Basel 1MA/ Coxarthrose

Diagnose
Coxarthrose
Diagnose Gruppe
Trauma / mechanischer Schaden
Differenzialdiagnose
Topographie Gruppe
Knochen, Knorpel, Gelenke
Topographie
Knochen, Femurkopf
Einleitung
Aetiologie:
Bei der Arthrose handelt es sich um eine degenerative Gelenkerkrankung mit Zerstörung des Gelenkknorpels aufgrund übermässiger Belastung eines gesunden Gelenkes oder aufgrund eines vorgeschädigten Gelenkes (sekundäre Arthrose).

Lokalisation:
Die primäre Arthrose ist vor allem in den distalen und proximalen Interphalangealgelenken und im Daumengrundgelenk lokalisiert, ausserdem im Hüftgelenk, im Kniegelenk, im ersten Metatarsophalangealgelenk und in den unteren Abschnitten der Lendenwirbelsäule sowie der Halswirbelsäule.

Morphologie:
Der progrediente Knorpelverlust führt zum Freiliegen der knöchernen Deckplatte. Der subchondrale Knochen antwortet mit einer elfenbeinartigen Sklerose in Arealen vermehrter Belastung (=Eburnisation). Der traumatisierte subchondrale Knochen kann als Folge einer Knochennekrose pseudozystisch degenerieren (Geröllzystenbildung). Am Rand des Knochens, ausserhalb der Belastungszonen bilden sich irreguläre Knochenneubildungen (Randosteophytenbildung ev. mit Verdoppelung des Gelenkknorpels). Fragmentierungen dieser Osteophyten oder des Gelenkknorpels führen zu intraartikulären freien Körpern (=Gelenkmäuse) und einer Detritussynovialitis (> 1146) (> 1038) (> 539).
Klinik
Vorkommen:
Die Prävalenz beträgt bei 20 jährigen 9%, bei 34 jährigen bis 17% und steigt bei über 65 jährigen bis auf über 90% an. Bei Patienten unter 45 Jahren ist die Arthrose bei Männern häufiger, ab 55 Jahren bei Frauen. 3% der 45- bis 54 jährigen und 15% der 65- bis 74 jährigen haben klinische Beschwerden als Folge einer Arthrose.

Risikofaktoren:
Für die Entwicklung einer Arthrose sind folgende Risikofaktoren von Bedeutung: weibliches Geschlecht, Alter, genetische Störungen, berufliche Überbelastung, Kontaktsportarten mit häufigen Gelenkverletzungen, Übergewicht (fördert vor allem die Progression), Gelenkfehlstellungen, entzündliche Gelenkerkrankungen und Kristallarthropathien.

Symptomatik:
Erstes Symptom ist der Schmerz, welcher häufig erstmals nach verstärkter oder ungewohnter Belastung auftritt. Typisch für die beginnende Arthrose ist der kurze Anlaufschmerz. Im späteren Verlauf treten belastungsabhängige Dauerschmerzen auf, die bei Exazerbation mit nächtlichen Beschwerden verbunden sind. Charakteristisch ist ein Wechsel von schmerzhaften und schmerzarmen Perioden. Schmerzhafte Muskelverkürzungen und funktionelles Defizit werden vom Patienten oft erst spät wahrgenommen. Hinzu kommen ein Gefühl der Kraftlosigkeit und eine stärkere Ermüdbarkeit.

Diagnostik:
Bei einer aktivierten Arthrose können eine Überwärmung und ein Gelenkserguss palpiert werden. Sehnenansätze und Schleimbeutel können druckschmerzhaft sein. Bei der Funktionsprüfung finden sich Muskelverkürzungen und bei Provokation ein Endphasenschmerz. Bei der Durchbewegung des Gelenkes lassen sich Reiben, Knarren und Knacken provozieren. Blockadenartige Phänomene werden hervorgerufen durch freie Gelenkkörper, Inkongruenzen der Gelenkfläche und Lockerung des Kapselbandapparates. Heberden Knoten, welche palpable Osteophyten der distalen Interphalangealgelenke darstellen, sind typischerweise bei Frauen nachweisbar. Im Frühstadium der Arthrose lassen sich radiologisch oft keine abnormen Befunde dokumentieren, da der Gelenkknorpel nicht direkt dargestellt wird. Im fortgeschrittenen Stadium lassen sich die Verschmälerung des Gelenkspaltes, die Bildung von Osteophyten, subchondrale Knochensklerose, Zysten und Knochenschwund darstellen.

