n/ Maligner Pleuraerguss: Kleinzelliges Karzinom

Diagnose
Maligner Pleuraerguss: Kleinzelliges Karzinom
Diagnose Gruppe
maligner Tumor
Differenzialdiagnose
Topographie Gruppe
Körperhöhlen, Serosa
Topographie
Pleuraerguss Zytologie
Einleitung
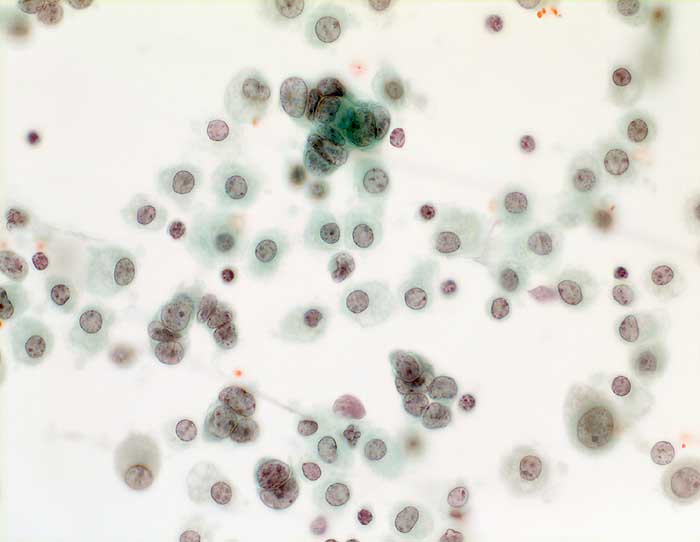
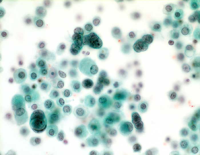
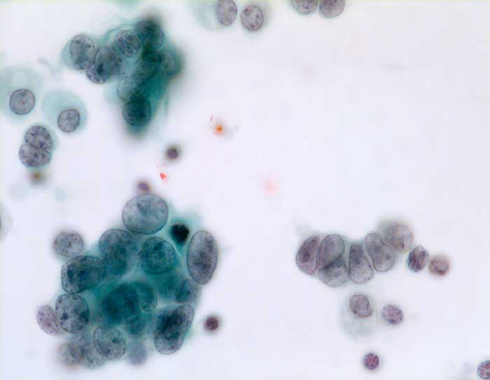
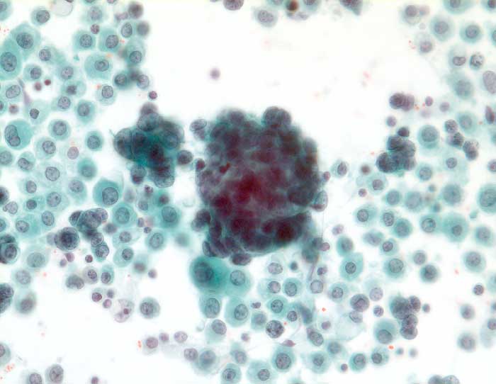
Kleinzellige Karzinome lassen sich am leichtesten bei schwächerer Vergrösserung erkennen, da sie meist kleine lockere Haufen hyperchromatischer Zellkerne bilden.
Klinik
-
Normalbefund
Morphologie
Makroskopie
Virtuelles Präparat
Befund
Pathologischer Befund
Normalbefund
Literatur
Datum
Ersteintrag: 01.04.2003
Update: 04.02.2024