g/ Plattenepithelkarzinom der Zervix

Diagnose
Plattenepithelkarzinom der Zervix
Diagnose Gruppe
maligner Tumor
Differenzialdiagnose
Topographie Gruppe
Mamma
Topographie
Portio
Einleitung
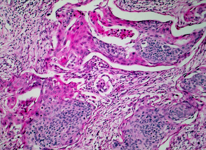
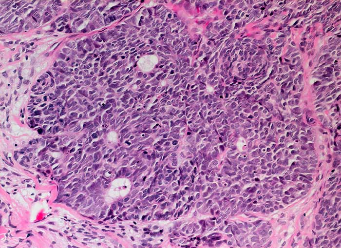
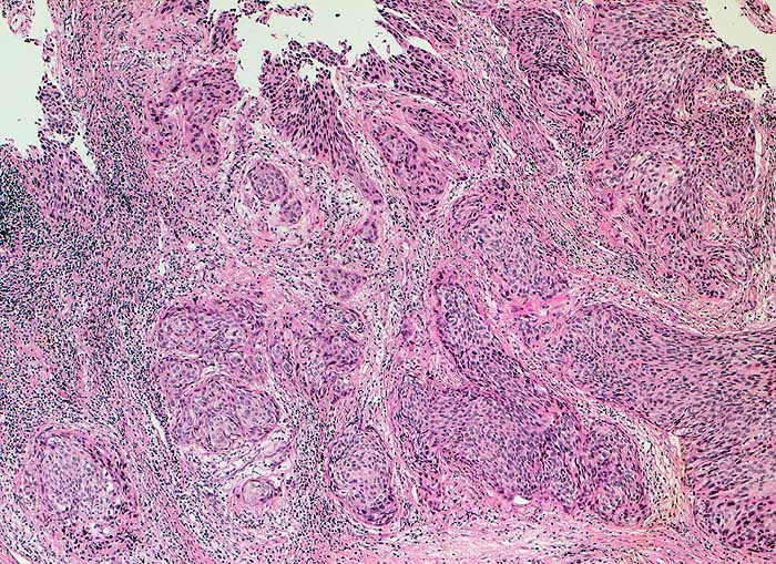
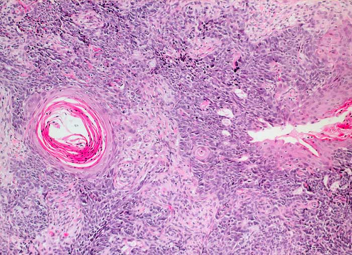
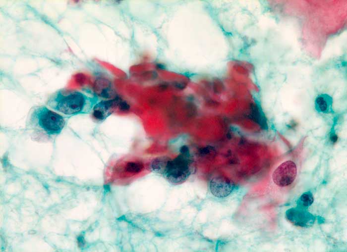
Die Tumorzellen liegen einzeln oder in kleinen Verbänden und ganzen Gewebsfragmenten. Die polymorphen Kerne sind vergrössert und enthalten verklumptes unregelmässig verteiltes Chromatin und grosse Nukleolen. Gut differenzierte Karzinome erkennt man am breiten und oft verhornten Zytoplasma. Längliche bis fadenförmige Tumorzellen mit pyknotischen Kernen können als einziger Hinweis auf das Vorliegen eines Karzinoms vorhanden sein. Wenig differenzierte Karzinome haben polymorphe und schlechter erhaltene Kerne. Der Hintergrund ist meist detritisch und oft hämorrhagisch. Ulzeration, Einblutungen und bakterielle Infektionen beeinflussen den Erhaltungszustand und die Art der abgestrichenen Zellen. Ist die Oberfläche eines ulzerierten Karzinoms von einem Fibrinschorf bedeckt, enthalten die Ausstriche lediglich Detritus, Granulozyten und Erythrozyten, aber keine Tumorzellen. Die Sensitivität für die Karzinomdiagnose ist aus diesem Grund geringer als für die Diagnose eines Carcinoma in situ.
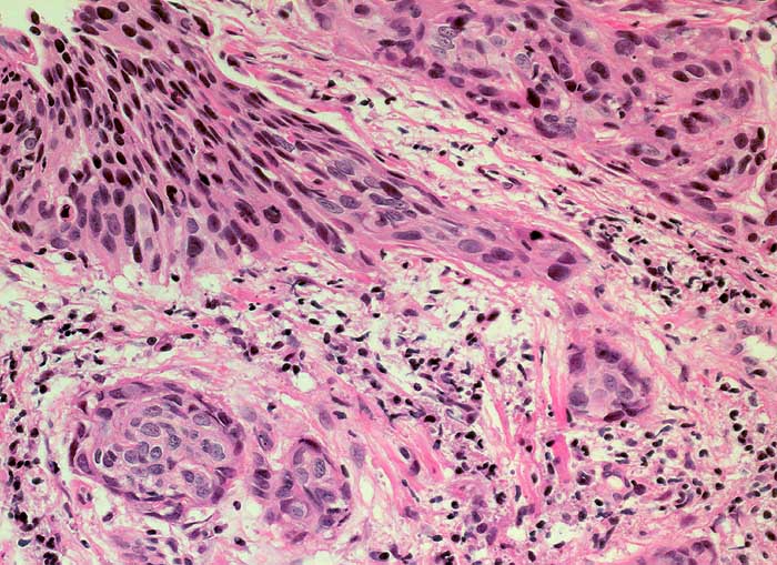
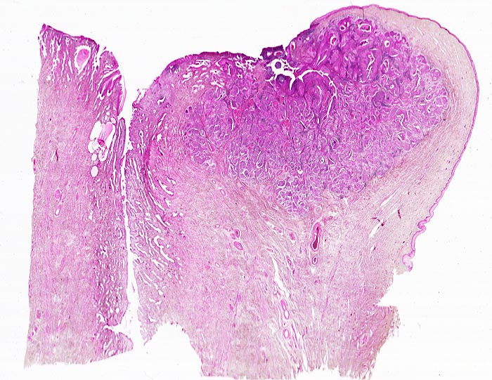
Unten werden drei Fallbeispiele mit histologischer Korrelation gezeigt.
Klinik
-
Normalbefund
Morphologie
Makroskopie
Virtuelles Präparat
Befund
Pathologischer Befund
Normalbefund
Literatur
Datum
Ersteintrag: 01.04.2003
Update: 04.02.2024