Therapie:
Eine kausale Therapie der Arthrose gibt es nicht. Der Wirksamkeitsnachweis für die häufig verordneten Chondroprotektiva, die die Zerstörung des Gelenkknorpels aufhalten und ihn wieder aufbauen sollen, steht noch aus. Die Patienten sollten instruiert werden, exzessive Belastungen der betroffenen Gelenke zu vermeiden und Übergewicht abzubauen. Zur Erhaltung der Gelenkbeweglichkeit kann Physiotherapie (Bewegungsübungen ohne Belastung) hilfreich sein. Bei Bewegungsschmerzen sollten die betroffenen Gelenke durch Bandagen oder Schienenverbände gestützt werden. In allen Stadien ist bedarfsorientiert eine medikamentöse Schmerztherapie sinnvoll.Gelenkspülungen und das Einspritzen von Glukokortikoiden und Hyaluronsäure können Beschwerden lindern. Bei fortgeschrittener Arthrose des Hüft- oder Kniegelenks ist das Einsetzen eines Kunstgelenks die einzige Möglichkeit, die Lebensqualität entscheidend zu verbessern. Die Lebensdauer der Prothesen beträgt durchschnittlich 15 Jahre. Die Lebensdauer einer zweiten Prothese ist in der Regel kürzer. Deshalb wird versucht, das natürliche Gelenk so lange wie möglich zu erhalten.
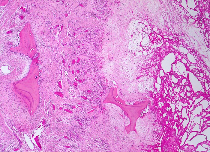
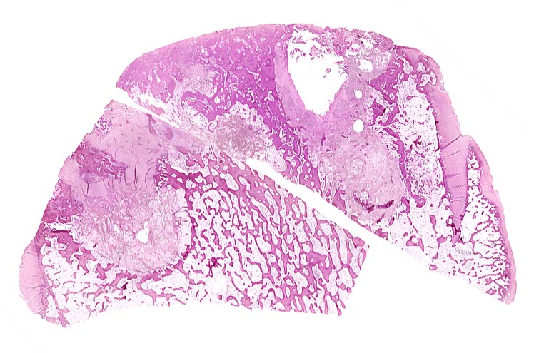
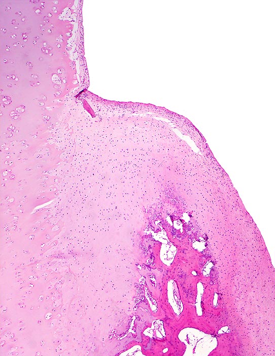
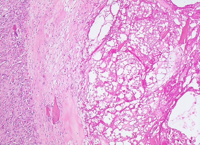
Morphologie
Morphologische Merkmale:
  • Deformierte Gelenkfläche.
  • Weitgehendes Fehlen des hyalinen Gelenkknorpels.
  • Sekundäre Sklerose der freiliegenden Spongiosa mit Anbau von breiten Faser- und Lamellenknochensäumen an die alten Bälkchen.
  • Leichte Osteoporose in der craniolateralen Entlastungszone.
  • Herde von metaplastischem Faserknorpel in der Gelenkfläche.
  • Randosteophyt, welcher über Resten des dort noch vorhandenen Gelenkknorpels entstanden ist (Verdoppelung des Knorpels).
  • Nekrosebezirk in der Spongiosa (Geröllzyste) umgeben von einem Granulationsgewebssaum und Narbengewebe.
Das sollte der Kliniker dem Pathologen mitteilen:
  • Ätiologie der Arthrose (z.B. alte Femurkopfnekrose).
  • Tumorverdacht (pathologische Fraktur).
Makroskopie
Befund
Pathologischer Befund
Normalbefund
Literatur
Datum
Ersteintrag: 10.07.2019
Update: 04.02.2024