoprothese eingesetzt.

Prognose:
Eine Prognoseabschätzung hinsichtlich des natürlichen Krankheitsverlaufes, dessen zeitlicher Progression bzw. der Notwendigkeit oder des Erfolges operativer Massnahmen ist nicht möglich.

update 5.9.2018
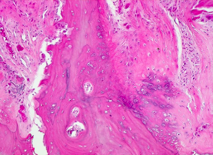
Morphologie
Morphologische Merkmale:
  • Flächenhafte Ablösung des gut erhaltenen Gelenkknorpels zwischen subchondraler Knochenlamelle und angrenzender nekrotischer Spongiosa.
  • In der Nekrosezone osteoklastäre Resorption von avitalen sequestrierten Spongiosabälkchen.
  • Ortsständiger Lamellenknochen wird als Leitschiene zur Fasernknochenneubildung benutzt.
  • Pseudozystische Hohlräume in den nekrotischen Markräumen.
  • Fibrosiertes Mark mit einzelnen thrombosierten Arterien.
Das sollte der Kliniker dem Pathologen mitteilen:
  • Radiologischer Befund.
Makroskopie
Virtuelles Präparat
Befund
Pathologischer Befund
Normalbefund
Datum
Ersteintrag: 15.03.2019
Update: 04.02.2024